飞蚊症,可能有些人根本就没有听说过,但是在医学上,确实有这样的一个词语。先来了解一下什么是飞蚊症?
这是一种由玻璃体变性引起的自然老化现象,随着人的年龄越来越大,玻璃体就会出现液化,从而会产生一些混浊物。所以,飞蚊症的正式名字是玻璃体浮游物。

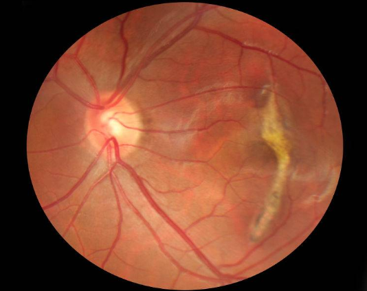
那么飞蚊症真的会造成视网膜似剥离么?
有些人对飞蚊症可能并不是很在意,甚至认为这是年龄增大的一种自然现象,但实际上并不是这样的,真的不能小看飞蚊症。
飞蚊症在眼睛疾病中,很常见,或许正是因为如此不被人们重视吧。初期的时候,患者眼前会出现黑点,而且眼球在转动的同时,这些黑点也会随之移动,就像是飞蚊一样。这些黑点的形状不一,有的是圆形的,有的是点状的,还有的是线状的等等,尤其是在患者在看比较亮的颜色时,这些会更加明显。如果飞蚊症严重了,确实是会造成视网膜剥离。
了解了飞蚊症的基本信息,再来看一看视网膜剥离的征兆有哪些?
首先,就是突发性的飞蚊症。其原因分为三种,分别是生理性、退化性以及病理性,其中几率最大的是退化性,这代表了眼睛玻璃体退化,导致玻璃体和视网膜分开,大部分的患者都是在四十岁以上。但如果是病理性,就会影响视力甚至会失明。
其次,黑点从少变多。如果发现眼睛上的黑点越来越多,甚至密密麻麻的,而且位置有所变动,这个时候就更要重视了,可能视网膜有裂孔,而出现裂孔之后就更加容易出现视网膜剥离了。
另外,眼睛感到闪光或者是视野有缺损。这种情况一般只会有一只眼睛会出现,有时候两只眼睛会看到闪烁的光点。还有就是眼睛会看不到一部分的视野,就像是窗帘挡住了进来的阳光,如果遇到这样的现象,也可能是视网膜剥离了。
一个很多人不是很在意的飞蚊症,竟然能够让视网膜剥离,足以见得这是很严重的。建议眼睛有不舒适的时候,就要早点检查,视网膜剥离时间太长,就会引起网膜组织结痂,感光细胞会萎缩,或者是造成青光眼。及时检查,会降低很大危险,也能够帮助恢复视力的缺憾。





