
图片来源:荷兰癌症研究所
近日,发表在 《Radiotherapy and Oncology(放疗与肿瘤)》 上的一项研究中,荷兰癌症研究所领导的研究团队有一个解剖学上的新发现:人体内有一对先前被忽视且与临床相关的“未知实体”,在接受放疗的患者中保留它们可能会为其提供改善生活质量的机会。
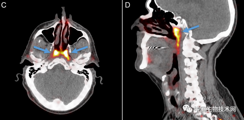
这个“未知实体”是该团队在对100例前列腺癌或尿道腺癌患者进行回顾性队列检查,以评估PSMA PET/CT(前列腺特异性膜抗原正电子发射型计算机断层显像)阳性区域的存在和形态时偶然发现的。与放射性葡萄糖注射液搭配使用时,该诊断工具可以突出显示体内肿瘤。
研究人员发现的这个完全不同的腺体,位于鼻咽后部,它潜伏了相当长的时间,可以说是经被科学家们忽略了几个世纪。
“管状腺”结构,用蓝色箭头表示,其他主要唾液腺用橙色表示。图片来源:荷兰癌症研究所
该研究通讯作者、荷兰癌症研究所的放射肿瘤学家Wouter Vogel解释说:“人有三大唾液腺(腮腺、下颌下腺和舌下腺),但新发现的不是在那里。据我们所知,鼻咽中仅有的唾液腺或粘液腺在显微镜下很小,多达1000个腺体均匀分布在整个粘膜上。所以,想象一下,当我们发现这些时有多惊讶吧。”
唾液是我们消化系统运转所必需的物质,主要由三大主要的唾液腺产生,即腮腺、下颌腺和舌下腺。在整个口腔和消化道中还有大约1000个小唾液腺,但它们通常太小而无法在没有显微镜的情况下观察到。
Vogel团队新发现的要大得多,它显示出似乎是先前被忽视的一对腺体,表面上看是第四大主要唾液腺,位于鼻咽后部、上颚上方,靠近人类头部的中心。
该研究第一作者,阿姆斯特丹大学的口腔外科医生Matthijs Valstar说:“这两个新发现的区域也具有唾液腺的其他特征。根据它们的解剖位置(在咽鼓管上方),我们称之为‘管状腺’(tubarial glands)。”
在对所有100例患者进行的PSMA PET/CT扫描,均发现存在这些管腺,并且对两名尸体(一男一女)的身体检查也显示出神秘的双侧结构,从宏观上可见引流管开口朝向鼻咽壁。
图片来源:荷兰癌症研究所
研究人员在他们的论文中解释道:“据我们所知,这个结构并不符合之前的解剖学描述。据推测,它可能含有大量的浆液腺泡,对鼻咽/口咽润滑和吞咽起到生理作用。”
至于这些腺体是如何被识别出来的,研究人员表示,“管状腺”是在颅底一个不易接近的解剖位置被发现的,用内窥镜是很难辨认出来的,因为它们是一个更大腺体系统的一部分。此外,只有更新的PSMA-PET/CT成像技术才能检测到新唾液腺的结构,这超出了超声波、CT和MRI扫描等技术的可视化能力。
此外,使用前瞻性收集的723例头颈部癌症患者队列的临床数据,研究人员回顾性研究了放疗对流涎和吞咽的影响。结果表明,放射线输送至“管状腺”后会给患者带来更大的并发症。因此,该研究结果不仅有益于未来的肿瘤学,而且似乎支持这个被忽视的神秘“未知实体”的结构确实是唾液腺。
不过,该团队承认,还需要对更大、更多样化的人群进行更多的研究来验证他们的发现;但他们说,这一发现为癌症患者接受放疗前提供了指导,因为唾液腺非常容易受到放疗的损害。在接受放疗的患者中保留这些腺体可能会为其提供改善生活质量的机会。
未参与这项研究的美国罗格斯大学的病理学家Valerie Fitzhugh在接受《纽约时报》采访时表示:“如果这是真的,它可能会改变我们看待这个区域疾病的方式。”






