人在一生中会遇到很多尴尬的时刻,而且这些尴尬时刻还往往发生在倒霉之后。比如说你不幸长了智齿,被折磨得死去活来,终于下定决心摆脱了它,却发现自己的脸肿成了蜡笔小新。

其实拔智齿后脸肿是大多数患者常常面对的一个问题,程度也是因人而异。有的人可能只是脸颊部位轻微肿起,几个小时就能消肿。有些脸却会肿成包子,而且一个礼拜都无法彻底消肿,同时不仅脸肿,还会伴随着阵痛的不适感。
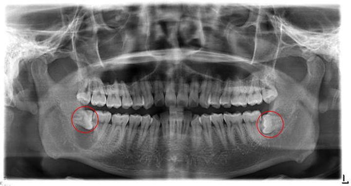
都是拔智齿,为什么术后反应差别如此巨大呢?主要有两方面的因素,其一是看智齿的情况,如果是自然生长没有阻生埋伏的智齿拔除后一般不会有太太反应。而如果是埋伏牙的话就比较麻烦。
拔除埋伏牙时,要先切开外层牙床并将其扒开,然后将智齿分段割开,再将被分割的智齿取出,最后缝合牙龈。其过程就相相当于一台小型手术,术后反应自然会比较严重。
除了智齿的原因之外,第二个对造成脸肿的因素就是患者自身的免疫代谢能力了。年轻人的术后恢复就远比老年人快。除此之外身体素质也是影响术后反应的重要因素,不经常运动的人通常术后反应会比较强烈,恢复起来也比较慢。
拔完智齿脸肿虽然尴尬,但并不值得为此感到困扰,因为只要使用正确的方法,还是能够有效消肿让炎症更快消失的。首先在拔牙刚结束到24小时以内,要采取冰敷的办法来消肿。因为拔牙后伤口属于出血和渗出期,所以在这个时候应该减少血液的渗出因此可以采取自然冷敷的方法。
过了24小时之后就不要再冰敷了,改为用热毛巾热敷。这是因为过了24小时,创口已由渗出转入修复阶段了。此时应增加血液供应以及提高代谢水平,这时候“局部加温”的方式则是有利于创口恢复的。因此要用热毛巾热敷,加强局部的血液循环,提高代谢水平,最终达到促进伤口愈合的目的。




