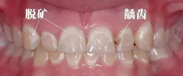
牙齿也能长“白斑”?怎么回事?其实,牙齿表面的白斑是固定矫治器治疗后发生釉质脱矿的现象。
那么什么是釉质脱矿?会有什么危害吗?
釉质脱矿就是佩戴固定矫治器的患者的牙齿表面出现白垩色的斑块,是龋病的最初表现!因此如果不及时治疗或者提前预防的话,那接下来釉质脱矿的牙齿则会演变成蛀牙。

牙齿釉质脱矿该如何治疗?
目前来说牙齿脱矿的治疗方法一般是牙齿涂氟,将含氟的物质涂在患有牙釉质脱矿的牙齿上,这些含氟的物质可以将牙齿进行重新矿化,使牙齿变得更加坚硬,减少牙齿矿化人体的伤害。
注意!一定要到正规的医院找专业的牙科医生选择适合自己的氟化剂类型进行治疗。
那么,正在正畸或者准备正畸的该如何预防牙齿釉质脱矿?
1、注意口腔清洁
正畸的治疗一般需要2年及以上,所以,在这期间需要十分注意口腔清洁,因此建议要掌握正确的口腔清洁方法,以及定期的正畸期间的全口洁治。
2、氟化物的使用
氟化物有助于抑制口腔内菌斑的形成,从而预防釉质脱矿。因此可以选用含氟牙膏、牙齿进行涂氟等手段进行预防。
注意!想要矫正牙齿的一定要找有资质的牙科医院以及专业的正畸医生进行牙齿矫正!



