


7月21日,在山东大学齐鲁医院张运院士、心内科主任张澄教授、副主任季晓平教授支持下,在心内科李继福教授的指导下,陈文强教授团队实施了山东省内首例经桡动脉左心室心内膜心肌活检术。
心内膜心肌活检术(简称心肌活检,EMB)是近年来国内外陆续开展的一种诊断心肌炎、心肌病、心脏肿瘤及监测移植心脏心肌排异的技术。由于心肌活检能提供活体心脏组织进行光镜、电镜、组织化学、免疫学和病毒学等研究,因此,对某些心血管疾病在诊断和鉴别诊断方面具有不可替代的作用。由于该手术属于有创检查,技术难度较大、风险较高及需要病理科的密切配合等因素,在我国多个医学中心检测的样本量都很小,导致了心肌疾病特别是罕见疾病很难确诊,影响了患者的诊断和治疗。
之前,心内膜心肌活检术多采用经右侧颈内静脉途径到达右室隔面进行心肌活检,该技术由于路径短,操作方便,而被国内医学中心大多术者采用。近两年,股静脉途径在国际范围被术者陆续采用,通过右侧股静脉经由下腔静脉到达右室隔面进行心肌活检。该方法操作平台大,但活检钳难于定位,需要采用房间隔穿刺长鞘辅助精确定位,目前国内只有少数医学中心能够开展此项技术。经过陈文强教授团队不断攻坚克难,2020年12月团队成功开展了经股静脉右室心肌活检术,填补了省内股静脉入路心肌活检的空白,成为山东省率先开展经股静脉心肌活检的术者。
随着临床技术不断提高,近期研究发现,由于左心室心肌组织较厚、心肌活检组织病理诊断率更高并且能够提供更多的诊断线索,因此左室心肌活检逐渐被术者采用。7月21日,陈文强教授团队成功为患者实施了超声指导下的经桡动脉左心室心内膜心肌活检术,成为山东省首例。

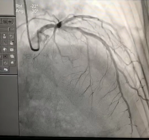
患者冠脉造影图

术中超声引导下穿刺

术后病理图
患者为53岁女性,6月前降支近端植入支架一枚,近2月频繁出现胸闷憋气等不适,偶有晕厥症状出现。心脏超声显示LA49mm,LV41mm,IVS14mm,PW16mm,LVEF0.51,E峰>2A峰,平均E/e’27.7,超声显示为舒张性心衰表现,T-proBNP3540pg/ml,经实施超声指导下的经桡动脉左心室心内膜心肌活检术后,病理确诊为心肌淀粉样变。
超声指导下的经桡动脉左心室心内膜心肌活检术的成功开展,不仅为心肌疾病的确诊提供重要诊断依据,而且提高了医院在心肌活检术领域的全国影响力,充分体现了齐鲁医院心内科在医疗技术上与时俱进,大胆创新的能力与实力,不断提高服务能力,更好地为人民群众健康护航。
(通讯员:翟纯刚、李小诗)