永不停歇的进化
地球上的所有生命都在不断进化,进化过程永不停歇。人类作为生物仍处于进化中。成为智人以后,人类有再发生任何进化吗?答案是肯定的。

图源:imagesociale.fr
过去4万年中已有数千个基因发生了进化。这些进化包括大脑变小(更高效,而不是更笨)、抵抗疾病的能力增强、多动症和蓝眼睛增加。是的,蓝眼睛也是一种进化。基因分析表明,第一个蓝眼睛人类出现在6,000-10,000年前的黑海地区。出于某种原因,这一表现型变得非常流行(能够增加5%的繁殖机会),现在大约有 5亿人拥有蓝色的眼睛。
版权:vicu9 / stock.adobe
另一个著名的例子是 HgbS(镰状血红蛋白),这一基因能使人类对疟疾免疫。疟疾是人类生命的头号杀手,这一突变的发生,使人类红细胞对疟疾寄生虫产生抗性,并且它的基因频率在疟疾易发人群(撒哈拉以南非洲)中上升。但是很不幸,这种基因也会造成镰状细胞贫血。我们体内的每个基因都有两个副本(分别来自母亲和父亲),如果只有一个副本是抗疟疾突变基因 HgbS,则不会发病,但如果两个都是突变基因,就会患上镰状细胞病。所幸有许多其他基因也表现出疟疾抗性,而且我们也发现了麻风病和结核病的抗性基因。
正常红细胞与镰状细胞 图源:123rf
另一个例子是乳糖耐受基因。原始人仅在婴儿时期摄入乳汁,因此他们乳糖酶(功能是消化乳糖,乳糖是乳汁中常见的糖类)的量会在几年后下降。然而随着时间的推移,有些人类已经进化到能够持续产生乳糖酶直至成年后期。正如所料,在最早进行奶牛养殖,并将乳制品作为重要饮食组成部分的人群(高加索人)中乳糖耐受特征出现频率最高。乳糖耐受性的出现距今应该仅有3,000-8,000 年,如今将近 95% 的北欧人都具备这种特征。
世界各地区乳糖不耐受比例 图源:genetrack
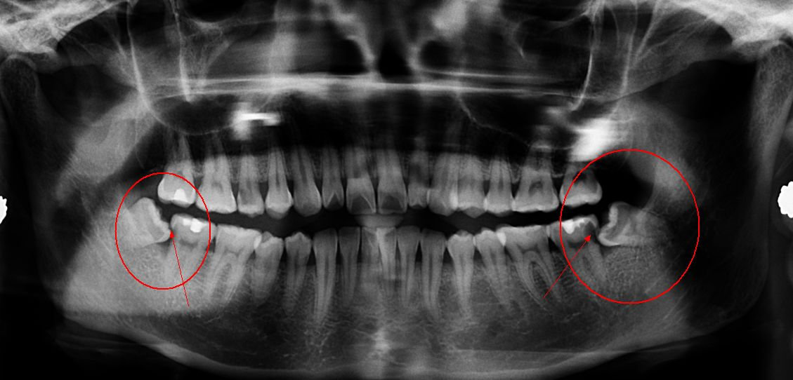
我们的口腔也在改变。它们变得越来越小,越来越接近子弹形状。但是牙齿变化并没有跟上,这就是为什么现在有人需要正畸和拔除智齿的原因。而出生时没有智齿或者智齿长出较晚的人也越来越多。在没有刀具和烹饪手段的时期,智齿的作用相当重要,当时人类可能会因为咀嚼坚硬的食物而失去臼齿,需要用智齿替代其功能。如今,35%的人没有智齿,而相关基因尚不清楚,因此我们还不太确定发生这种情况的原因。
智齿影像 图源:知乎专栏
达尔文的自然选择进化理论。
假设遥远的10万年后,人类在仍然存在,那时候的我们会是什么样子呢?即便忽略新技术的影响,远离地球,离开各种选择压力,进化仍会因偶然的突变而给我们带来诸多惊喜。毕竟一万年前的人类还没有蓝眼睛。谁又能猜到一万年后进化能为我们带来什么呢?
相关知识
人口爆炸(又称人口过剩)是指在一定地理区域内人类数量的生态足迹超过了当地环境承载力。从长远角度来看,人口过剩也可被视为不可再生能源大幅耗尽或环境承载能力降低,无法支持人口数量。
地区最高人口密度,1994年
人口过多讨论的是整个人类数量和环境之间的关系[2]。人口过多可以由出生率增加、死亡率降低、移民涌入、生物群系不可持续或资源枯竭造成。如果某一贫瘠之地难以为生,虽然人数稀少但也可能会人口过多(如荒漠)。支持人口适度的说法常引述生活质量、环境承载力及饥荒风险来反驳持续高人口增长,支持人口下降。科学家认为人口过多、 过度消费和技术应用导致人类对自然环境产生重大影响,使得地球进入新的地质世,即人类世。








