3岁孩子壮壮(化名)是一名成骨不全症(“瓷娃娃”病)小患者,轻微的碰撞,就会造成严重骨折。即使家人悉心照看,不准他跑跳,甚至不敢让他下地行走,可壮壮也已经历5次骨折。
近日,壮壮在浙江大学医学院附属儿童医院进行了一起省内首例手术:在股骨骨髓腔内,放置可延长髓内钉,增加骨头牢度。当孩子长高时,髓内钉也会慢慢变长,一直保护着他的骨骼。

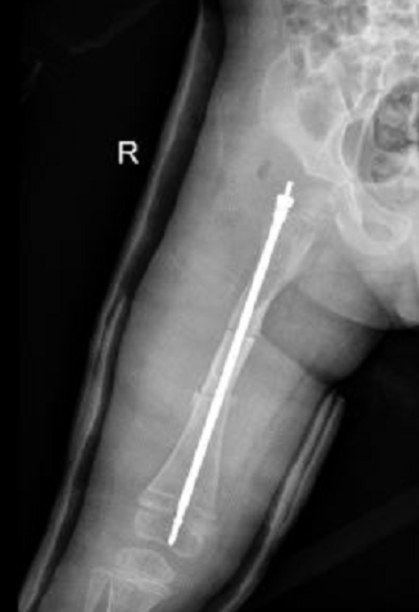
壮壮股骨内的可延长髓内钉
“有了髓内钉保护,以后不会轻易骨折了——从‘瓷娃娃’变‘钢铁侠’,这是目前治疗成骨不全的最好方案了。”骨科副主任医师陈建松向澎湃新闻介绍。
成骨不全症,又称为瓷娃娃,属于罕见病,是基因突变导致的骨代谢性疾病。这类患儿,普遍一生要经历多次骨折,很多最后会残疾甚至只能卧床无法下地。能以技术手段为‘瓷娃娃’病患儿提供有效帮助的医院,国内只有少数几家。
湖北患儿壮壮3岁,正是顽皮爱闹的年纪,但母亲李女士却不敢让他轻易活动,因为稍有不慎就容易骨折。壮壮已经骨折过5次,其中3次是右侧大腿股骨骨折。
不久前一天中午,壮壮在家滑倒,右大腿马上肿胀、变形,当地医院检查显示,右股骨中下段斜形骨折,右股骨中段弯曲。
李女士通过患友群联系到浙大儿院陈建松医生,连夜从湖北赶到杭州住院。经医院多学科会诊,决定为壮壮实施可延长髓内钉技术。
“放置可延长髓内钉,一是治疗本次骨折,二是纠正前几次骨折残留的股骨畸形,三是有效避免将来再次骨折,为孩子脆弱的骨头加一层保护。”陈建松介绍。
术前,骨科团队仔细测量了孩子股骨的各项数据,准备了合适的可延长钉,制定了精准的手术方案,经过2个小时的密切配合,手术顺利完成。按照预期,术后一周壮壮便可以出院,一个半月后拆石膏,在床上开始活动关节,三个月后就可以慢慢下地走路。
据介绍,这是该项技术在浙江省内首次尝试应用。除手术外,“瓷娃娃”患者日常会使用二磷酸盐药物治疗,改善骨密度,增加骨骼强度。


