家住湖南会同县的六旬老人刘建军(化名)最近耳鸣的症状十分严重,还伴有听力下降、头痛头晕。原因为是耳朵的问题,到医院就诊后却被诊断为“听神经瘤”。
据家人介绍,刘建军近期耳鸣的症状十分严重,还伴有听力下降、头痛头晕。到当地医院耳鼻喉科检查后未查出原因,医生建议去神经外科进一步检查。

于是,刘建军在儿子的陪同下来到长沙市中心医院(南华大学附属长沙中心医院)神经外科就诊。
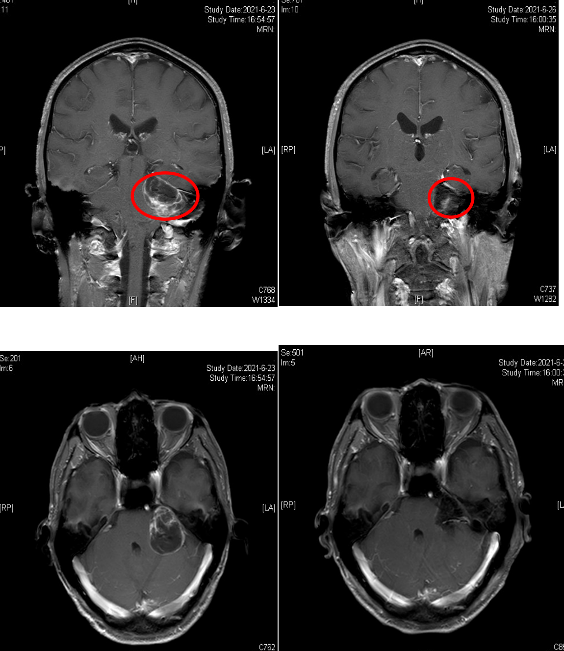
通过头部核磁共振检查显示左侧桥小脑脚区囊实性占位性病灶,大小约4*4cm,是听神经鞘瘤。神经外科副主任、主任医师樊天禹告知患者,听神经瘤属于良性肿瘤,但是会缓慢增长。随着肿瘤的长大,其症状会越来越重,从耳鸣、听力下降直至发展为听力的丧失,甚至压迫周围的神经。因此听神经瘤治疗宜早不宜迟,建议尽早行肿瘤切除手术。
9月10日,长沙市中心医院(南华大学附属长沙中心医院)神经外科手术团队为患者行全麻下颅内肿瘤切除术,术中行面神经电生理监测,手术顺利,术后患者头痛消失,听力及面部麻木好转。
术前与术后对比
术前与术后对比
樊天禹医师介绍,听神经瘤是颅内常见的良性肿瘤,但不能按字面理解为长在“听神经”上的肿瘤。听神经瘤起源于“内听道内前庭神经鞘膜”的施旺细胞。而真正让人感知到听觉的神经叫“耳蜗神经”,这两种神经常合在一起并行,难以分离,因而统称为“听神经”。
樊天禹医师表示,许多人在出现听力下降、耳鸣等症状时,都会选择去耳鼻喉科检查。如果查明患者的耳朵没有器质性病变,就需要考虑听神经瘤,这时建议尽快到神经外科就诊。
樊天禹医师强调,听神经瘤引起的症状和听力衰退的症状如听力下降、耳鸣等,普通市民是难以辨明清楚的,老年人容易认为是老年性退化的缘故;年轻人会以为是不正确用耳、长时间戴耳机导致的听力损失。于是都没有重视,直到发生严重的症状,才到医院就诊,错过了最佳治疗时机。
樊天禹医师提醒市民,听神经瘤的早期表现为听力障碍(进行性),高调耳鸣,眩晕及平衡障碍;肿瘤较大时,可合并脑积水,随着肿瘤的增大,会压迫周围神经及组织,出现面部麻木、面肌无力、视物重影、味觉改变、耳痛等,严重者脑干、小脑明显受压,可表现为昏迷、呼吸抑制等危及生命。
“诊断听神经瘤可通过头部核磁检查明确。”樊天禹解释,听神经瘤的治疗主要以手术为主,治疗原则是控制肿瘤的同时并保存患者的生存质量。听神经瘤因为紧邻脑干,周围结构功能重要,存在手术难度高,风险高,并发症多等问题,因此一旦诊断明确,应尽早到专科医院就诊。




