IQQA®-Guide作为国家级医械创新“绿色通道”资质获批上市的“国内首个用于成人肺及腹部软组织实体器官的穿刺手术导航设备”(国家药品监督管理局NMPA评定),目前已投入众多知名三甲医院,全面开展各类精准介入手术,并成功实施于包括穿刺定位、活检、射频/微波/等离子消融、放射性粒子植入、穿刺化疗药物注射等多项微创介入手术。
本期分享天津市肿瘤医院、天津市胸科医院实施的IQQA®-Guide穿刺手术导航设备引导下的肺穿刺活检术、等离子消融术案例。相比传统穿刺手术,IQQA®-Guide引导下的穿刺活检术辅助医生实时掌握病灶与周边组织空间关系,有效减少CT扫描次数和进针调整次数,提高操作精准度,从而减小手术风险及并发症,让介入手术更安全、更精准。
IQQA®-Guide穿刺手术导航设备是以“IQQA个性化3D全量化脏器电子地图”为核心的新一代智能术中导航机器人,将影像实时交互定量化技术带入外科和微创介入及机器人术中,智能自动跟踪手术目标物,全程三维量化影像实时定位、跟踪、引导及监控,通过与IQQA智能云平台的结合应用,有力支持医生进行各类胸腹部肿瘤微创介入手术,以满足各级医院临床精准诊疗的迫切需求。
天津市肿瘤医院
案例一:IQQA®-Guide引导下右肺肿物穿刺活检
术者:介入治疗科于海鹏教授
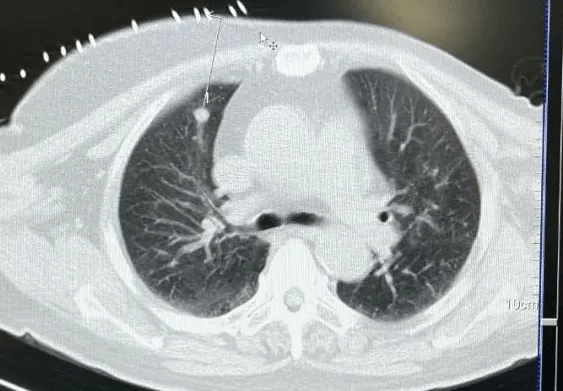
病例简介:男,82岁,主因“检查发现右肺肿物半月余”入院。PET-CT提示:1.右肺尖肿物,PET显像可见异常放射性浓聚,考虑周围型肺癌,2.纵膈内、腔静脉后、右主支气管及右肺门多发结节,考虑为淋巴结转移,3.右侧胸膜局限性结节,不除外恶性。

上图:IQQA术前eOrganMap三维重建及手术规划
上图:IQQA®-Guide术中全程3D影像实时定位、引导、跟踪、引导及监控,避开重要血管,精准到达肿瘤内预设的穿刺点
上图:CT扫描确认后,行活检取样
案例二:IQQA®-Guide引导下右肺结节穿刺活检
术者:介入治疗科于海鹏教授
病例简介:男,70岁。半月前因上腹不适于当地医院检查,CT提示:右肺上叶前段结节影,进一步查PET-CT提示:右肺上叶前段软组织密度结节伴FDG代谢增高、纵膈内急右侧肺门多发高代谢肿大淋巴结,以上考虑右肺上叶恶性肿瘤伴纵膈内及右侧肺门淋巴结转移。
上图:IQQA®-Guide术中全程实时交互引导精准导航,辅助医生穿刺一针到位
上图:经CT扫描确认后,行活检取样
病例三:IQQA®-Guide引导下肺穿刺活检
术者:介入治疗科于海鹏教授
病例简介:患者,女,64岁。发现双肺肿物5个月。2021年5月CT示:1. “左乳癌”术后改变,双肺多发小结节及栗粒灶;2.左肺上叶及右肺下叶胸膜下炎性浸润;3.肝顶部低密度灶,考虑囊肿。
上图:IQQA®-Guide术中全程毫米级精准导航中
上图:手术医生一针穿刺到位后,行活检取样
相比传统穿刺手术,IQQA®-Guide穿刺手术导航设备引导下的穿刺活检术能够有效辅助医生实时掌握病灶与周边组织空间关系,避开重要血管,复杂穿刺部位更易到达,可大幅减少穿刺次数,提高操作精准度,从而减小手术风险及并发症。
天津市胸科医院
案例四:IQQA®-Guide引导下左肺下叶结节穿刺活检+等离子消融术
术者:胸外科王猛医生
病例简介:男,75岁。患者于入院前9月余单位体检发现左肺下叶结节。建议定期复查,未予治疗,随后近期复查胸部CT示上述结节与之前相仿,大小约1.7cm,右肺中叶结节5mm较前相仿。初步诊断:1.左肺下叶结节 2.冠心病 3.高血压病2级极高危组 4.陈旧性脑梗死。手术团队采用IQQA®-Guide穿刺手术导航设备进行精准定位后,成功快速实施穿刺活检手术,并实施等离子消融治疗。
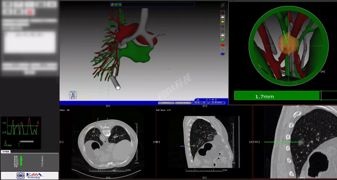
上图:IQQA术前eOrganMap全量化三维重建、肿瘤精准定位
上图:医生使用IQQA®-Guide术中导航,穿刺一次,一针到位
上图:IQQA®-Guide引导下目标路径、距离、角度等全程量化动态更新
上图:左肺下叶后基底段肿瘤消融术中
上图:CT扫描确认(左),消融后CT扫描影像(右)













