生殖细胞肿瘤是一种非常常见的儿童颅内恶性肿瘤,它是由先天性的生殖细胞发育而来的,往往可以见于颅内的各个部位,最常见的部位是松果体、鞍区以及基底节区,在青少年中,它的发病率根据部位有所不同,在男童中往往更常见于松果体区,而在女童中更常见于鞍区。
生殖细胞肿瘤在北美的发病率并不高,可能只有3%左右,而在亚洲人群中就可以达到15.8%。生殖细胞肿瘤又分为许多组织学类型,大体上可以分为两大类,第一大类是生殖细胞瘤,其中包括畸胎瘤、内胚窦瘤、卵黄囊瘤等。另一大类型是非生殖细胞性生殖细胞肿瘤。

生殖细胞瘤的症状及诊断
生殖细胞肿瘤会表现出哪些临床症状,主要是由肿瘤的位置来决定的。发生于松果体区的生殖细胞瘤会引起性早熟、梗阻性脑积水、颅内压升高、恶心呕吐等一系列症状;而发生于鞍区的生殖细胞肿瘤又会引起另外的症状,包括垂体功能低下,视力、视野受损,尿崩等一系列症状。此外,还有比较少见的基底节区的生殖细胞肿瘤,可能会引起肢体活动功能的障碍,比如偏瘫等。
生殖细胞肿瘤可见于颅内的任何部位,如何明确诊断?其实在临床中,生殖细胞肿瘤往往容易被误诊或漏诊。根据临床资料统计,有54%的患儿从出现症状到明确诊断,其中所花的时间甚至超过了6个月。
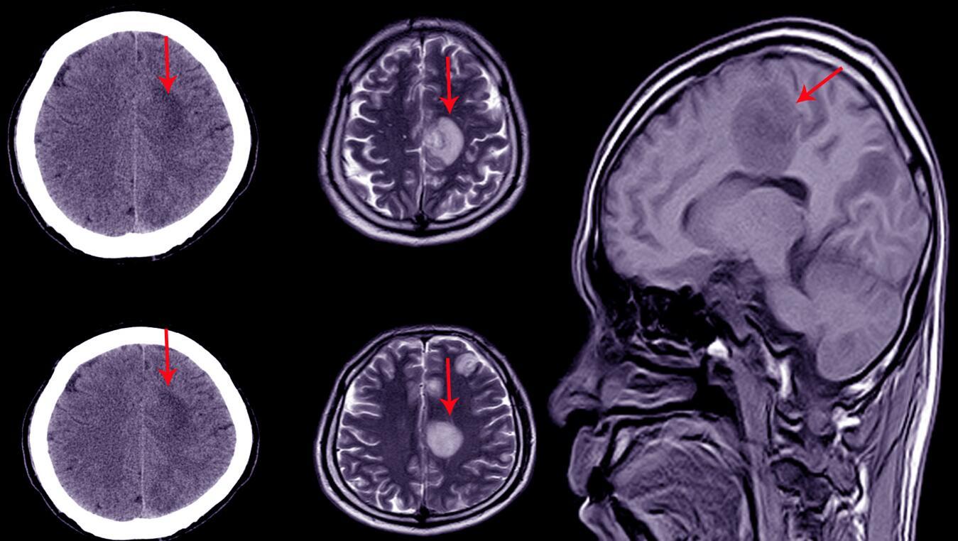
生殖细胞瘤最常见的诊断手段,首先是要进行头颅的CT和磁共振的扫描,通过这些影像学的表现,可以直观地看到位于不同的病变区域,比如鞍区、松果体、基底节区的一些异常信号,来明确肿瘤的存在。

生殖细胞肿瘤诊断的另一大方面是肿瘤标记物的检测,通过在血清中检测,包括甲胎蛋白(AFP)、绒毛膜促性腺激素(HCG)、胎盘碱性磷酸酶(PLAP)等一系列肿瘤标记物的浓度,不仅可以明确诊断与鉴别诊断不同类型的生殖细胞肿瘤,还可以在随后的治疗与随访中观察肿瘤的治疗反应以及是否存在复发和进展。
生殖细胞瘤如何治疗
生殖细胞肿瘤虽然是恶性肿瘤,并且可以发生于颅内的任何部位,但它的治疗方式基本上是相同的,主要是因为它对于放疗和化疗的反应非常好。生殖细胞肿瘤不论组织学类型,对于放疗和化疗都是高度敏感的,因此在能够明确诊断的基础上,我们往往首选放疗与化疗相结合的方式对肿瘤进行控制。
不同于其他的恶性肿瘤,手术对于生殖细胞瘤,只有在无法明确诊断的前提条件下,可能会取一些肿瘤组织进行活检,明确病理诊断。此外,在肿瘤引起梗阻性脑积水、颅内压增高时,需要通过手术来解除肿瘤的压迫,缓解脑积水的症状。

生殖细胞瘤的预后
既然生殖细胞肿瘤对于放疗和化疗高度敏感,那么通过放化疗联合治疗,能够治愈生殖细胞肿瘤吗?答案是肯定的,对于生殖细胞肿瘤,单独放疗的5年生存率就可以达到百分之九十以上,如果合理地联用化疗,甚至可以达到百分之百。即使对于一些组织分型不太好的生殖细胞肿瘤,比如非生殖细胞性生殖细胞肿瘤,通过联合放化疗,5年生存率也能达到70%以上。
因此,对于绝大多数的生殖细胞肿瘤患者来说,只需要按照规定的时间进行合理地治疗,并且定期随访,就能够达到长期生存的目的。


