PINK1 基因(编码 PINK1 蛋白)是已知的导致帕金森病(PD)的致病性变异基因。大量体外和生化试验已经证明了明星蛋白 PINK1 通过引发破损线粒体的自噬来保护神经元细胞,而 PINK1 功能丧失会导致帕金森病中的神经元细胞死亡。
近日,暨南大学李晓江团队的研究一定程度上颠覆了这一经典的自噬理论。在最新的研究中,他们揭示了,PINK1 在小鼠和猴模型中的表达水平完全不同;同时还在 PINK1 基因打靶猴模型中观察到,PINK1 通过磷酸化关键的神经蛋白从而保护神经元细胞,而非线粒体自噬。该研究也为帕金森病的药物筛选和研发提供了一种新思路。这项研究已于近日发表在 Protein&Cell 上。

(来源:Protein&Cell)
“这篇研究的突破之处在于两个方面,一,我们首次发现 PINK1 蛋白在不同物种中的表达水平不同,比如在小鼠中几乎不表达,在猴子、人体上高度表达;二,我们阐释了 PINK1 的主要功能是通过磷酸化神经蛋白保护脑部神经细胞,而不是通过线粒体自噬保护神经细胞。” 李晓江教授介绍道。
李晓江是国际著名神经退行性疾病专家,于 2017 年正式加入暨南大学并成立实验室开展神经退行性疾病动物模型研究。他现在是暨南大学粤港澳中枢神经再生研究院教授,此前曾是美国埃默里大学终身正教授和杰出讲席教授。目前的研究方向是重大脑疾病大动物(猴、猪)模型的构建、病理机制研究,以及未来基于这些模型开发治疗性药物,包括帕金森病、阿尔茨海默病以及亨廷顿病等。
图 | 暨南大学粤港澳中枢神经再生研究院李晓江团队(来源:受访者提供)
他在神经退行性疾病大动物模型构建上的成绩颇多。2008 年,曾与合作者全球首次利用转基因方式构建了非人灵长类亨廷顿病模型;2015 年,制备首例帕金森病基因编辑猴模型,并基于 CRISPR/Cas9 技术制备了首例杜氏肌营养不良症及自闭症猴模型;3 年后,又构建了全球首例亨廷顿基因敲入猪模型...
阐明 PINK1 新机制
25 年来,李晓江团队一直围绕神经退行性疾病动物模型开展工作,从小鼠模型再到猴子、猪等大动物模型。
指针回拨到 1996 年,李晓江开始在埃默里大学利用小鼠模型研究神经退行性疾病。当时,他们发现利用小鼠模型做研究存在一个明显的缺陷 —— 即小鼠模型难以模拟病人脑组织中非常明显的神经细胞死亡。
继而,他们开始探索利用大动物模型研究这类疾病。2008 年,李晓江团队发现利用猴子模型可以更好地模拟出亨廷顿病的症状,包括神经细胞坏死。而与之对比,小鼠中几乎无法模拟出这种神经细胞病变,且表型、症状较轻。
(来源:Human Molecular Genetics)
彼时,国内外关于帕金森的研究以小鼠模型为主,在敲除 PINK1 的小鼠中,均未观察到脑部神经细胞退变、死亡,以及线粒体损伤;对于 PINK1 和帕金森病的机制研究,科学家们在生化和体外试验中验证了 PINK1 线粒体自噬理论。
“从那时起,我认为神经退行性研究肯定要用大动物模型,研究方向也从小鼠模型转到大动物模型。回国之后,我们的研究仍然聚焦于基于非人灵长类动物模型研究神经退行性疾病,不过研究重点放在了国内更常见的神经退行性疾病,包括帕金森病和阿尔茨海默病。” 李晓江说。
2018 年左右,一些挑战 PINK1 与线粒体自噬相关的研究相继发布,然而这些研究并未阐明 PINK1 在帕金森疾病中的具体作用。
2019 年,他们开始在 PINK1 敲除猴子模型上继续试验,并在 Cell Research 杂志上发表研究。研究证明,PINK1 敲除猴子脑部出现了严重的神经细胞变性和死亡,而已有报道 PINK1 敲除小鼠无明显神经细胞死亡。该团队一直在探究为何敲除 PINK1 基因后两种模型的表现形成鲜明对比?
“经过 2 年多的深入研究,我们发现出现这种情况的关键在于 PINK1 蛋白在灵长类脑组织中表达丰富,而在小鼠脑部几乎检测不到。这表明同一蛋白在不同物种中的表达水平不一样,PINK1 可能是一种人或者灵长类动物特有的一种蛋白。”
他们详细揭示了 PINK1 蛋白与帕金森疾病的关系,即 PINK1 蛋白在灵长类大脑中并非聚集在线粒体位置,而是作为激酶主要存在于胞浆中。在正常非应激状态下,PINK1 的作用则是通过磷酸化脑部的相关神经蛋白,保护脑部神经元免受损伤。
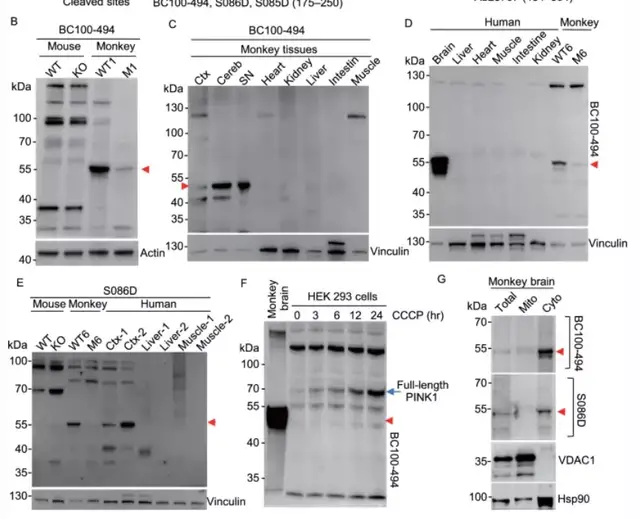
图 | PINK1 蛋白在小鼠、猴子和人体中的表达水平(来源:相关论文)
“当前的药物筛选以小鼠模型为主,然而,截止目前,全球还没有治疗神经退行性疾病的有效方法。这一研究为帕金森病的研究提供了一种新理念 —— 帕金森病等神经退行性疾病的病理研究和药物筛选需要重视大动物模型,未来药物筛选方式会更倾向于小鼠 + 大动物模型相结合。” 李晓江总结道。
Parkin 功能和机制与 PINK1 相似,这种基因的缺失在小鼠模型中也未模拟出神经细胞死亡的病理变化。据李晓江透露,下一步会在大动物模型中探索 Parkin 的具体作用机制。
瞄准基因编辑疗法
在利用非人灵长类动物模型研究神经退行性疾病多年后,李晓江团队也希望推进实验室的研究走向临床和转化。他们瞄准的方向主要针对单基因突变造成的神经退行性疾病开发基因编辑疗法,包括帕金森病、亨廷顿病。
帕金森病是李晓江团队回国后的一个重要研究领域,这是一种常见的神经功能障碍疾病,主要表现为肢体的颤抖和僵硬,常常影响中老年人。其主要致病原因是分布在中脑黑质中的多巴胺神经细胞大量死亡,常见的治疗方法包括脑部电刺激手术疗法和左旋多巴等药物,目前尚无治愈帕金森病的方法。因此,新机制、新疗法仍然备受期待。
(来源:biologyjunction)
“上文提到深入阐释 PINK1 机制,对未来帕金森病的研究和治疗有重要的意义。此前,PINK1 药物开发,主要是以保护线粒体功能为出发点。保护线粒体功能和蛋白磷酸化是两种完全不同的药物靶点设计方法,而阐明 PINK1 的磷酸化作用之后,药物研发思路将会更多走向蛋白磷酸化。这对对筛选药物靶点和发现新生物标志物意义重大。” 李晓江告诉生辉。
除靶向药物研发以外,近年来,基于 iPSC 的多巴胺细胞替代疗法也被视为一种极具前景的治疗方式。国际上 BlueRock Therapeutics、日本京都大学团队等走在干细胞替代疗法治疗神经退行性疾病的前列,国内霍德生物、睿健医药等也即将递交 IND。
“利用细胞替代疗法治疗帕金森病是一种极具前景的治疗方式,不过总体而言,细胞替代疗法是在多巴胺细胞死亡后进行替代,治疗的时效性不够。我觉得,如果想要根治帕金森病,关键需要找到致病的根源。PINK1 突变会引发帕金森病,利用基因修饰治疗的方法可以早期干预、纠正基因突变,有望根治帕金森病。” 李晓江对基因疗法治疗帕金森病信心满满。
李晓江告诉生辉,目前,团队也在帕金森病动物模型中探索基因编辑疗法的可行性。“我们相信未来这种方式对单基因突变引发的多种神经退行性疾病都会很有帮助。下一步,我们会继续进行机理研究,为未来推进基因编辑疗法进入临床试验提供更多指导意见和方案。”
事实上,该团队早已在亨廷顿病大动物模型中开启了步伐。据李晓江透露,几年前,团队已经开始利用构建的亨廷顿基因敲除猪模型开发基因治疗方法,未来实现从小鼠模型 + 大动物模型筛选药物到基因编辑治疗法等一系列工作。
“目前来讲,实验室的研究具有转化潜力,但是真正实现临床转化,还需要做很多工作。一方面,需要有足够的实验动物;另一方面,还需要更多的基金支持,以及更多生物制药公司的参与。” 李晓江坦言。





