


近日,郭女士觉得右大腿根部和右臀部出现疼痛的症状,当地医院检查后发现,骶孔扩大伴子宫后有一“哑铃”状肿块,当地医院建议做进一步检查。于是,郭女士连同家人来到西安市红会医院求医。

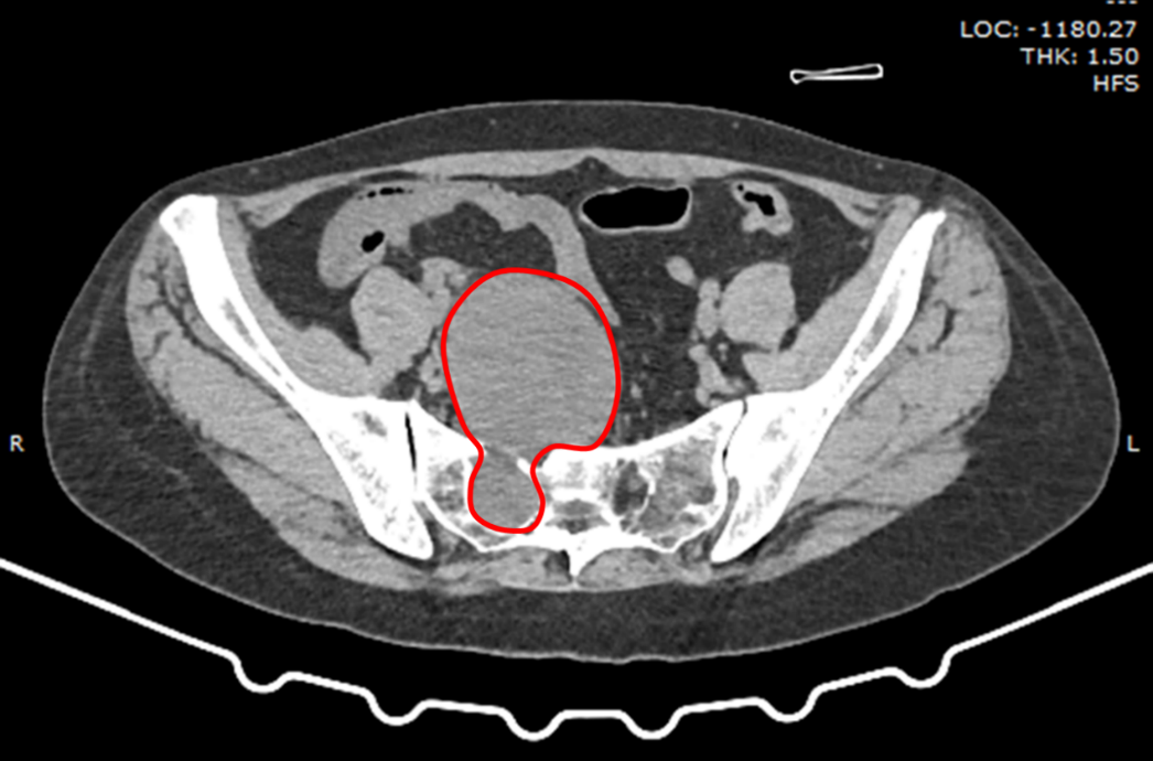
入院后进一步检查发现,郭女士盆腔内的肿瘤确诊为骶骨前神经鞘瘤,大小约8.6*6.5*8cm(前后径*左右径*上下径)。据了解,患者在6年前就发现腹部有一包块,但未引起重视,没有进行治疗,这才引起了更大的健康隐患。
想要拿掉肿瘤可不简单,肿瘤从骶孔穿过,且已经和盆腔内的直肠、子宫争夺“地盘”。巨大的神经鞘瘤将周围的神经紧密包裹,骶孔内的神经也深陷肿瘤内,整个肿瘤更像一个“大葫芦”占据盆腔内,如果任其发展,将会导致严重的后果,必须尽快手术摘除。
在与郭女士及家属充分沟通后,神经外科别小华主任找到消化外科孙力主任,共同商讨手术方案,为郭女士进行手术治疗。
2月25日,由神经外科别小华主任、消化外科孙力主任、闫景全主任医师组成手术专家组,为患者施行前路骶前神经鞘瘤切除术。手术难度远超预期,因为普通神经鞘瘤多与周围组织界限清晰,便于分离,但该患者巨大的肿瘤与周围组织粘连明显,且肿物质地硬、位置深,被周围的神经和血管紧密包裹,切除十分困难。为了保留神经完整性,手术组医生抽丝剥茧,逐步剥离肿瘤组织。
三小时后,手术顺利完成。术后郭女士恢复状况良好,第二天可以下床活动。
稿件来源:西安市红会医院