近日,南昌大学第一附属医院高新院区肿瘤科团队成功开展IQQA-Guide人工智能磁导航联合CT同步引导下的肝脏转移灶微波消融术。通过IQQA-Guide人工智能导航技术实现了对器官内小病灶的精准定位和治疗,该技术的成功开展标志着高新院区局部消融治疗进入人工智能时代。
IQQA®-Guide作为国家级医械创新“绿色通道”资质获批上市的“国内首个用于成人肺及腹部软组织实体器官的穿刺手术导航设备”(国家药品监督管理局NMPA评定),目前已投入众多知名三甲医院,推动各线城市医院全面开展各类精准介入治疗,并成功实施于包括穿刺定位、活检、射频/微波/等离子消融、放射性粒子植入、穿刺化疗药物注射等多项微创介入手术。

以下内容来源:南昌大学第一附属医院高新院区官方公众微信号
患者,48岁,2个月前进行了直肠癌根治术,但遗憾的是,术后辅助化疗期间复查腹部CT发现肝脏转移复发。肝右前叶包膜有一个大小约为1.4cm*1.4cm的单发转移结节。经沟通,患者希望能够通过微创的方法治疗这一转移病灶。
经术前分析,肿瘤科团队认为,B超下患者肿瘤信号稍高、表现不均匀且边界不清,这样B超定位困难、治疗通道较为狭窄,人工操作可能难以一针到位达到完整消融。因此,他们决定为患者开展在IQQA-Guide人工智能磁导航联合CT同步引导新技术下进行肝脏微波消融治疗。
高新院区肿瘤科负责人余锋教授、副主任医师石超联合影像科主任王敏君等通过IQQA平台一同合作完成了患者术前“IQQA 个体3D全量化脏器电子地图”的构建和治疗模型。通过实时模型,石超医师详细为患者讲解了手术计划、麻醉评估、实施流程和风险控制。
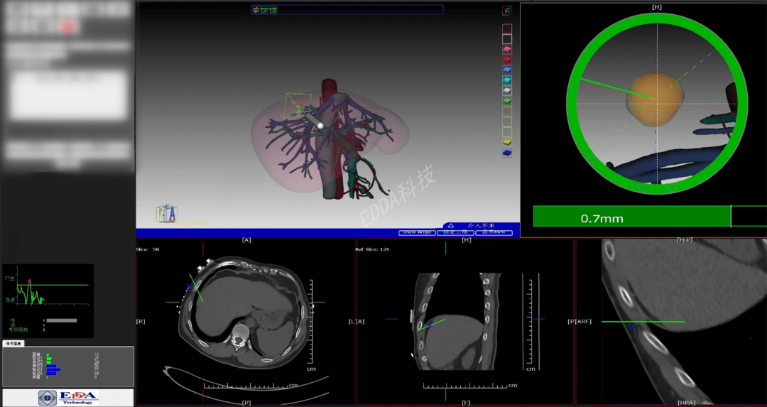
CT进行3D重建,进上图:IQQA术前eO时制导路径,将消融治疗针精确送入目标病灶位置,成功实施肝脏转移灶的全范围微波消融。手术顺利,患者无明显不适,术后复查CT,微波消融范围理想,无术后并发症。
上图:IQQA术前eOrganMap三维重建及手术规划
此前,高新院区常规开展人工局部消融治疗手术,但这类手术对医生的技术水平、临床经验等多方面都具有较高要求。运用新型人工智能导航技术可以将人工操作的技术误差降至最低,实现了对器官内小病灶的精准定位和治疗。这项技术的成功开展标志着高新院区局部消融治疗进入人工智能时代。
消融治疗针精确送入目标病灶位置
南昌大学第一附属医院高新院区肿瘤科目前针对胸部肿瘤、肝脏、腹腔肿块的局部治疗手段包括:射频消融、微波消融、无水酒精注射、深部热灌注化疗以及立体定向放疗等,多手段的肿瘤综合治疗模式为患者带来更多生存希望。
IQQA-Guide穿刺手术导航设备
IQQA-Guide穿刺手术导航设备是以“IQQA个性化3D全量化脏器电子地图”为核心的新一代术中人工智能导航机器人,将影像实时交互定量化技术带入外科和微创介入及机器人术中,智能自动跟踪手术目标物,全程三维量化影像实时定位、跟踪、引导及监控。
通过IQQA智能三维全量化重建技术平台测量肿瘤的最大径和范围,模拟消融效果和范围,规划设计合理的针道,设计引导消融针进针的腹腔镜超声探查角度、模拟超声探查融合图像等过程,成功实现病灶的精准消融治疗。






