全世界每年约有10万人诊断为弥漫性胶质瘤(diffuse glioma);占所有新诊断癌症的1%以下,但其发病率和死亡率均高,其中位生存期一般不超过一年。如果如此恶性的胶质瘤生长在脑干这个“生命中枢”上,也能通过手术切除吗?脑干手术一度被视为“手术禁区”,术中稍有不慎,患者都有可能呼吸心跳停止、终身瘫痪、长期躺在ICU里昏迷不醒。即便在今天,很多罹患脑干肿瘤的病人,也常被告知“无法手术”,甚至不建议做活检,只能姑息治疗。
当预后极差的弥漫性中线胶质瘤生长在手术难度超高的脑干位置,竟可以安全近全切除、术前的复视和面神经麻痹有所改善,无新的神经功能缺损出现。术后质子治疗联合化疗后病情稳定,治疗后3个月复查影像残余病灶达到进一步缩小。 遭遇脑干弥漫中线胶质瘤的吴女士,原本超高难度的手术,远程咨询INC德国巴特朗菲教授,教授评估“对我来说,这不是一个非常困难的手术,因为在过去的25年里,我做过很多类似的手术……”

“今天出院,心情很好,就像今天的阳光一样”,伴着阳光从德国出院的吴女士夫妇
弥漫中线胶质瘤(DMG)是一类严重危害人类健康的中枢神经系统肿瘤。好发于神经系统的“中轴线”区域,如丘脑、脑干、脊髓。在儿童和青少年群体中,常见弥漫内生型脑干胶质瘤(DIPG)。在WHO神经系统肿瘤分级中, DMG伴有H3K27M突变被划归为WHO 4级(最高恶性) , 该类肿瘤患者平均生存期仅11个月,2年生存率不足5%。 相 较于广为人知的胶质母细胞瘤,同为WHO 4级中枢神经系统恶性肿瘤,DMG手术切除范围非常有限,大部分病例仅能做活检以明确病理诊断。且根据《弥漫性中线胶质瘤诊疗专家共识(2017)》,弥漫性中线胶质瘤的治疗原则:放疗是目前主要的治疗手段。弥漫性中线胶质瘤肿瘤呈弥漫性,病变不集中,切除的范围大而广很难做到, 脑桥部分虽然可以手术,但手术切除难度大 ,共识明确提倡为活检。

INC科普插画:脑干解剖图
随着医疗技术的发展和脑干安全区的发现,脑干胶质瘤已不再“高不可攀”,但直到如今,也只有少数主刀医生,有较多的全切成功案例报道,INC德国巴特朗菲便是其中一位。下面这个案例就是巴教授无数脑干成功案例中的一则。
48岁“幸福老妈”与脑干弥漫性中线胶质瘤的“胜利一战”
48岁的吴女士,生活平静幸福,有着爱自己的老公,帅气的儿子也考上理想的大学。儿子入学后,吴女士准备和丈夫出去旅游,然而这一切,都随着一纸检查报告戛然而止:脑干胶质瘤。在此之前,孩子的学习是吴女士的头等大事。而如今,抗击脑瘤成为这个家庭的一个主要任务。为了治病,吴女士一家多次前往国内知名神经外科医院求诊,先后两次均建议“回家观察”。多次问诊也没有得到让人有信心的手术治疗方案,无一医师对安全切除手术有足够的信心和保证。

吴女士术前MRI
2019年初,脑核磁检查发现脑干胶质瘤,有轻微左眼跳,头部嗡嗡响的症状。症状发生频率低,脑鸣症状持续时间为1-2秒。3个月后加强核磁做完,于国内知名神外医生处就诊,最终诊断:延髓、脑桥异常信号:考虑为胶质瘤可能。随即被告知“先回家观察,定期复查核磁”。无奈之下,听取病友的意见,随后前往某中医院做中医调理。这些调理在标准治疗的面前或许只能算作偏方,“为什么用偏方?不就是没路可走,拼命找活路吗!”为了鼓励母亲,儿子和吴女士每天通过微信聊天,每周从学校回到家里,陪她散步、吃饭、聊天,这一切都让吴女士感觉很知足。
2020年初,时隔一年,症状加重,出现左侧部分面部麻症状,一段时间后麻感加重,累及整个左侧面部区域以及颈部、咽部、舌头等。最严重的时候由麻感转木感。吴女士难受的整夜整夜无法入睡,痛苦万分。一个月后,再次前往国内知名神外医生处就诊,回复依旧是“不建议动手术,回家观察”。随后只能再次到中医院进行中医调理,调理期间病情继续加重,又出现视野缺损、视物模糊、不敢快速转动头部、头晕等症状。
2021年8月,吴女士出现视物双影,睡眠不佳,脑鸣加重,眼前发黑,右眼中央有红点,视物模糊,头晕、恶心、呕吐。这一次就诊,医生表示,无法再保守治疗,必须手术了,但是手术只能切除小部分肿瘤,且面临术后瘫痪、意识障碍、呼吸抑制等巨大风险。术后还需辅助放化疗。手术,吴女士可能承担更大风险与病痛,不手术,吴女士又如何度过这倒计时的生命?这是摆在所有家属面前的一道选择题,也是一道令人难以作答的必答题……最终,一家人决定手术,且必须找世界顶尖的医生手术。

在这场艰难抗癌战争中,医生如何利用现代治疗手段如手术、放疗、化疗达到好的疗效呢,手术刀如"冷兵器",化疗便是"生化武器",放疗如"现代反恐技术" ,他们的强强联合在胶质瘤上可以发挥怎样的功效呢?巴特朗菲教授又是如何打出响亮的手术第一枪?
INC德国巴特朗菲教授:“对我来说,这不是一个非常困难的手术”
吴女士经推荐和考虑,决定选择脑干专家德国巴特朗菲(Helmut Bertalanffy)教授。究其原因,是他们研读了巴教授的个人经历及其医学研究著作,了解到脑干肿瘤手术是其很多医学研究的重心,很多脑干的手术入路和方案均由巴教授独立或和其导师联合发明,并且其脑干手术在国际上享有非常高的学术地位。
INC德国巴特朗菲教授远程咨询结果:我仔细研究了这个病例。事实上,如果患者早些咨询我,我也会在1年或2年前建议进行手术,因为通过手术,肿瘤的大小可以显著减小,肿瘤的分子模式也可以明确。出于同样的原因,在今天,依旧有明确的手术指征。
巴教授远程咨询部分回复
1. 您觉得这个手术难度如何呢?患者是疤痕体会影响手术吗?
由于经验不同,外科医生对同一个手术的难度的判断可能会有很大差异。 对我来说,这不是一个非常困难的手术,因为在过去的25年里,我做过很多类似的手术。 然而对于其他外科医生来说,这可能是非常困难的,甚至可能无法进行手术。这是一个非常主观的判断。局部疤痕形成等对我来说不会造成限制,所以不必担心。
2.手术中会出现意外的风险吗?风险几率和风险控制把握率怎么样呢?(估计值)
我手上的手术风险很低(局部肿胀,影响后组颅神经概率约为5-6%),我对此类肿瘤有着丰富的经验。此外,有一个很好的特征是肿瘤的大部分不在脑干内,而是在小脑和桥臂,这对手术有很大帮助。关于患者询问“这些风险的控制方法”?这是我长期从事脑干手术的经历;这就是为什么会有来自这么多国家,这么多患有类似肿瘤的患者来看我并接受我的手术的原因。
3.除了脑干,MRI上的其他异常表现如何?是否需要额外治疗?
是的,脑干有部分侵犯,所以我们不能切除100%的肿瘤(但至少75%!或者可能更多)。是否需要额外治疗和治疗的类型将取决于肿瘤的分子病理,并且可以在手术后非常精确地确定。我认为某种化疗和放疗将会是可能的选择。如果患者决定由我来做手术,我将准备在汉诺威接待她。

INC德国巴特朗菲教授咨询结果截图
德国手术+国内放化疗后病情好转,重见希望
一直以来,由于解剖位置深在、毗邻重要脑功能区、周围密集诸多重要的神经血管等,脑干位置的肿瘤切除都是世界神经外科领域的最大挑战,而在德国INI医院,巴特朗菲教授为吴女士最大程度地切除了脑干胶质瘤。
德国INI住院手术全记录
术者:INC德国Helmut Bertalanffy教授(巴教授)
手术地点:德国国际神经科学中心INI

吴女士手术当天被推进手术室
术中情况:经左侧乙状窦后入路开颅术,无术中、术后并发症;用聚甲基丙烯酸甲酯(PMMA)行颅骨成形术。

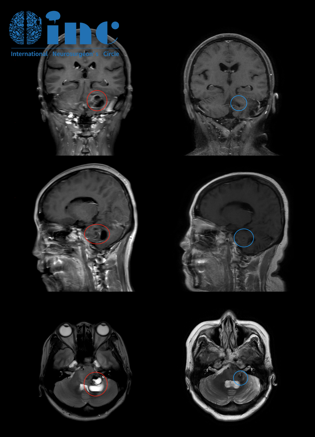
吴女士术前(红色)和术后四个月(蓝色)MRI对比
术后情况:手术结束后,患者转入重症监护病房进行观察。除了术前的复视、轻度的面神经麻痹和共济失调步态以外,没有新的神经功能缺损。
术后第2天:CT 影像示正常术后表现,病人被转回神经外科病房。她在康复治疗师 的指导下开始缓慢活动。住院期间,复视和面神经麻痹持续存在,但有所改善。步态在术后期间得到稳定。核磁检查证明该内生型肿瘤得到了大约90%的切除。
术后第2天动图,可自主进食
术后第3天:(随访 CT 扫描提示无新的发现),患者状态稳定,可以下地活动
术后第4天动图,继续术后康复运动
吴女士一家人对手术非常满意
术后第10天:伤口愈合良好,拆线。
术后10天动图,可独立行走
术后两周:在平稳的恢复阶段后,吴女士正式出院,无新发神经功能障碍。

吴女士出院之前与巴教授合影
术后两周出院,INC德国地接同事安排专车接出院
术后组织病理诊断:
• 弥漫性中线胶质瘤,WHO 4 级,H3K27M 突变型。
• 无BRAF V600E突变,无BRAF:KIAA1549 复制和融合,无IDH1 R132H表达,无p53核积累,无ATRX核表达缺失,无1p/q19缺失,无纯合子CDKN2A 缺失。
德国术后建议:
• 巴教授建议术后 6 - 8 周的身心休息。应该继续行理疗和康复治疗,以便进一步改善平衡功能。
• 考虑到最后的组织病理检查结果,吴女士必需行局部放疗,越早越好。同时,在有经验肿瘤科医生的监督下,应该开始进行化疗,并持续较长的时间。
• 巴教授还建议内科检查和对动脉性高血压的治疗。建议三个月后或者放射治疗结束后,进行术后核磁共振检查;并把扫描影像发给他,进行随访。
• 吴女士可通过普通航班返回中国。
国内后续治疗 :
INC德国巴特朗菲教授为吴女士进行了手术次全切后,建议尽早进行放化疗,抱着最后的希望,吴女士回国隔离后,在国内医院进行了联合放化疗。质子治疗第一个月联合替莫唑胺,质子治疗一个月后,在替莫唑胺的基础上增加了顺铂化疗。联合治疗后,病情得到控制,神经功能逐渐恢复。
术后3个月回访:
巴教授表示质子治疗和化疗有了积极的作用。吴女士有了明显的改善,肿瘤缩小,特别是没有进一步扩大。在目前的情况下,这是我们到目前为止通过手术和辅助治疗所能达到的最好效果。不过我们可以预计,联合放化疗,特别是质子治疗将在未来6个月内进一步发挥其作用,并可能导致剩余肿瘤的缩小,同时临床效果也应该变得更加明显。目前出现的临床症状也会在未来几个月内有所改善。对于患者的康复训练,巴教授也提出了他的建议,应集中在平衡训练上。

术后3个月回访截图
案例讨论
1、 弥漫中线胶质瘤 的病理诊断及基本流行病学
上述病例为伴有H3K27M突变的弥漫中线胶质瘤。此类疾病包括三个主要诊断要点:1)位于中线区域,2)H3F3A基因K27突变,3)弥漫性生长。根据WHO脑肿瘤分类2016修订版,H3 K27M突变型弥漫性中线胶质瘤是一种新的诊断分类。如上所述,约80%的弥漫性内生性脑桥胶质瘤活检发现,数个编码组蛋白的基因之一存在K27位点突变。
根据WHO分类,H3 K27M突变型中线胶质瘤为高级别胶质瘤(WHO Ⅳ级),伴有局部浸润且预后较差,即使组织学显示为低级别胶质瘤也是如此。该病虽然最常累及脑桥,但也可发生于丘脑、脊髓和其他中线部位,儿童和成人均可患病。脑干以外部位和成人中的这些肿瘤的自然病程尚未充分明确,且可能比H3 K27M突变型弥漫性内生性脑桥胶质瘤的自然病程更加多样化。
2、H3K27M突变型弥漫性中线胶质瘤患者 预后
弥漫性中线胶质瘤包含多种病理类型,可具有任何一种目前已知的浸润性胶质瘤形态学特点,在形态学和遗传基因学上是一组异质性肿瘤。H3K27M突变型较野生型生存时间更短。
3、脑干弥漫性中线胶质瘤治疗方式选择
1)手术的指征
手术是治疗胶质瘤的第一关,也是非常重要的一环。尽管现在对脑中线结构的解剖认识不断加深,以及神经导航和术中监测技术的不断进步。但是由于弥漫中线胶质瘤呈弥漫性生长,病变不集中且范围广,虽然胶质瘤的治疗强调最大范围安全切除肿瘤,但实际上弥漫中线胶质瘤的手术很难做到全切肿瘤,因此往往大多数患者采用活检明确病理及分子病理还进行放化疗的综合治疗。本例患者手术难度大,但巴特朗菲教授高超的手术技术及丰富的成功经验帮助患者进行了安全的近全切除,而且他还表示如果患者早些咨询,他也会在1年或2 年前建议进行手术。
2)放疗在此类疾病中的地位和放疗方式的选择
由于手术往往难以完全切除肿瘤,因此术后放疗显得非常重要。针对中线弥漫性胶质瘤,放疗的目的是改善局部症状而不引起神经毒性,其时间、剂量和方案是由疾病亚型和预后因素(包括年龄、KPS评分和残余肿瘤体积)决定的。现代的精准放射技术,可以较好的覆盖靶区并保护脑组织,放疗结束后3-4周应复查核磁以提供新的基线,决定后续的治疗策略。
本病例患者选择质子治疗,而非传统的放疗。质子治疗作为当前新兴放疗手段的一种,其对部分脑肿瘤具有一定的治疗优势。与传统放疗手段相比,由于质子治疗非常精准,因此用质子治疗进行脑癌治疗可以针对目标肿瘤进行高效且可能更高剂量的射线照射,而对周围组织的损伤则更少,从而降低了因放疗而出现新的神经功能缺损,激素缺乏或智力障碍的风险,最大限度地控制肿瘤,同时最大程度地减少附带损害,提高治疗效果。
3)化疗:放疗的有利辅助
胶质瘤药物治疗前及药物治疗期间,患者应评估血常规、肝肾功能等情况,并排除主要的心肺疾病以及感染。替莫唑胺是一种可穿透血脑屏障的DNA烷化剂,也是胶质瘤治疗中最常用且相对安全的药物,主要的不良反应是骨髓抑制(血小板减少)。用药期间还需要检测肝功能。
顺铂也是传统的神经肿瘤化疗药物,有学者发现,顺铂可以降低MGMT活性,顺铂与替莫唑胺联合使用能更好地达到长期耗竭MGMT的作用,增加替莫唑胺的敏感性,从而达到提高疗效的目的。但不良反应较大,最常见的是骨髓抑制,所以必须同时进行水化和利尿以减少对身体的副作用。
4、后期的持续监测和随访评估
治疗完成后2-6个月应当复查影像学。 怀疑疾病进展的患者可以在4-8周内复查。 假性进展(通常在放化疗或免疫治疗后)和假性反应(例如,在抗血管生成治疗后)最可能发生在治疗的前3个月,但也可能发生在治疗后,如果难以确定,可以在4-8周复查。 应提供患者专业的心理咨询和姑息支持治疗。

