这两天深圳卫健委的视频出圈了。
视频里肛肠科医生“现身说法”,科普肛肠科永远都无法跳过的话题——为什么总有人喜欢往菊花里塞万物,真是让人大开眼界。

深圳卫健委
医生说,你永远无法想象病人的屁股里会卡进去些什么奇奇怪怪的东西,从日用百货到水果熟食一应俱全,被网友戏称为“菊花超市”。
深圳卫健委
医生表示,由于卡住的东西的形状、质感完全不同,医生们每次帮助病人做“菊花取物”的处理都特别麻烦。
甚至还发明出了灯泡卡臀时,接上灯座取出来的神技。
2020年国内一名男子以腹痛为名求医,见到医生后却支支吾吾不肯描述到底哪里痛,最终在医生的反复盘问下,男子悄咪咪说自己“不小心坐到了一条罗非鱼上”,所以屁股里塞着一条鱼导致他疼痛难忍。
封面新闻
给不知道罗非鱼长什么样的大家看一眼,这直愣着的鱼鳍,这足足有两只成年男子手大的身躯,究竟是怎么才能让这名男子“不小心坐上去”的呢?
总之,医生最后费了九牛二虎之力才将罗非鱼取出,但因为该受害鱼在男子体内滞留太久,已经变质,导致就诊室里臭气熏天。
肛肠科的医生们真的心很累,世界再大,也不如病人直肠里的内容丰富多彩。
封面新闻
美国消费品安全委员会2020年的数据显示,2019年一年里美国人因为屁股里卡进了这些东西被送进急诊:弹力球、弹珠、棒球、苹果、牙刷、叉子、蜡笔、报纸。
指甲油瓶、剃须泡沫瓶、洗发水瓶、水瓶、古龙水瓶、护手霜瓶、瓶盖。
玩具鲨鱼、塑料乌龟、逗猫棒、便便形状的玩具、会晃脑袋的玩具摆件;飞镖、螺丝刀、菜刀,一整套餐刀。
一整套餐刀
遥控器、6支马克笔、圣诞小彩灯;5英寸的成人玩具、6英寸成人玩具、7英寸成人玩具以及10 英寸成人玩具。
其中绝大多数患者为男性,其中一位将异物放入屁股后,故意留了一截在外面并以这样的形态正常生活了两天。
结果在他给家里院子除草的时候,异物最终完全被他的直肠吸进去,他才去看医生。
左:茄子 右上:铝罐 右下:咖啡罐
可以看出这些患者对于球形的、柱状的和长条形的物体有一些奇怪的执念。但有些患者也会突破这些形状的桎梏,寻找更多样的物品嵌入体内。
比如一把家门钥匙:
比如一个钳子:
比如手机:新闻报道称这名佐治亚州的忙碌男子,在把手机塞进身体后,仍不断接到电话,导致取出工作一度陷入僵局。
比如人人都知道放进去就取不出来的灯泡:
比如风评被害的巴斯光年:
当固体已经满足不了他们的时候,还有人毅然决然选择了流体:这名美国27岁男子用胶枪将融化的黏合剂给自己灌肠,黏合剂进入体内后迅速凝固,坚若磐石:
当然,当医生问他们,这些匪夷所思的物品都是怎么塞入他们的屁股时,全球的患者都有同样一个话术——不小心摔倒,坐在上面了。
久而久之,见过大世面的肛肠科医生,已经可以处世不惊地看患者们编造一些只有他们自己相信的理由,只露出轻微一笑。
图中的患者是一名72岁的老翁,他自称在上厕所时不慎跌倒在了一个倒着的酒瓶上:
去年印度某医院急诊部闯入一名醉汉,该男子手拎着一根水管子,水管的另一头通向他的屁股。
拍完X光后,当天的值班医生和工作人员都惊呆了,男子竟然将一整个水龙头塞进了后面...
这种水龙头是印度等国家如厕后用来冲洗臀部的,大概长这样:
可以想象他走进医院的时候,就像一个长了尾巴的人。由于患者把水龙头塞得太深,他的直肠被穿透,经过了一场大手术后还躺在重症监护室中。
据他的同事说,该男子醉酒后“在浴室里摔倒,坐在了水龙头上”。医生表示:“我们将采纳病人的说法,并进行下一步调查。”
翻译过来大概就是:你开心就好。
外国论坛里有个医务人员开的帖子,专门吐槽这类离谱的肛肠“意外”。热评第一的网友在实习期间遇到了一个把女儿的芭比娃娃塞进菊花的大哥。
他解释,因为自己的妻子在洗澡,他只能用女儿的浴室,结果摔倒了,芭比娃娃不慎落入黑洞。
在他X光中,医生们发现了可怜的芭比娃娃,不仅在非常深的地方,而且还双臂高举,头发散乱。
按这位网友的话说:“她看起来真的很开心呢!”
下面这名患者与上一位颇为相似,他的屁股里面插着一个圣母玛利亚的雕像,理由也是不小心摔倒。
医生们其实对于病人把异物塞入身体这件事并不意外,但他们震惊的是,那可是圣母玛丽啊!
别人塞都是用蔬菜水果之类的塞,他却直接把矛头对准了耶稣他妈!
去年,英国医生卡罗尔·库珀在社交网站上很火。因为她收治的病人,菊花里卡的东西实在太大胆了。
她告诉记者她从医这么多年,直肠里卡什么东西都见过,比如15个煮熟去皮的鸡蛋之类的,但没有一个比得上这次出诊。
一名军迷男子下体塞入了一枚17cmX6cm的二战时期反坦克炮弹,当然,他说是滑倒造成的。
医生非常慌,就算她医术再高明,也是没有进行过军械拆卸的,于是她职业生涯中第一次报警叫来了拆弹部队。
经过了拆弹部队和医院多个诊室的会诊,终于判定炮弹已没有引爆危险,在复杂的手术后将其取出。
不过,也有医生证实,患者说自己是因为不小心摔倒,可能还有更深层次的难言之隐。
这名网友在医院接待过一位腚里塞苹果的大哥,他说自己摔到了苹果上,但后面调查发现,他是因为欠了黑社会钱,被人用这种特别的方式报复了...
当然,也有一些病人对下体塞物的缘由相对坦诚。
Buzzfeed 报道称,一名男子在急诊室脱下裤子后,臀缝中赫然出现一条尾巴。CT扫描发现,他竟然为了“找乐子”,把一只活老鼠装进避孕套后,塞进了体内。
老鼠咬坏了他结肠的一部分,导致患者内出血。在医务工作者的抢救后,好消息是男子痊愈了,坏消息是可怜的老鼠死了。
美国印第安纳州的一个农场主更厉害,塞进去了一只活鸡....
还有一名国内的50岁大叔,被医生发现下体塞入了一条50cm的活鳗鱼!
鳗鱼在里面挣扎啃咬他的肠道,导致患者腹痛难忍。他解释,听说这样可以治便秘,偏方真的害死人。
荔枝视频
一位救护车工作人员分享了他的见闻。一男子打急救电话,他们到场后发现这名裸男面朝下躺在沙发上,屁股里伸出一条鱼的尾巴,男子拒绝解释鱼是怎么进去的,只告诉医生“它进来的时候是冻住的”。
原来男子用冻鱼塞进菊花,谁料到鱼被他的体温成功解冻,鱼身上的鳞片导致他“无法自拔”,最后只能做手术。
据说因为画面太喜感,车上的救护人员都忍不住笑了。咱就是说,能不能放过小动物!
幽默感是肛肠科医生多少要自带的东西。一名医务人员表示,他们曾经治疗过一个将自由女神像塞进屁股里的女士。
医生在和她一起看X光片时,指着她腚里的自由女神说:“你看,她站在那里,高大而强壮,是我们团结自由的象征!”,房间里从护士到病人都笑吐了。
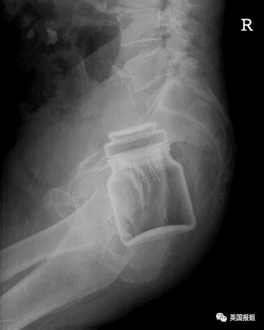
还有一位网友表示,自己的父亲是肛肠科医生,小时候她爸带她去咖啡店买甜甜圈时,指着旁边的糖罐,给她细细讲解这玩意塞进屁股里为什么会产生真空状态,导致无法取出。
网友说,从此之后,她就对物理恨之入骨了...
去年英国皇家外科学院甚至写了一篇学术报告,专门统计了过去十年里,英国医疗系统NHS进行过的菊花取物手术费用。
从2010到2020年,屁股里塞了东西的英国人,花了英国政府300万英镑,移除了3500件异物。
研究院表示,NHS本来就穷,求你们少干点菊花塞物的事,别浪费纳税人的钱了。
英国相关取物手术的男女比例
说真的,把乱七八糟的东西往身体里塞,对自己的身体不负责,也容易给医生造成麻烦。异物入侵可能会引发肠梗阻或肠穿孔,严重了也是会出人命的。
所以医生给大家的建议是,可以理解一些人“探索人体”,追求快乐的需求,但就算要玩,求求玩点专业的,别啥东西都往身体里塞,放过自己吧!
深圳卫健委
















































