


提起“占位”,多数都是恶性肿瘤的潜台词。事实上,占位性病变是医学诊断学中的专用名词,是指在影像学中可见的“多出来的东西”。肺占位性疾病,顾名思义就是在肺部多出来的东西,这一类疾病有良恶之分,但通常指恶性疾病。对于呼吸科的医生,在日常的工作中会以何种手段辨别“肺占位”的良恶性呢?今天,南京市中医院呼吸科葛海波主任医师为大家揭开谜底。
病例一:王女士,53岁,因“咳嗽咳痰4月余”收治我院,自诉近4个月来反复咳嗽,咳白色粘痰,间断抗感染、止咳化痰治疗后痰液质地转稀,但咳嗽仍剧烈、以干咳为主,伴有气喘,外院胸部CT提示左上肺占位性病变。
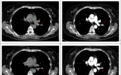
入院后即刻行胸部CT平扫+增强:左肺上叶尖后段近肺门区间软组织密度结节硬,病灶较大范围约1.0*1.1*2.3cm,边缘可见分叶及毛刺,病灶内可见左上肺动脉分支穿行。

为鉴别癌症的可能,葛海波主任当机立断行电子支气管镜检查+肺泡灌洗术,镜下:支气管管腔未见新生物,仅及大量白色透明状粘痰。

王女士肺泡灌洗液曲霉菌试验:1.18,提示阳性。结合王女士临床症状,葛海波主任考虑曲霉感染,予伏立康唑抗感染治疗。经抗真菌治疗后1周,王女士咳嗽咳痰症状明显好转后出院。
病例二:吴先生,70岁,因“右侧胸痛3天”收治我院,自诉近3天右侧胸部隐隐刺痛,外院胸部CT示:右肺门区不规则结节,右肺中叶炎症。既往有直肠癌病史。
入院后,经抗感染治疗1周,吴先生症状明显好转。复查胸部CT平扫+增强:右肺中叶改变,考虑占位并累及右肺中叶支气管,局部肺组织不张,肺野外带阻塞性肺炎可能;纵隔及右肺门淋巴结肿大。

吴先生临床症状虽改善,但结合影像学检查,葛海波主任坚持认为不排除肺部恶性疾病的可能,与吴先生充分沟通后,立即完善电子支气管镜检查,镜下:右肺中叶内侧段及外侧段支气管闭塞,见新生物,行活检,并行肺泡灌洗术。


肺泡灌洗液病理示:见炎细胞及少量上皮细胞,并见小团挤压之异型细胞。
右肺中叶内侧段支气管粘膜活检病理示:考虑为神经内分泌肿瘤。免疫组化结果:CK(-),Syn(+),CgA(灶+),CD56(+),S-100(-),Ki-67(90%+),P40(-),P63(-),TTF-1(+),CK8/18(+),LCA(-)。结合镜下活检病理及免疫组化结果,吴先生确诊为小细胞神经内分泌癌,随后在呼吸科完成了首次化疗。
以上两位患者明确肺占位性病变良恶性最重要的手段:电子支气管镜检查+肺泡灌洗术。
支气管镜是呼吸系统疾病广泛应用的检查治疗手段,应用于清除呼吸道分泌物、支气管肺泡灌洗、咯血的治疗、协助气管插管等。肺泡灌洗以诊断和治疗肺部疾病的一种方法,其软镜经过鼻咽部通过声门,深达下呼吸道病变部位同时对支气管以下肺段,反复以无菌生理盐水灌洗、回收,相当于给患者“洗肺”,可及时改善气道梗阻症状,通过有效清除气道内分泌物和痰液,使患者通气状态得到改善,从而提高治疗效果。最终降低或防止肺部感染的发生。同时对怀疑肺癌,痰液、刷检物及灌洗液都可作脱落细胞(癌细胞)检查。
【呼吸科简介】
南京市中医院呼吸科是南京市中医重点专科,江苏省呼吸内科专科联盟成员单位,江苏省中医呼吸专科联盟成员单位;南京中医药大学中医内科学肺系方向的硕士点。
我院呼吸科坚持中西医结合诊治肺部感染、慢性气道病(包括慢性阻塞性肺病、支气管哮喘、支气管扩张等)、间质性肺病、肺癌、气胸等呼吸系统常见疾病。常规开展经皮、经气管、经血管、经胸腔多维度的有创操作诊治呼吸系统疑难与危重类疾病。继2020首次开展Ⅳ期肺癌免疫治疗、获7个月PFS,病区已常规进行肺癌的精准治疗以及放化疗工作。
自2018底年搬入新院区,在葛海波主任的带领下全面推进亚专科建设。目前除呼吸科普通门诊和专家门诊外,开设肺小结节、慢阻肺、戒烟专病门诊。新增门诊综合诊疗室,开展项目:肺功能检查、呼出气一氧化氮测定(FeNO)、多导睡眠监测、慢性呼吸病健康教育和定期讲座、吸入类药物使用指导、冬病夏治穴位贴敷和呼吸病中医养生康复咨询等。气管镜室位于我院内镜中心内,随着普通电子支气管镜检查的次数明显上升,2021年与麻醉科、手术室合作,稳步开展无痛电子支气管镜检查,并通过支气管镜下活检术、支气管肺泡灌洗术等明确气道占位性病变的性质及肺部感染性疾病的病原学诊断。