


“变化太大了,感谢青岛市口腔医院口腔颌面外科的医护团队为我重塑下巴,让我恢复了自信。这是一个足以改变我一生的手术!”8月8日,21岁女孩晓晓在术后25天发来的一条感谢微信,让青岛市口腔医院口腔颌面外科的医护人员备受鼓舞。
先将下颌截骨前移下降,再从左侧髂骨取骨,重塑了一个“新下巴”,近日,青岛市口腔医院口腔颌面外科圆满完成了一台正颌手术——颏成型术,为一位正当青春的女孩解决了颌面畸形的苦恼。

花季少女饱受“小下巴”困扰
21岁的晓晓是青岛某高校一名大学生,上高中后意识到自己面型不佳,颏部后缩,下巴显得特别小,这让一名花季少女时常感到苦恼和自卑。3年前,她在某诊所接受了“掩饰性”正畸治疗,但面部形态改善不佳,近1年自觉下巴更加短小。
经过多方打听和咨询后,晓晓得知青岛市口腔医院口腔颌面外科拥有强大的正颌外科团队,已开展正颌手术多年,于是慕名前来。


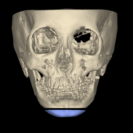
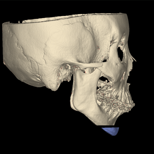
下颌截骨后要移动至右图位置
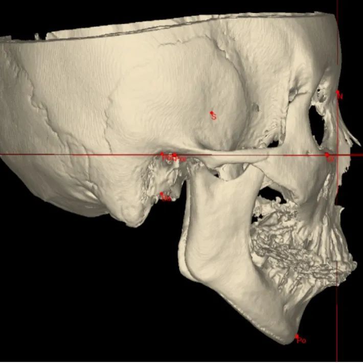
经检查符合正颌手术指征
口腔颌面外科副主任王耀钟接诊后仔细为其检查,诊断为“双颌前突颏后缩”,单纯牙齿矫正治疗无法解决问题,符合正颌手术指征,可以进行正颌治疗。从术后效果来说,实施上下颌手术最为理想,但患者在外院接受过正畸治疗,考虑到咬合关系,已无双颌手术操作空间,应患者强烈要求只能进行单纯颏成型手术。
即便是单纯地重塑下巴,面对的困难也不小。患者下颌骨后缩较为严重,需截骨前移距离远,植骨量也不小。在此情况下,保证游离骨块的成活,成了首先需要攻克的难题。



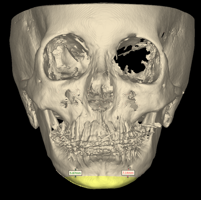
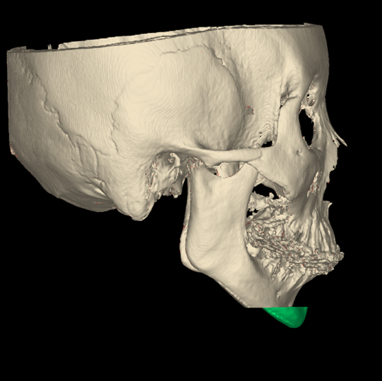
下颌截骨后需前移8毫米、下降3毫米
数字化技术确定手术方案
面对困难,口腔颌面外科主任林锡江和副主任王耀钟带领团队,通过采集患者的颌面部三维数据,在电脑上模拟骨块移动,精准计算出截骨线位置;通过术前评估需骨量,采用髂骨(骨盆的重要组成部分)取骨植骨;通过3D打印手术导板,精准引导手术操作,最大程度降低神经损伤风险、保证骨块成活。
下颌骨截骨前移8毫米、下降3毫米,髂骨取骨4乘3毫米再植骨——最终,为晓晓制定正颌手术方案设计出来了。

手术中照片
外科团队巧手再造下颌骨
7月11日,晓晓入院。在充分的术前准备下,7月13日上午,林锡江主任、王耀钟副主任率领口腔正颌外科团队稳扎稳打,开始手术。术中根据术前数字化设计方案,他们首先从口腔内开口,先将下颌骨截骨前移下降;然后切开左侧髂骨区组织,精准取出所需骨块,将骨块移动并与下颌匹配;通过钛板固定,再造下巴形态,使患者面容符合美学标准。
手术过程十分顺利,历时约60分钟,出血少量。术后没有太大的反应,晓晓及家人审视着与其面形和气质完美协调的下巴,对手术效果十分满意。7月16日,晓晓面带自信笑,顺利出院。

术前术后对比
术后收到患者的感谢信
“手术后收到了患者发来的感谢微信,说这个手术足以改变她的一生,这是对我们工作的极大鼓舞。”收到晓晓的微信,全程参与了此次正颌手术的王航医生激动地表示。
“正颌手术属于四级手术,历来是颌面手术中难度较高的手术之一。”林锡江主任表示,此次手术需要精准截骨、充分植骨,还要保证游离骨块的血液供应,从而使其成活,手术操作对实施手术的团队提出了非常高的要求。

口腔正颌外科团队
造福口腔颌面畸形患者
通过正颌手术改变面部形态,效果稳定确切,正受到越来越多爱美人士的关注。近年来,青岛市口腔医院不断加大口腔颌面外科专科建设,强化人才引进,团队技术能力大幅精进,月全麻手术量达到了40余台。通过与国内知名院校,如上海交通大学附属第九人民医院、北京大学口腔医院合作,在外科手术中成熟运用数字化+3D打印技术,开展了如“上颌LeFort I型分块截骨术+下颌升支矢状劈开截骨术+颏成型术”等多项高精尖手术,实现了上下颌骨的精准化、微创化、数字化移动,造福了广大口腔颌面畸形患者。