


经常听到有患者说“我坚持健身,每年都查体,指标都正常啊,我健康的不得了,我怎么可能长脑瘤呢?”但实际情况是目前单位体检几乎不涉及大脑,所以,安全起见,中年过后,一定要记得每年做一个大脑影像学检查,如颅脑CT或MRI即可。
眼花耳聋、记忆力下降、反应迟钝,不要理所当然的以为只是衰老;头痛、恶心,不要那么自作主张的诊断为偏头痛。
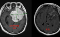
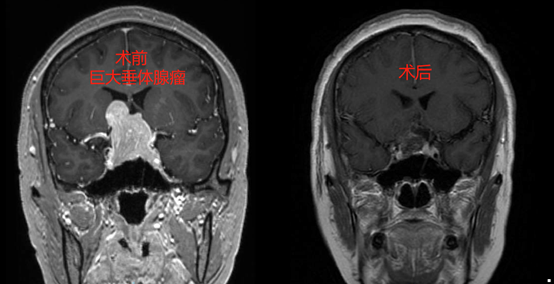
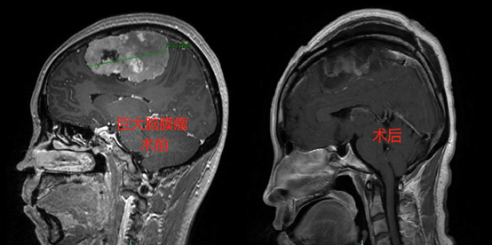
看看我们近期收治的几例良性肿瘤患者,您还敢不做颅脑的体检嘛?



脑肿瘤早期有哪些症状呢?
1.头痛。脑瘤引起的头痛一般在早上起床时最重,然后逐渐减轻,在午后可以得到缓解。
2. 呕吐。脑瘤引起的呕吐一般发生在头疼剧烈时,多与进食无关,表现为喷射样呕吐,呕吐后头疼症状会有所减轻。
3.视力障碍,视力下降、视野缩窄、复视。早期出现这些眼部症状,往往误以为青光眼、白内障,反复治疗无效,最终近乎失明才就诊于神经外科。
4.单侧耳鸣、耳聋。中年人若无中耳炎和外伤的病史,仅有一侧听力进行性减退,伴有或不伴有同侧耳鸣,多半为肿瘤压迫听神经导致。
5.癫痫发作。成年以后开始发病者,如无外伤及其他诱因,则应首先考虑颅内肿瘤。倘若抽搐发作局限于一侧或由某个肢体开始,无论成人或小儿都应考虑脑肿瘤。
6.颜面部或肢体麻木,无力、笨拙。这些症状假如是缓慢出现并逐渐加重,可能是脑肿瘤信号。
7.闭经泌乳,不孕不育。育龄妇女非妊娠的闭经、泌乳常为垂体肿瘤的首发症状。男性主要表现为阳痿和阴毛、腋毛、胡须脱落、皮肤细腻等。出现上述症状不要只就诊于妇科或男科哟,说不准是大脑的事儿呢。
8.肥胖、肢端肥大、样貌变丑、不明原因的三高、睡眠呼吸暂停。这也可能是垂体瘤的首发症状。
出现上述症状要警惕!千万不要讳疾忌医哟!
供稿 | 神经外五科 赵余静 王喆