2022年结束了,过去的一年里3D打印行业跌宕起伏,但总体继续向上发展。3D打印技术继续在医疗领域发挥自己的优势,辅助高难度的手术,治病救人。并且有一个很明显的特点,原本只有在一线城市三甲医院被使用的3D打印技术,如今已经普及到了二、三、四线城市的医院,惠及了更多的人群。
本文南极熊整理了2022年,发生在国内的10个3D打印辅助手术案例,在这些高难度的手术中,3D打印均发挥了重要作用。其实还有很多医疗案例发生,但限于篇幅无法一一列举,本文只是从中选出了10个案例,供广大读者参考。

我们将其分为三类:3D打印植入体;3D打印手术导板;3D打印病灶模型。
3D打印植入体
No.1 3D打印多孔型椎体融合器成功应用于颈椎前路椎体次全切手术
2022年9月,湘雅常德医院脊柱外科陈芳田主任团队成功完成一例颈椎间盘髓核切除术+C5椎体部分切除术+颈椎前路椎管减压术+脊髓神经根探查术+3D打印多孔型椎体融合器置入术。多孔型椎体融合器由湖南华翔医疗科技有限公司联合南华大学附属第一医院脊柱外科团队,采用华曙高科金属3D打印解决方案研发加工制造,获得三类医疗器械许可证的选区激光熔融技术(金属3D打印SLM技术)骨科植入假体产品。
患者陈XX,男,51岁,患者自述于8月前无明显诱因出现颈部疼痛,劳累后疼痛加重,曾实施“针灸、拔罐”等治疗,症状有所缓解,期间仍间断感到疼痛,未予特殊处理,期间上述症状加重并出现四肢麻木、不适,以右手食指、中指,左手五指,右下肢膝关节以下,左下肢足底为主,并伴左下肢乏力。患者为求进一步治疗,慕名至湘雅常德医院就诊,门诊以“脊髓型颈椎病”收入脊柱外科。
患者入院后完善相关检查,陈芳田主任详细查看病人情况后表示:患者颈椎间盘突出(C4/5、C5/6),颈椎椎管狭窄(C5/6),出现脊髓及神经压迫症状,诊断明确,非手术治疗效果不佳,患者手术指征明确,无明显手术禁忌症,可考虑予以手术治疗。
△患者术前影像学资料
经过科室讨论、与患者及家属沟通后,陈芳田主任团队采用湖南华翔医疗科技有限公司设计生产的3D打印多孔型椎体融合器为患者解决难题。
手术顺利完成,患者术后肢体肌力明显改善,疼痛麻木缓解。术后影像学检查显示:减压充分,融合器位置良好。患者对手术效果非常满意。
△患者术后影像学资料
No.2 多学科协作11小时手术,3D打印胸骨助力抗癌30年的她重获新生
李女士早在1991年时,就被确诊过卵巢恶性肿瘤,实施切除手术后,顺利康复出院。后在2012年时又发现胸骨上长了一个肿块。为了治疗复发的恶性肿瘤,李女士与家人先后奔波陕西各大医院。之前虽有医院提出过“3D打印胸骨置换”这个方案,但当时技术不够成熟,成功率极低,李女士一家人打了退堂鼓,多处寻医未果,使一家人失去了治疗信心。
同行医生推荐他们寻求西安国际医学中心医院 整形医院院长 郭树忠教授团队的救助。郭教授团队中的整形外科主任王爱武,有多年修复重建经验,做了大量高难度修复重建手术,李女士一家几经辗转找到了他。
△王爱武主任(右一)、籍建华主任(左二)、卫国强主任手术进行中
看到李女士的情况后,王爱武主任经过与胸科医院院长李小飞、胸腔外科主任崔凯会诊后,分析要想彻底根除李女士胸骨上的恶性肿瘤,就需要将整个胸骨、部分肋骨以及骨头表面覆盖的皮肤进行大范围切除。但这类手术难度、风险极大,切除后会导致纵膈、心包、双侧肺脏裸露在外,如不进行皮瓣移植及修复,将裸露的纵膈、心包、双侧肺脏包裹起来,李女士将无法生存。最终会诊结果确定为患者,行胸骨全切+双侧部分肋骨切除+3D打印人工胸壁置换术及背阔肌岛状肌皮瓣转移修复创面术。
上午胸外科首先将李女士的胸骨进行了全切除,随后胸外科的医生们利用3D打印人工材料替代胸廓结构顺利为患者完成了置换。值得一提的是,西安国际医学中心医院对患者的骨修复,采用3D打印技术,制作出与患者解剖结构完全相同的植入材料,用力学结构接近人体皮质骨,具有重塑胸壁力学的显著特性,用国际上先进的聚醚醚酮(PEEK)材料为植入物,制作人工胸廓替代胸骨和部分肋骨。
△3D打印技术制作出的人工胸廓
修复重建实际上是“拆东墙补西墙”,也是难度最高的手术之一。医生必须具备深厚的显微外科技术与扎实的解剖技术,把人身上其他部位的组织移植到需要修复的部位。
医生通过超声刀在皮下“打开”一个“隧道”,用于转移“腋窝胸背动脉穿支血管蒂”进行供血。这部分组织布满了密密麻麻无数神经血管小分支,需要逐一精准地剥离。且在“隧道”中运送被移植皮瓣更是如履薄冰,一旦发生血管牵拉、撕破、坏死,后果将不可预估。
经过11小时的手术,李女士胸前的这块巨大组织缺损终于被顺利填补。患者经过一段时间的恢复,生命体征平稳,身体状况良好,即将顺利出院。
No.3 使用3D打印多孔钽金属假体对严重骨盆缺损患者进行髋关节翻修重建手术
4年前,尹女士因为自幼跛行,左髋关节疼痛逐渐加重就诊于当地医院,诊断左侧髋关节发育不良、左髋关节脱位,并接受了左侧全髋关节置换手术。术后患者康复情况可,能扶拐行走。但半年前尹女士的左髋部再次出现疼痛,不敢行走。在家人的劝说下,尹女士坐轮椅来到大连大学附属中山医院的赵德伟院长门诊。
门诊的x线结果是尹女士的左髋关节处于脱位的状态,人工股骨头上移,髋臼杯松动移位,髋臼周围由大量的骨水泥和内固定物填充,坐骨缺损。赵德伟院长告诉尹女士,只有髋关节翻修手术才能解决现在的疼痛问题并恢复功能。但是手术难度很大,常规假体的重建可能面临更大更复杂的创伤,只有3D打印臼杯才能解决如此严重的髋臼缺损问题。
△本次就诊时X线与CT
赵德伟教授团队在仔细讨论病情并认真分析患者髋臼情况后,尹女士的关节可能是由于感染导致,决定按照尹女士的CT数据为其量身定制一款臼杯。从结构上既能通过填充骨缺损恢复股骨头旋转中心的位置,又能提供髂骨和耻骨桥接固定的一体化臼杯。在功能上还能利用3D打印的多孔结构搭载含抗生素,用于术后长期有效的发挥抗炎作用。假体是由伟坦(大连)生物有限公司与北京力达康有限公司共同设计制作。
赵德伟院长及其团队在手术中将松动的臼杯、骨水泥和内植入物取出,对尹女士左髋关节进行了彻底的清创,在多孔结构涂敷含有敏感抗生素的可降解骨水泥之后,精准地安装定制化髋臼假体。尹女士左髋关节的翻修重建手术顺利完成。目前,尹女士术后恢复良好,拟于近日出院,期待她回归正常生活,健康幸福。
△术后X线片
No. 4 南医五院成功完成手术切除髋关节并通过3D打印假体重建手术
2022年4,南方医科大学第五附属医院(下简称“南医五院”)骨肿瘤专科成功开展手术切除髋关节并通过3D打印假体,帮助患者功能重建。术后复查,髋关节活动正常。
盆骨也会长肿瘤吗?广州市民方先生刚刚退休,之前因为甲状腺癌复发,在市区手术治疗后左边髋关节疼痛不已,扛了半年时间越来越疼回医院检查。没想到按下葫芦浮起瓢,影像检查发现甲状腺癌转移到盆骨。方先生找到南医五院骨肿瘤专科主任钟华博士,确诊为盆骨髋臼部位肿瘤,而且放任下去可能发生病理性骨折,丧失正常行走功能。
钟华介绍,盆骨肿瘤比较常见,占原发肿瘤的3%-4%,分为良性肿瘤和恶性肿瘤。因肿瘤的良恶性,生物学行为,破坏的部位与范围不同而出现各种症状。盆骨肿瘤主要采取以手术治疗为主的综合治疗方法。考虑到盆骨有多条大动脉穿过,手术需要准备大剂量输血。
这个手术比较有挑战性,钟华说,盆骨髋臼周围的血管神经分布多而复杂,要完整切除髋臼周围的肿瘤必须保护好其周围重要的坐骨神经及股神经免受损伤,同时要对髋臼周围分布的血管进行仔细地结扎止血,以免术中出现危及患者生命的大出血。
南医五院骨肿瘤规范化治疗团队与广东省人民医院骨肿瘤科团队组织讨论,为患者制定了术前3D打印个性化半骨盆假体及精准截骨导板,术前介入栓塞骨肿瘤及周围的供血动脉围手术期准备下的骨盆切除髋关节功能重建手术。
经过约6个小时,手术精准切除了髋臼区的肿瘤并重建了髋关节的功能。虽然出血量控制在正常范围,但手术为患者输血超2000ml,接近成年男子体内一半的血量,患者术后恢复良好。
3D打印手术导板
No.5 广西南溪山医院3D打印技术助力颈椎手术实现新突破
2022年4月,广西壮族自治区南溪山医院脊柱外科应用3D打印技术为一名枢椎骨折脱位患者定制打印导板,高效、安全地完成了后入路上颈椎复位内固定术。
该患者因颈部外伤被诊断为枢椎骨折脱位(医学上又称Hangman骨折),需要进行手术治疗,而寰枢椎解剖结构特殊、椎弓根细小、本身有骨折脱位,个体变异性大、毗邻颈脊髓及椎动脉等重要组织,若置钉位置不当,易造成上述组织损伤,同时还可能影响到内固定系统的稳定性。
△匹配上颈椎解剖形态的3D打印导板。广西新闻网通讯员 李亮 供图
该院脊柱外科团队经讨论后,决定运用3D打印技术,为患者定制导板辅助手术。3D打印导板基于三维重建模型可规划椎弓根螺钉的最佳进钉点、进钉角度及螺钉的长度。同时根据椎体棘突、椎板、关节突关节等解剖形态反向建立与之相匹配的导板,术中将导板贴附于相应椎体后部骨性结构,沿定位孔便可准确地对椎弓根置钉。此方法大大提高了置钉准确性,减少手术时间及透视次数,降低了手术难度,使复杂的手术简单化。该患者的手术仅耗时1个小时便顺利完成。
△术后复查上颈椎CT显示螺钉位置良好。广西新闻网通讯员 李亮 供图
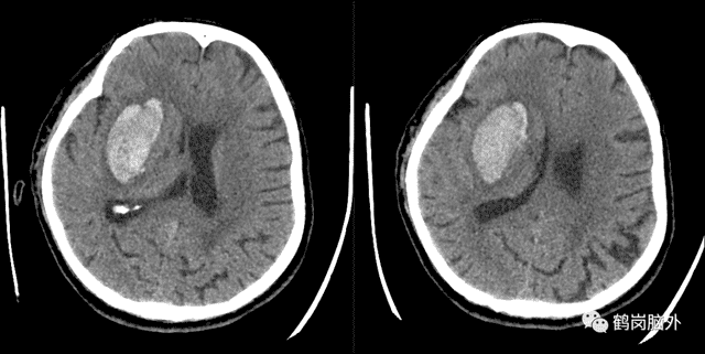
No.6 鹤岗市人民医院成功完成1例3D打印精准治疗脑出血手术
2022年4月,鹤岗市人民医院神外二科又成功完成1例3D打印脑出血手术。开展1年来已经成功进行了30余例脑出血手术。3D打印辅助脑出血微创引流手术,多数患者不用刮头。3D打印更精准,更微创,缩短住院时间,减少住院花费,最大程度保留神经功能。
71岁的周先生突发左侧肢体不能活动来医院,头部CT检查发现脑出血,20多毫升的出血量不会危及生命,但左侧肢体无法活动,考虑到促进肢体功能的恢复,进行了3D打印技术脑出血微创手术治疗。术后3天可以在家人扶持下走路。
△可以看到出血量20余毫升,但脑室明显受压。
△3D打印的导板可以精确直达血肿中心。
说明:并不是所有的脑出血都适合此项技术,少量出血(15ml~20ml)多保守治疗,中等量出血(20~40ml)如果同时伴有肢体偏瘫肌力3级以下的适合钻孔引流手术,大量出血(40以上)多选择微创开颅手术,骨瓣1元硬币大小。如果是左侧大量出血,多数患者会出现无法言语和听不懂他人言语内容,多选择开颅经侧裂血肿清除手术,术后能最大程度保留神经功能。脑干出血5ml以上即有手术指征,鹤岗市人民医院神经外二科曹玉福主任已经成功开展10例脑干出血手术。
No.7 10年前骨折导致腕关节畸形,3D打印量身定制手术导板解决难题
2022年9月,山大二院创伤骨科运用3D打印截骨导板,成功为一位被腕关节畸形困扰10年的患者进行手术。术后患者腕部功能得到极大改善,手指麻木消失,握力恢复到接近正常。
该患者10余年前桡骨远端骨折保守治疗导致腕关节畸形,出现腕关节活动受限、疼痛,伴有手指麻木、手部握力下降等症状,严重影响他日常劳动,于是来到山大二院创伤骨科治疗。
通过检查发现,患者的腕关节畸形包括桡骨高度、腕关节掌倾角及尺偏角的丢失,手术是治疗此类疾病的唯一方法。手术通过截骨纠正畸形,恢复患者腕关节的正常解剖。以往的手术畸形矫正程度依赖个人经验,存在畸形纠正不彻底,症状改善不满意等风险。
创伤骨科副主任医师霍延青团队经过术前评估,利用数字技术和医科交叉联合,为患者量身定制了手术导板,实施精准手术。术后,患者腕部功能得到极大改善,手指麻木消失,握力恢复到接近正常。
△术后正位片
精准医疗进行个性化量身定制手术导板是根据术中需要而采用计算机辅助设计、3D打印制备的一种个性化手术器械,用于术中准确定位点、线的位置、方向和深度,辅助术中精确建立孔道、截面、空间距离、相互成角关系及其他复杂空间结构等。随着数字化技术与医学和工科的融合发展,精准医疗在疾病诊治过程中发挥着越来越重要的作用。目前精准医疗呈现出多点开花的局面,其可以应用于分子诊断、基因测序、细胞治疗、医疗机器人和抗体药物等众多领域。山大二院创伤骨科积极致力精准医疗在骨科手术的应用,实施精准手术,有效降低手术风险,助力百姓健康事业的发展。
3D打印病灶模型
No.8 3D打印重建脊柱模型,精准手术让8岁女孩站直看世界
新化县8岁女孩婷婷(化名)从小就和其他孩子不一样,她患有先天性脊柱侧弯。随着年龄的增长,婷婷的脊柱畸形越来越明显。2022年1月,婷婷在湖南省儿童医院成功接受脊柱矫形手术,站直了看世界。同时婷婷还享受到了先天性结构畸形救助项目救助,减免了3万元医疗费用,减轻了家庭负担。
经过检查,婷婷的脊柱存在三处侧弯。手术视野下,主刀医师叶卫华通过pso截骨椎弓根螺钉内固定术为婷婷矫正脊柱畸形。医生通过三维重建CT检查,详细了解婷婷脊柱的具体情况,并利用3D打印技术,1∶1立体重建了婷婷的脊柱模型,实施精准手术治疗。
“人体的脊柱就像树干,完全固定住孩子就长不高了。”叶卫华表示,手术中不仅要考虑矫形效果,也要兼顾孩子生长发育的需要。目前婷婷康复良好,出院后的三个月,还需要继续佩戴好保护性支具,三个月以后来院复查。
No.9 3D打印技术助力脊柱手术,让30岁小伙重获新生
广西壮族自治区南溪山医院脊柱外科依托医学3D打印创新研究中心平台,发挥3D打印技术优势,完成3D打印辅助下的腰骶椎结核手术,让一名青年男性得到“重生”。
△术前检查影像学
患者是一位风华正茂的30岁小伙,2个多月来,腰痛并且有右下肢麻木胀痛的情况,最近一个星期甚至只能瘸腿走路,已经严重影响生活,于是到南溪山医院就诊,经过检查,医生发现他的右下肢小腿外侧及足背足底及足趾皮肤感觉明显减退,初步诊断为腰骶椎结核,腰5/骶1出现严重的骨质破坏,结核脓肿向后明显压迫神经,医生为他进行足疗程抗结核治疗后,经脊柱外科专家团队讨论,决定为他进行手术治疗。
△3D打印模型
为了手术更精准,取得更好地疗效,脊柱外科团队联合该院3D打印中心技术人员,共同为该患者制定了个性化的手术方案,脊柱外科顺利为他完成了3D打印模型辅助下腰椎结核病灶清除和脊柱稳定性重建术,术后5天该患者就能佩戴支具下床活动了,仅一个星期就出院了,术后效果超乎预期。经过术后复查,该患者腰骶椎结核病灶清除干净,对植骨也很满意,脊柱内固定位置佳,稳定性好。腰疼腿麻的症状基本消失,他称赞脊柱外科让自己获得了新生。
No.10 3D打印技术助力河北工程大学附属医院完成骨科手术
2022年5月,河北工程大学附属医院骨五科主任贺靖澜带领其团队成功应用3D打印技术治疗了一例右踝关节开放性骨折伴脱位(Pilon)的患者。
患者张某,因高能量创伤致右踝关节粉碎骨折伴脱位,入院后积极完善相关检查。由于创伤较重,患处肿胀明显,骨折粉碎严重,骨五科贺靖澜主任立即组织医生们讨论治疗方案。应用3D打印技术辅助骨科手术,通过术前3D打印模型进行骨折分析和模拟手术,使得手术按照原先术前计划进行。
张大哥说:“这个3D打印技术太神奇了,医生拿着模型给我讲病情,我这不专业的人也能听明白。”
骨五科贺主任介绍:传统的骨科手术仅仅根据影像学结果及手术医生的临床经验实施,不仅操作不够精准,而且创伤大、手术时间长,而1:1的3D打印技术造出的模型,可以提前设立手术入路,内固定物测量,术前可在模型上预先模拟过复位步骤,更准确更直观,这一系列术前准备为手术节省了时间,并减少了术中失血,进一步降低了手术风险,提高了手术的精准性。
骨五科在贺主任的带领下,打造技术更加全面的团队,为群众提供诊疗服务,让患者在家门口就能享受到先进、精准、个性化的骨科治疗,让更多疑难病例的顺利康复成为可能。
总结
以上是在2022年发生的10台3D打印辅助手术案例,仅仅是实际案例中很小的一部分,非常开心的看到3D打印帮助越来越多的人恢复健康。
※以上案例分别来自:华翔医疗(No.1)、三秦都市报(No.2)、骨益伟坦(No.3)、羊城晚报(No.4)、广西新闻网(No.5)、鹤岗脑外(No.6)、齐鲁壹点(No.7)、长沙晚报(No.8)、桂林大爆料(No.9)、邯郸新闻综合广播(No.10)





















