如果说乳腺癌已经让人害怕不已,那么“三阴”两个字就是能冷到骨子里,连医生看到了都忍不住摇头,是公认的难治、易转移、预后差,最不想看到的情况它都有。
流行病学数据显示,三阴性乳腺癌主要发生在40岁以下的绝经前年轻女性中,约占所有乳腺癌患者的15-20%。与其他乳腺癌亚型相比,三阴性乳腺癌患者的生存时间更短,诊断后前5年内死亡率为40%。而且大约 46% 的三阴性乳腺癌患者会出现远处转移,转移后的中位生存期仅为13.3个月。

对癌症治疗有点了解的人应该听说过“靶子”,三阴性乳腺癌之所以难治,就是因为缺乏靶子,没有武器对付它。
由于其特殊的分子表型,三阴性乳腺癌对内分泌疗法或分子靶向治疗不敏感。因此,化疗是主要的全身治疗,但常规术后辅助放化疗疗效较差。残留的转移性病变最终将导致肿瘤复发。在一些国家,贝伐珠单抗已与化疗药物联合用于治疗三阴性乳腺癌,但患者的生存时间并未显著增加。因此,迫切需要开发新的治疗方案。
而免疫细胞治疗新型疗法的出现,给乳腺癌这种实体肿瘤的治疗,带来了巨大转机。据最新科学研究发现,免疫细胞疗法在三阴性乳腺癌、前列腺癌、卵巢癌和头颈癌、脑肿瘤细胞中均能发挥作用。
49岁乳腺癌患者,经免疫细胞治疗后回归正常生活
《自然》子刊《Nature Medicine》刊登了一项重磅研究。一名罹患晚期转移性乳腺癌的患者,在经过自身免疫细胞的治疗后,全身的肿瘤竟消失得无影无踪!《Nature Medicine》的评论指出,“这是细胞免疫疗法首次成功应用于晚期乳腺癌”。
本研究来自美国国立癌症研究所(NCI),通讯作者是免疫疗法大牛Steven A. Rosenberg教授。在一项临床研究中,研究人员们见到了一名49岁的女性乳腺癌患者。她的乳腺癌已经发展到了晚期,对多种疗法都产生了耐受。用通俗的话说,她已经“无药可治”。医生们估计,这名患者最多还有几个月可活。
▲该研究的治疗流程(图片来源:《NatureMedicine》)gdmy3644
最后这名患者决定参与一项细胞疗法的临床试验。在这项研究中,研究人员们先对她的肿瘤进行了测序,并在乳腺癌细胞里找到了62种不同的突变。然后,研究人员们在她的肿瘤里寻找肿瘤浸润性T细胞,并对T细胞进行体外大量扩增!
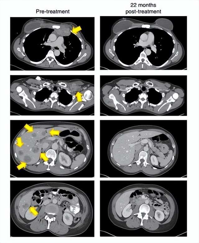
当900亿个免疫细胞被输入患者体内后,奇迹出现了。在6个月后的第一次随访时,患者的目标肿瘤负担锐减一半。而在治疗后的第22个月,从医学影像上看,所有肿瘤都消失了!
▲22个月后,这名患者的肿瘤(黄色箭头)消失得无影无踪(图片来源:《Nature Medicine》)
回输免疫细胞,恢复免疫杀伤功能
癌症的发生与免疫功能下降有着密不可分的联系,因此,癌症治疗也应该以免疫重建为前提,提高免疫细胞的活性和数量,使其恢复对抗癌症的能力,从癌症发生的根本原因进行治疗,对癌症患者自身免疫细胞进行培养、激活,使其重新恢复杀伤癌细胞的本能,改善机体免疫力,从而有效对抗癌症。
而免疫细胞治疗,就是说通过增殖、增强并激活癌症患者的免疫细胞,控制癌肿发展,改善患者体内肿瘤微环境,调整免疫系统功能及各细胞因子的水平从而抑制肿瘤发展,诱导癌细胞凋。
在上述案例中,研究人员从该患者的肿瘤中提取了淋巴细胞,并从中筛选出对突变癌细胞有反应的肿瘤浸润淋巴细胞,通过对这些细胞进行修饰,再应用到患者体内达到很好的治疗效果。
免疫细胞联合化疗
化疗仍然是三阴性乳腺癌的主要疗法,但其反应较短,需要多种方案共同参与才可能获得更好疗效。三阴性乳腺癌免疫原性强,TILs浸润较少、免疫标志物表达较低,单纯免疫治疗疗效不佳。
将免疫细胞疗法与化疗结合,激活免疫表达,是三阴性乳腺癌患者取得临床获益的新方向。化疗可使肿瘤抗原暴露,激活 NK表达,增强免疫正向调节,进而取得更好的抗肿瘤疗效。
免疫细胞联合放疗
放疗和免疫治疗可相互促进。研究证明,放疗可增加I型细胞因子的产生,使免疫细胞活性信号的表达上调,促进肿瘤细胞 MHC- I的表达加强免疫。
此外,将放疗敏感三阴性乳腺癌细胞加入放疗不敏感小鼠肿瘤体内接受放疗,发现抑制癌细胞的 M1 亚型巨噬细胞和 DC 细胞增多,促进癌细胞的 M2 型巨噬细胞减少,可提高免疫治疗癌症的疗效。
体内和体外研究均显示放疗可以促进三阴性乳腺癌细胞释放损伤相关蛋白,促进免疫细胞激活、分化和成熟,提高放疗和免疫治疗协同的疗效。
随着医疗技术的发展,三阴性乳腺癌一改从前无药可救的困境,正在快速地进入精准治疗时代。免疫细胞疗法是一种比较理想的抗癌方式,具有将患者从死亡边缘拯救回来的功效,它能够提高晚期癌症患者的生存质量,改善早期癌症患者的预后,帮助患者减轻癌症带来的疼痛,改善患者的食欲和睡眠,延长患者的生命周期。疗法对癌症的长期缓解作用,我们相信,免疫细胞疗法可以带领三阴性乳腺癌患者走向真正意义上的“临床治愈”。






