我们知道,肿瘤是很难完全消除的,当你宏观上发现它在某一个部位存在的时候,它可能也存在于身体的其他地方,这就是手术、放化疗后易复发转移的原因。以乳腺癌为例,手术后约有30%-40%的乳腺癌患者会出现复发或转移。

近年来,虽然肿瘤的诊断和治疗技术在快速发展,但是乳腺癌患者的死亡率仍然居高不下,死亡率以3%的速度增长,高转移性在当前乳腺癌治疗中仍是一大难题。据了解,乳腺癌病人死亡最主要的原因还是因为诸如肺转移、肝转移和脑转移等其他部位的转移导致死亡。
目前,我们所熟知的癌症治疗方法有手术、化疗和放疗,但其“易转移、有副作用”的缺点却无法避免。
随着科学技术的不断发展,以机体免疫系统为原理的免疫细胞疗法已在多种癌症患者的治疗中应用。免疫细胞疗法弥补了其他治疗方式的缺憾,更高程度地避免癌症复发和转移,成为延长癌症患者寿命的福音。
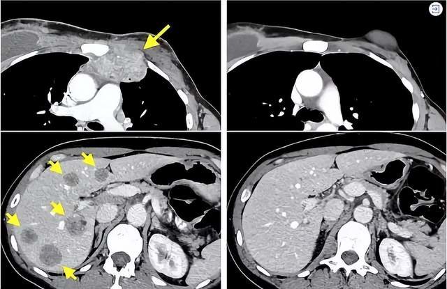
左图黄色箭头是治疗前肿瘤位置;
右图是免疫细胞治疗结束14个月后的复查:肿瘤完全消失
如果能够在术后五年内——这个“治愈”癌症的“黄金时段”及时补充免疫细胞,把血管、淋巴中游走准备“着陆”的癌细胞扼杀在摇篮中,这样就可以提前降低癌症转移风险,在癌症转移的早期阶段有效掐灭癌细胞蔓延的火苗。
而且作为覆盖全身的“防卫系统”,只有恢复免疫系统功能,才能更好的起到抵御病毒、感染、癌细胞的作用。而对于癌症患者,免疫力本就很差的情况下,重建免疫系统功能,恢复免疫力成为了避免转移的根本措施。
而免疫细胞治疗是与以往针对肿瘤细胞的治疗完全不同的一类全新肿瘤治疗模式,其主要机制为改变肿瘤微环境,从而让机体自身的免疫功能重新发挥作用,来杀灭肿瘤细胞。
免疫细胞疗法
我们人体的免疫系统具有“免疫监视”功能,当肿瘤细胞侵袭时,免疫系统可以识别并清除它们。然而肿瘤细胞也很狡猾,能够想出各种办法来躲避免疫系统的“追杀”。
癌症免疫细胞治疗,是从我们的身体中把与癌细胞和病毒等的异物战斗的免疫细胞患者从血液中取出,在实验室培养增加数量及重新识别癌细胞的能力,回输到体内后,再次恢复患者免疫的力量,攻击肿瘤的治疗方法。
免疫细胞疗法与PD-1免疫疗法虽然都是从患者免疫力入手,都具有增强患者抗肿瘤能力的效果,但是细胞免疫疗法回输体内的免疫细胞不仅能持久、有效地杀灭癌细胞,提高患者自身的免疫功能,还具有防止癌症复发和转移的效果,与PD-1免疫疗法相比,免疫细胞疗法具有治疗和保健双重功效。
目前全世界医学界越来越倾向于,通过提高免疫力来抑制肿瘤的发生,此外,提高免疫力对癌症患者更为重要!有利于患者术后康复、对抗化疗副作用、提高生活质量、巩固患者身体素质,抑制肿瘤再生长,预防复发,转移。
中国免疫疗法起步较晚,大多还处于临床试验阶段,没有达到临床应用的技术层次。日本作为细胞免疫疗法的开创者,是国际上率先批准使用细胞免疫疗法的国家之一,据国际肿瘤学界的专家介绍,日本已经是癌症治疗效果最好的国家之一。截止到目前,在日本接受癌症防复发疫苗的患者已达13万人以上(目前正在使用的包括日本16000位和来自海外的6000位),肿瘤疫苗技术已经获得美国专利认证及日本,新加坡等国专利认证。
也正是在其在近二十年的不懈努力下,打造了具有领先国际水平的BAK免疫细胞疗法,新树突状细胞疗法,NKT免疫细胞,NK细胞疗法,CAR-T,TCR-T等。
尤其是NKT-DC免疫细胞疗法,该疗法可更快找出隐藏抗原的癌细胞,并能直接攻击和摧毁癌细胞的免疫治疗方法,能够快速识别体内的癌细胞,并且将其消灭,大大的降低了癌症患者术后的复发概率,对于出现复发转移的患者,也能够通过该疗法,实现长期生存。
NKT-DC细胞免疫疗法,找出隐藏癌细胞,降低复发转移概率
DC细胞是免疫系统的”专职侦察兵”树突状细胞(Dendritic cells,简称DC),树突状细胞是白细胞的一种,得名于被激活后会长出树枝状的突起,用来识别抗原。DC细胞是功能最强的抗原提呈细胞,能高效地摄取、加工处理和递呈抗原,成熟DC细胞能高效激活初始T细胞,处于免疫应答中心环节。
NKT细胞是一群细胞表面既有T细胞受体TCR,又有NK细胞受体的特殊T细胞亚群。树突状细胞(DC细胞)找到癌细胞的抗原后,就会带回去交给辅助性T细胞,这个过程叫做”抗原呈递”。辅助性T细胞发现是癌细胞后,马上召唤细胞毒性T细胞和天然杀手细胞(NK细胞),要求它们以最快速度抹杀癌细胞。
凭着精确的信息指引,细胞毒性T细胞和NK细胞不声不响地靠近癌细胞,在癌细胞身上投下一种叫穿孔蛋白的物质,破坏癌细胞,让里面的生命物质流出来,把它们消灭。另外,记忆T细胞会记录归档癌细胞信息,等将来再出现类似癌细胞的时候直接清除它。
而DC-NKT细胞免疫疗法能够将DC细胞与NKT细胞结合,可更快找出隐藏抗原的癌细胞,并能直接攻击和摧毁癌细胞的免疫治疗方法。
此疗法不会影响到正常细胞,只作用于特异性癌细胞。并且,使用自体免疫细胞制作的疫苗,无需担心产生以往抗癌药的所出现的副作用,在治疗的同时也能维持生活质量。
1、与树突状细胞免疫疗法相结合,进一步提高抗癌力。
2、可以和三大疗法同时进行。
3、不会影响到正常的细胞,只针对癌细胞,可做到特异性免疫,患者的负担少。
4、定制化治疗,有效提升攻击癌组织能力。
随着科技的不断发展,有关免疫细胞治疗的研究越来越多,并且已经取得了一些突破性成果。免疫细胞在抗癌等方面也有显著的疗效,成为防癌、抗癌的新武器,能够有效降低术后复发转移概率,对于癌症处于转移的患者,通过该疗法也能缩小控制肿瘤,实现长久生存。
如今也有越来越多的癌症患者,通过细胞免疫疗法带来更多的生存益处,如增加(1年、3年、5年及10年的)患者无进展生存率,有效延长病人生命的同时,提高病人生存期的生活质量。








