
不开刀,极低射线,无需体外循环,无需心脏停搏,全程超声引导。7月9日上午,湖南省人民医院心内科团队为一名重度二尖瓣关闭不全伴心力衰竭的高龄患者,成功施行经导管二尖瓣缘对缘修补术,即二尖瓣钳夹术((MitraClip)。这也是湖南省人民医院心内科完成的首例高难度经导管二尖瓣钳夹术,标志着该团队在结构性心脏病微创治疗领域的重大突破。
陈奶奶今年80岁,胸闷、喘不上气的症状困扰将近20多年,随着年龄越大其症状越发越明显,甚至稍微走快一点或者爬一层楼就喘气不上,到后面越来越严重,晚上睡着了也会突然胸口闷憋醒,一阵阵的呼吸困难,睡觉都躺不了,必须枕很高的枕头。曾多次去医院就诊,完善相关检查后考虑二尖瓣重度关闭不全,反复住院治疗,维持不了多久又得重复入院。
陈奶奶需要高枕卧位,仍明显气促
陈奶奶告诉医生:“我去了好多医院,都说像我这种情况要做开胸换瓣手术,我年纪这么大了,哪里受得住。我还有糖尿病、高血压、慢性肾功能不全,很多医院都不敢给我做开胸手术。”
后陈奶奶经人介绍来到湖南省人民医院,接诊何晋主任医师看过后结合症状,导致陈奶奶心衰原因,主要是二尖瓣重度反流,引起肺静脉压力增高,只有减少反流才能够完全改善其症状,药物治疗无法解决根本问题。
钳子DSA影像
随后与郑昭芬教授和潘宏伟教授讨论病情后,邀请心脏大血管外科、麻醉科及呼吸科等多学科专家会诊,对陈奶奶的整体情况进行了反复研究,最终团队决定为她开展微创二尖瓣钳夹手术可以行二尖瓣钳夹术(MitraClip)。
何晋主任以及团队手术中
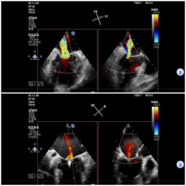
7月9日上午心内科联合麻醉科、胸外科等多学科,共同为陈奶奶开展手术,术前二尖瓣大量反流,反流程度5+,肺静脉反流明显,术后二尖瓣少量反流,反流程度1+,肺静脉反流消失,手术顺利结束。
手术前后二尖瓣反流
手术前后二尖瓣压差
手术前后肺静脉流速
术后安返病房,次日陈奶奶从不能平卧到能下床活动。在医护人员的精心照顾下,陈奶奶现已顺利出院。
术后患者下床活动
湖南省人民医院心内一科主任医师何晋介绍, 二尖瓣反流是常见的心脏瓣膜疾病之一,报道我国需要治疗的二尖瓣狭窄的患者达750万,且严重的二尖瓣反流患者其1年死亡率高达57%。其原因是由于患者心脏二尖瓣关闭不全,收缩期血流逆向从左心室返流至左心房,从而使动脉系统有效供血降低,肺循环及静脉系统血流淤滞,可导致咳嗽、呼吸困难和心率过快等症状,增加患者心力衰竭、心律不齐、卒中,甚至死亡风险。
对于二尖瓣反流患者来说,外科手术最初是唯一治疗方法,但是很多患者以高龄为主,合并基础病多,无法耐受各种手术风险,随着介入技术及器械的不断发展,经导管介入治疗二尖瓣反流已成为趋势。经导管二尖瓣钳夹术具有创伤小、手术时间短、安全性高等优点,更适合高龄、有开胸手术史、心功能差且合并多脏器功能不全的患者,其安全性及有效性已得到充分的证实。
湖南省人民医院心内科作为国家心血管疾病临床医学研究中心湖南省分中心,不断拓展新技术,竭诚为心血管疾病患者提供“一流的技术”和卓越安全便捷的服务。未来湖南省人民医院心内科将会继续在结构性心脏病领域深耕细作,进一步提高诊疗救治水平,让更多不能或不愿开胸行瓣膜修复或置换的患者重获健康。
湖南医聊特约作者:湖南省人民医院 心内一科 彭希 胡遵 张艳 图/高玉贤 傅庆华
(编辑ZS)









