


近日,九江市骨科医院骨伤七科成功运用经典颈椎前路手术为一名吞咽困难、饮水呛咳的罕见食管型颈椎病患者解决病痛,改善生活质量。

据经管医生王晓飞介绍,患者是一名65岁的男性,10余年前无明显诱因出现吞咽困难、饮水呛咳,还时长存在酸胀感,曾治疗多次未见效果。最近一个月患者病情逐渐加重,仅能进食牛奶、米汤等流质食物,饮水呛咳次数明显增多,还存在无四肢乏力、持物不稳、胸腹部束带感等症状,于是来到九江市骨科医院就诊。

患者术前钡餐试验影像图
入院后,王晓飞让患者进行了颈椎X线、CT、MRI及食道钡餐造影检查,食管钡餐造影可见患者C4/5前缘食管狭窄及钡剂滞留征象。检查 结果出来后,患者被确诊为比较罕见的颈椎病——“食管型颈椎病”。若长此以往可能引起食道瘘引起致命性纵膈感染,严重影响患者的生活甚至生命。

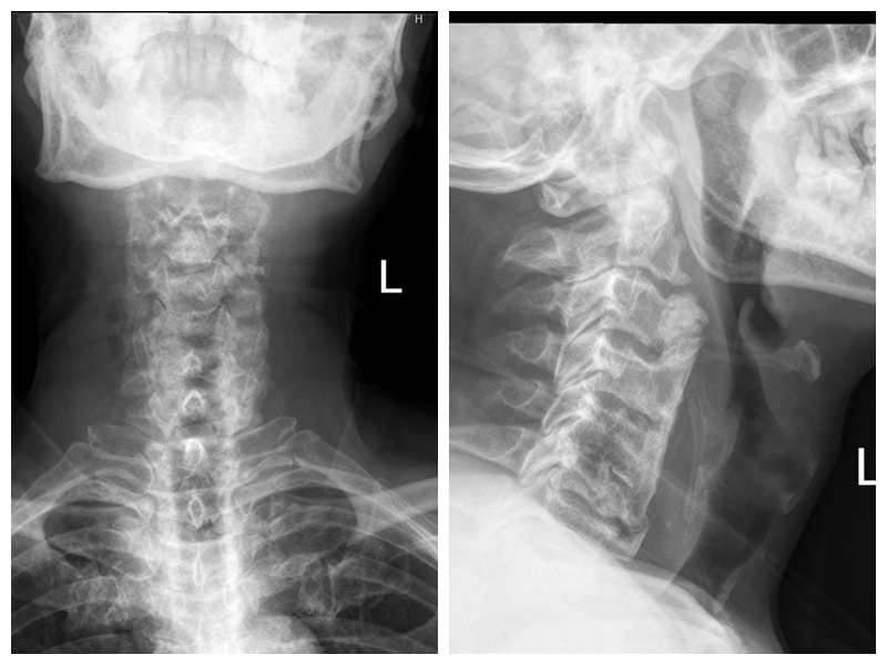
患者术前颈椎影像图

患者术后颈椎影像图
根据患者病情,骨伤七科副主任熊峻带领团队经过术前详细讨论,最终为患者制定出一套最佳手术方案。考虑到患者的主要症状无颈椎脊髓、神经受压症状,经与患者家属充分沟通并取得同意后,团队决定采取经典颈椎前路手术方式,在全麻下行单纯颈椎前路骨赘切除,解除颈椎前方骨赘对食管的压迫。术后患者喝水没有呛咳,进食吞咽困难感明显缓解,患者和家属非常满意术后效果。
小科普
食管型颈椎病(ECS) 是由于颈椎前缘巨大骨赘挤压食道并对食道的蠕动运动造成明显影响,以进行性吞咽困难为临床特征的颈椎病。食管型颈椎病为颈椎病分型中临床少见类型,易误诊、漏诊的罕见疾病。多见于弥漫性特发性骨肥厚症(DISH)、强直性脊柱炎(AS) 患者。
食管型颈椎病导致吞咽困难的病理机制:
①C4-6平面是食管入口的固定位置,由于正常吞咽动作的完成需要喉部的向上提拉动作配合完成,当骨赘位于C4/5、C5/6椎间隙前方时,前突的骨赘可影响喉部的正常上下滑移运动,阻碍吞咽动作完成,使患者产生难以咽下东西的感觉;
②颈前骨赘过大对食管的直接压迫 导致机械性梗阻;
③颈前骨赘对食管的反复摩擦,致食管或食管周围组织炎性改变和水肿;
④反复的炎性反应使周围组织纤维化,导致食管粘连固定;
⑤骨赘对食管或食管周围肌肉刺激,导致食管痉挛;
⑥颈椎退行性变,颈椎活动受限,食管RoM下降;
⑦食管长期受压导致食管神经丛损伤。
科室介绍
九江市骨科医院
国家中医药管理局重点专科、江西省级重点中医专科、九江市市级临床重点专科
医疗特色:在国内较早推广“椎间盘超市”治疗理念,对临床常见的颈肩腰腿痛、股骨头缺血性坏死、骨质疏松症、痛风、风湿、类风湿性关节炎、急慢性骨髓炎、骨结核、各种骨折脱位等疾病,根据中医的辩证论治,运用不同治法及方剂,结合推拿按摩、腰椎牵引、手法复位、理疗、熏蒸疗法、小针刀等,临床有效率达90%以上。能开展颈椎前、后路手术,全髋、全膝关节、全髋关节置换术,脊柱疾病及骨折手术、骨盆骨折切开复位内固定术,各种四肢骨折、手足外伤、断指再植、小儿骨科等各类手术。现已亚专业分科,有创伤、关节、脊柱、手足外伤、小儿、保守等科室。
来源:九江市中医医院