家住邵阳的蒋女士(化姓)今年56岁,因左腿呈外旋畸形,相比右下肢短缩3厘米,走路疼痛,左髋关节完全僵硬,无法伸直、弯曲、旋转等,近日来到湖南省脑科医院(湖南省第二人民医院)骨关节科就诊。柴志勇主任医师接诊了患者,完善相关检查发现蒋女士左侧髋关节已经出现股骨头缺血性坏死、髋关节骨性融合,需要住院手术治疗。

▲查房图片
蒋女士一直在家务农,据其介绍,40年前曾因一次外伤致左侧髋部疼痛,当时未引起重视,后疼痛加重、活动越来越不方便。渐渐发展至一瘸一拐,左腿无法下蹲,上厕所、走路时剧烈疼痛。腿部的问题给她生活带来了极大不便,害怕上厕所,干活、捡拾物品时只能跪在地上勉强完成。入院后患者及家属希望尽快手术。
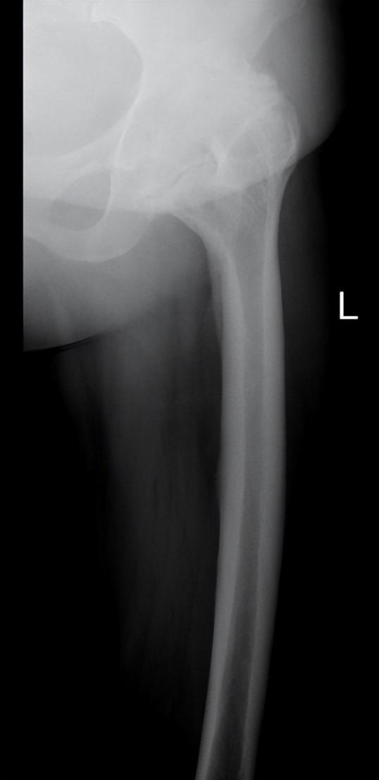
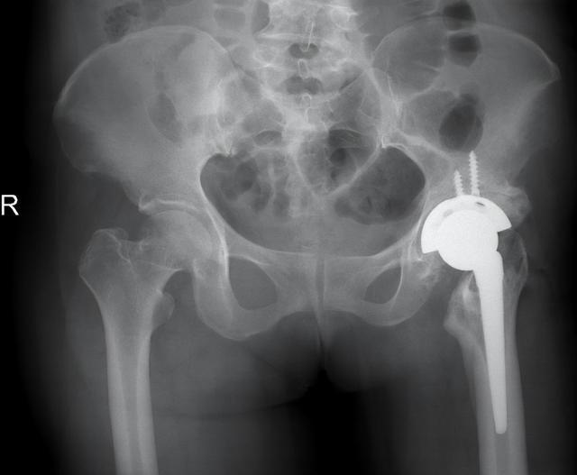
▲患者术前术后影像资料
蒋女士还合并有高血压、糖尿病等多种基础疾病,血压最高达186/92mmHg。经多学科联合诊治,患者血压、血糖等调至正常范围。湖南省脑科医院(湖南省第二人民医院)骨关节科主任李宝军博士率领手术团队为患者制定了周密的手术方案,并成功实施髋关节置换手术。患者术后第一日即能下地行走,髋关节屈伸、旋转活动明显改善,患者及家属对治疗效果非常满意。
▲术后第一天患者下床行走
患者髋关节为什么会融合直至消失?
据湖南省脑科医院(湖南省第二人民医院)骨关节科主任李宝军博士介绍,创伤性关节炎又称外伤性关节炎,是由创伤引起的一种疾病,任何年龄均可发病。
患者十多岁时左侧髋部受过一次伤未引起重视。由于没有经过及时和正规的治疗,患者髋关节外伤引起的创伤性关节炎致关节软骨退化变性和继发软骨增生、骨化,髋臼大量骨赘增生导致髋关节无法活动,慢慢的股骨头和髋臼的骨头长到一起,最终形成两者的骨性融合,使髋关节失去了原有的功能,平时活动只能靠腰椎,膝关节来代偿勉强完成日常的活动和劳作。
关节部位受到创伤后该如何处理呢?
湖南省脑科医院(湖南省第二人民医院)骨关节科主任李宝军博士提醒,人体的关节有连接、运动及缓冲的作用。关节受到创伤后,可能会影响肢体的活动,引起局部疼痛、肿胀等,蒋女士外伤后左髋部有疼痛等症状一直未引起重视,最终发展至髋关节骨性融合,故受伤后如出现上述不适症状应及时就医,配合医生进行早期干预。
▲护理团队指导患者功能锻炼
根据关节损伤的程度和部位不同,关节损伤的处理方法可以采取一般疗法、物理疗法、药物疗法以及手术疗法进行治疗。
一般疗法包括采用支具、石膏等进行适当的固定制动,避免下地行走负重以及剧烈的活动等。物理疗法包括采用冰敷、红外线照射、超声波等方法进行治疗;同时可以配合消炎镇痛、脱水消肿等药物治疗。对于一些关节损伤较重,保守治疗无效,严重影响关节功能的情况,可以进行微创关节镜清理术、截骨术、人工关节置换术等手术治疗。
目前该科室已经广泛开展的微创关节镜手术可明确诊断各种关节疾病,还可以镜下清理关节腔、去除病变组织,有利于各种关节疾病的早期诊断和治疗。蒋女士通过髋人工关节置换手术恢复了髋关节原有的功能,提高了患者生活质量,是终末期关节疾病的首选治疗方案。
湖南医聊特约作者:湖南省脑科医院(湖南省第二人民医院) 戴进军 唐英
(编辑YH)






