“医生,我胸口疼!快给我做个心脏彩超!”
“心电图这么便宜,能查出什么问题吗?我听说心脏彩超收费贵,可以看得更清楚。”
“心电图和心脏彩超不是一回事吗?怎么给我重复开检查?”
在超声科工作,经常能听到类似的患者疑问。心脏彩超和心电图,分别是什么检查?只能二选一吗?湖南光琇医院超声科为大家进行解惑。

我们把心脏比喻成一间两室两厅的“房子”:左心房、右心房、左心室、右心室。每个房间都配备了门窗“瓣膜”、墙壁(心肌)、电路(心脏电信号)、水管(血管)四套系统。“房子”如果出现的毛病,大部分和以上四个系统有关系。
心脏彩超和心电图都可以用来诊断“房子”的问题,但发挥的作用既有不同又有相同。
例如,心脏彩超主要检查房子(心房/室)是否增大,墙壁(房/室壁)是否增厚,墙壁是否出现孔洞(房/室缺),门窗(房室瓣、半月瓣)是否关闭良好,以及房子的稳固情况(心功能)等。
心脏彩超下的右心房扩大
右心室扩大
房缺
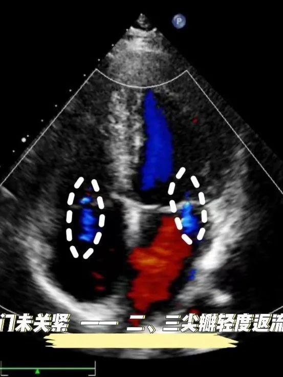
二、三尖瓣轻度返流
心电图分为常规心电图、24小时动态心电图和运动平板心电图,主要用来检测“房子”电路总开关(窦房结)及电路(房室传导通路)故障,如各种心律失常。
当然,心电图也能和心脏彩超检测出相同的问题,比如心脏扩大、心肌缺血等,
与后者起到相辅相成的作用。








