随着社会的发展,人们的生活习惯和工作环境也不断变化,腰腿疼痛似乎越来越常见。其实,除了急性腰扭伤、慢性腰肌劳损、腰椎间盘突出症等疾病,还有很多病都可能导致腰痛,椎管内硬膜外脂肪增多症就是其中较为少见的一种。
湖南长沙48岁的唐先生身高178厘米、体重96公斤,是一位“重量级”人士。近三年来,他饱受腰痛困扰,看了好些医院都考虑为腰椎间盘突出,接受对症治疗后效果不佳。近两个月,双下肢麻木及小腿胀痛的症状也变得明显,严重影响生活质量,于2023年10月25日来到湖南省人民医院岳麓山院区骨科七病区盛斌主任医师处就诊,随即被收治入院。
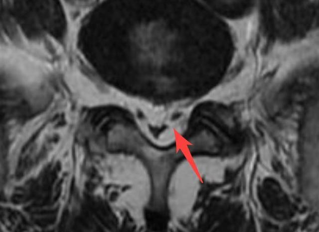
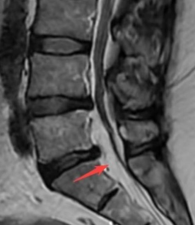
入院后的CT结果显示“椎间盘略有膨出”,这一结果难以解释他如此明显的不适症状。于是,在盛斌主任的建议下做了腰椎核磁共振,结果仍然显示:腰椎间盘轻微膨出,神经压迫不明显。为了找到导致患者症状如此严重的根源,盛斌主任反复仔细查阅影像资料后发现,其腰椎管内有异常增生的脂肪信号,初步判断为少见的“椎管内硬膜外脂肪增多症”。

▲术前MRI显示:椎管内有异常增多的脂肪信号
“该病发病率仅为2.5%~25%,好发于肥胖人群,男性更为多见。”盛斌主任解释,正常人的椎管内都含有少量的脂肪组织,如果脂肪含量异常增多,对脊髓和神经产生明显压迫,就会出现相应的神经压迫症状。当脂肪增多位于脊髓胸段水平时,最常见的症状为进行性背痛;当发生于脊髓腰骶段水平时,可出现髋部、下肢缓慢进行性无力,多发神经根病,麻木、感觉异常,间歇性跛行,大小便失禁,共济失调等症状。
考虑到唐先生病程长、症状重、保守治疗效果差,盛斌主任带领脊柱脊髓损伤专科团队多次讨论后,制定了个体化的手术和康复方案,并于2023年10月27日为其施行腰椎后路椎管扩大减压植骨融合内固定手术。术中,先对L4-5/L5-S1椎板进行切除减压、清除脂肪病灶组织;然后在保证不损伤脊髓和神经的前提下,在显微镜辅助下一点点将压迫的脂肪组织彻底去除,从而直接解除神经压迫,改善症状。
▲术中摘除的椎管内异常增多的脂肪组织
术后,唐先生腰背部疼痛及双下肢麻木的症状明显缓解,术后第10天开始佩戴支具下床锻炼,伤口愈合后,于11月9日顺利出院。
▲术后复查显示:内固定位置良好
盛斌主任表示,随着肥胖人群的增多,临床上患椎管内硬膜外脂肪增多症的人也越来越多见;此外,长期服用激素或患有库欣综合征的人,也容易罹患此病。但由于国内外相关文献报道较少,部分临床医生对该病认识不足,容易与腰椎间盘突出、腰椎管狭窄等疾病混淆,造成漏诊、误诊。因此,加强医务人员对此病的甄别,以及群众对疾病的认识和预防都十分必要。
▲患者及家属向湖南省人民医院骨科七病区团队赠送锦旗表示感谢







