“这是西瓜,这是苹果。”3月29日,在湖南省第二人民医院(湖南省脑科医院)神经外科,突然部分“失语”的谢阿姨(化名)已经能快速准确说出物体的名字。而帮助她揪出罪魁祸首的竟然是一场惊心动魄的“唤醒”手术。

来自邵阳的谢阿姨平日里口齿伶俐,可一个月前,她突然发现自己叫不出一些物件的名称,比如一些常见的水果明明心里知道叫什么、该怎么吃,可就是说不出水果的名字,这导致她很多事情只能通过纸笔和别人交流,真是“有苦难言”,极大影响了她的生活质量。
家人带其在当地医院就诊,检查发现,脑袋里长了一个肿瘤!这可把谢阿姨一家人给吓坏了,马不停蹄赶到湖南省第二人民医院(湖南省脑科医院)寻求进一步救治。
3月25日,湖南省第二人民医院(湖南省脑科医院)神经外科三病区匡卫平主任团队接待了谢阿姨,接诊医生陈小峰主任医师在对谢阿姨的病情详细了解并进行了系统的检查后,确认了她脑袋里的肿瘤就是罪魁祸首,并安排了住院治疗。
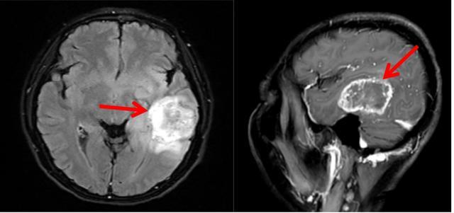
收住院后,匡卫平主任团队对其进行了更细致的头部磁共振检查,确认了肿瘤位于左侧“颞叶”。
匡卫平主任团队对谢阿姨的病情进行了初步的讨论,认为肿瘤位于大脑的“颞叶”,即人脑的语言中枢,这也就解释为什么她明明能听、能看、能说,但就是无法准确描述生活中常见物品的名称及作用,医学上称这种症状为“命名性失语”。
一般来说,神经外科对于脑肿瘤的处理是“最大程度切除”,但是此病例非常的特殊,那就是肿瘤切除程度和神经功能保留之间的矛盾:即如何最大程度的切除肿瘤,同时最大程度保护患者的脑功能,保证患者术后的生活质量。
若患者脑肿瘤切除后肢体活动不好、语言功能丧失,不仅对家庭、社会造成很大的负担,而且对患者本人也会产生巨大的心理压力,不利于患者建议战胜疾病的勇气和信心。
为此匡卫平主任团队组织了多次科内讨论,并与麻醉科、手术室、电生理团队进行了多学科会诊,最终制定了在“神经电生理监测”的辅助下进行肿瘤切除,并在手术中将麻醉状态的患者“唤醒”的手术方案。
在确认了手术方案并取得了患者及家属的同意后,匡卫平主任团队迅速完善术前准备。3月26日,谢阿姨入院后第二天,各岗位医护人员打起十二分的精神,全力以赴开展手术。
匡卫平主任手术团队精细操作,在神经显微镜和神经电生理监测辅助下,按照手术计划一步步切除肿瘤。
麻醉科、手术室积极配合配合手术进程,按计划在术中将患者成功唤醒,维持患者生命体征,并进行神经功能测试。
神经电生理团队不间断地监测患者脑神经波动,为手术的顺利进行指明方向,助手术医生避开“雷区”。
最终,各部门医护人员的精诚合作,谢阿姨的手术顺利完成,肿瘤得以被切除。术后谢阿姨顺利从麻醉中苏醒,四肢活动自如,语言功能无损伤。
“术中唤醒”知多少?
湖南省第二人民医院(湖南省脑科医院)神经外科三病区的匡卫平主任、陈小峰主任介绍:神经外科在唤醒麻醉下切除脑功能区肿瘤成功的关键是,术中对重要功能结构的监测与保护,其对减少永久性神经功能损伤,提高病人术后生活质量十分重要,目前仍是神经外科领域讨论的热点和难点问题;对于接受此类治疗的患者,有以下几点注意事项:
1、术前宣教
由手术医生、麻醉医生和神经心理医生详细向病人及家属交待唤醒手术的相关事宜。通常有:
(1)、唤醒手术的流程。
(2)、术中唤醒下功能监测技术对脑功能区定位及保护的重要性。
(3)、手术及麻醉的潜在风险和并发症。
(4)、手术中可能存在的不适感,如口干、憋尿、寒颤、头部不适。
(5)、根据术中需要完成的任务给予病人指导和术前模拟练习。
2、术中操作
对手术医生的操作水平及解剖知识有着极高要求,在保留重要功能结构的前提下,同时注意保护正常动脉及脑表面重要引流血管,选择适当的手术入路以实现最大限度切除病变。
3、术后随访
由于术后脑组织水肿、皮质表面静脉引流不畅等原因,部分病人可在术后几天内出现不同程度的暂时性神经功能障碍。对于存在神经功能障碍的病人可进行积极的功能康复和心理辅导,一般多可在1-3周内恢复。
湖南省第二人民医院(湖南省脑科医院)神经外科三病区(功能神经外科)、麻醉科、手术团队、神经电生理团队对脑肿瘤切除的“术中唤醒”技术有着丰富的经验,自2017年以来已多次开展此项高难度技术,且均取得良好的效果,对脑肿瘤手术中的神经功能保护、提升患者术后生活质量等方面有着丰富且成熟的经验。
湖南医聊特约作者:湖南省第二人民医院(湖南省脑科医院)神经外科三病区 凌敏
(编辑YT)








