女子肺部布满“肥皂泡”,不仅呼吸受影响,还反复发作气胸,4个月内住院4次,原来是患上了发病率只有百万分之一的罕见病。经湖南省人民医院胸外一病区专家团队施行3D胸腔镜微创手术后,女子重获自由呼吸,于4月10日康复出院。
江苏常州40岁的徐女士(化名)在2023年7月体检时发现右侧胸腔少量气胸,在当地医院住院治疗后好转出院。但接下来的几个月里,病情出现反复,同年8月、9月、10月,她因为右侧胸腔气胸又住了三次院,每次进行胸腔闭式引流治疗后好转出院,出院不久又复发。
为了查明反复发生气胸的原因,徐女士先后前往北京、上海等地的大医院就诊,最终确诊为“肺淋巴管腺肌瘤病”。这是一种极为罕见的多系统肿瘤性疾病,好发于育龄期妇女,发病率约为1/100万-18/100万。如不及时治疗,会引起呼吸困难,甚至因呼吸衰竭危及生命。
2024年4月初,徐女士再次出现右侧气胸,慕名来到湖南省人民医院胸外科张志功副主任医师处就诊,并于4月3日入住胸外一病区。张志功副主任医师团队仔细评估病情,并与徐女士及家属详细沟通治疗方案后,决定为其施行胸腔镜微创手术,但患者拒绝术中采用胸膜固定。

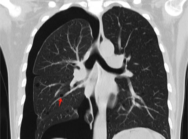
(▲术前胸部CT显示:右侧气胸,双肺囊泡样改变就像一个个大小不一的”肥皂泡“(如箭头所示))
为有效降低术后气胸复发几率,手术团队决定使用医用材料奈维来覆盖肺表面,从而加固组织并减少漏气,减少术后气胸复发。
4月7日,在湖南省人民医院麻醉科刘际童主任团队的紧密协作下,张志功副主任医师团队为患者施行3D胸腔镜下肺修补术。
(▲湖南省人民医院胸外一病区张志功副主任医师团队为患者实施手术)
术中,先通过胸腔内注水和膨胀肺的方式,确定肺漏气的部分;然后用可吸收缝线修补漏气处;最后,用奈维全方位包裹整个右肺,减少手术后气胸的发生。
(▲术后胸部X线显示:右侧气胸已治愈)
手术历时约1小时顺利结束,术后第2天患者拔除胸腔引流管,第3天康复出院。
(▲湖南省人民医院胸外科主任佘科霖教授等查看患者术后恢复情况)
“肺淋巴管腺肌瘤病是一种罕见病,病变导致双肺呈囊泡样改变,肺表面任何一处囊泡破裂,都可导致气胸的发生。”张志功副主任医师表示,肺淋巴管腺肌瘤病患者第一次出现气胸的时候就建议采用胸膜固定,以减少后续气胸复发几率。但部分患者担心胸膜固定后会影响后续肺移植手术而拒绝。
张志功副主任医师指出,肺淋巴管腺肌瘤病患者常见症状有反复发作的气胸、持续咳嗽、乳糜胸、胸痛、呼吸困难、呼吸衰竭等。
目前,该病尚无特效治疗方法,若患者肺功能严重受损,经药物和一般外科手术治疗无效,且日常活动严重受限时,应考虑肺移植。
湖南医聊特约作者:湖南省人民医院 梁辉 梅理祥 易磊
(编辑YT)





