66岁的彭先生(化名)前不久突然出现左下肢肿胀、疼痛,行走时疼痛加重,以为休息几天就会好转,并未引起任何重视。直至症状加重难以忍受,才在家人的陪伴下来到益阳市第三人民医院寻求诊治。
接诊时医师发现彭先生的左下肢全程肿胀(重度),上达大腿根部,下至足背。行下肢静脉彩超及胸腹部增强CT检查,明确诊断为急性肺栓塞、左下肢深静脉血栓形成(急性 混合型)、下腔静脉血栓形成。

(▲术前彭先生左下肢肿胀情况)
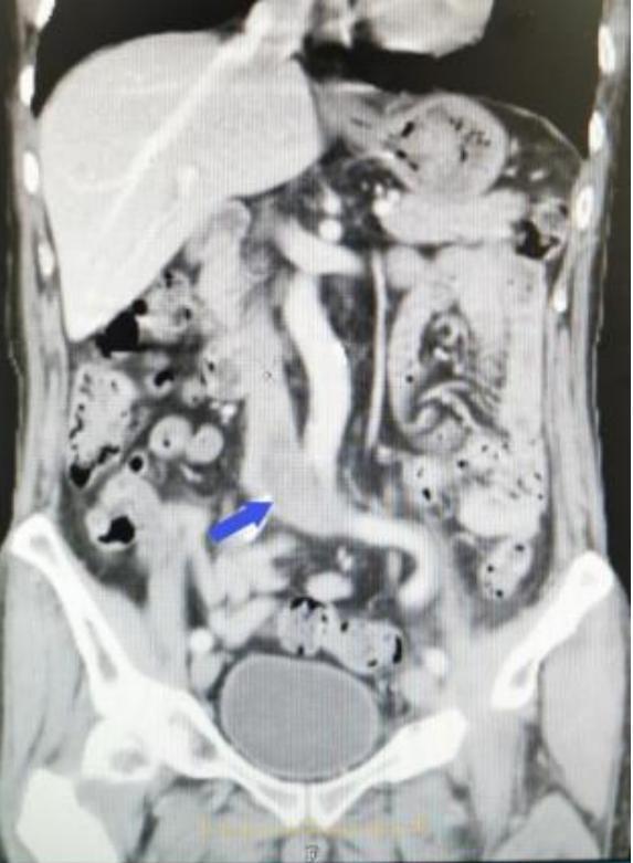
(▲术前彭先生CT影像资料,蓝色箭头所指为下腔静脉内血栓)
情况危急!血栓已经扩散到下腔静脉内,下腔静脉内的血栓也随时有可能脱落跑到肺内加重肺栓塞,甚至导致猝死的可能。急诊手术指征明确。
血管外科团队迅速行动,经与患者家属进行深入沟通后,益阳市第三人民医院血管外科何全斌副主任医师带领团队为彭先生实施下腔静脉滤器置入+肺动脉造影溶栓+下肢静脉造影+置管溶栓术。手术顺利,危机解除!
置管溶栓72小时,彭先生左下肢水肿消退,复查造影结果提示血栓消失,血流恢复通畅,现已康复出院。
(▲术后彭先生左下肢恢复情况)
那么,究竟是何原因导致彭先生出现这种紧急情况呢?此时,就不得不把目光投向VTE,即静脉血栓栓塞症。
静脉血栓栓塞症是下肢深静脉血栓和肺栓塞的统称,是同种疾病在不同阶段的表现形式,深静脉血栓的严重后果就是脱落引起肺动脉栓塞,导致猝死,被称为“沉默的杀手”。是继缺血性心脏病和脑卒中之后,位列全球排名第三的血管杀手。
血栓是流动在身体里的血液,因为种种原因凝成了血块儿,它像塞子一样堵塞血管通道,导致相关脏器没有血液供应。而彭先生出现这种情况的原因,就是因为血栓堵住了下肢静脉回流的道路。
下肢深静脉血栓的形成,一方面和久坐久卧有很大关系;另一方面,年龄较大、外科手术后、妊娠期、髂静脉压迫、肥胖等都是高危因素。其最常见的表现就是下肢肿胀。
遗憾的是很多人认为脚肿没什么,泡泡脚按按摩就好了,正是这些错误的做法会加快血栓的脱落,脱落的血栓跑到肺动脉里导致肺栓塞,危及生命。
让人“闻风丧胆”的血栓虽目前临床上有较为理想的治疗方案——微创介入手术,它具有简便、安全、损伤小、恢复快、效果好、并发症少的优点,但是保持身心健康依旧是预防先行,建议大家做好以下几点预防血栓:
1、饮食宜清淡,不要太过油腻;充足饮水,多食新鲜蔬菜水果,保持大便通畅;戒烟限酒,维持健康体重。
2、避免长时间着紧身衣服,特别是紧身袜和裤子,尽量选择宽松舒适的衣服。
3、避免久坐久站及长时间交叉腿,可适当增加运动和锻炼。
4、长期卧床或术后活动少的人员可以在床上翻身、按摩活动腿部以促进血液流动;有条件的人员可以穿弹力袜、做气压治疗,促进下肢静脉血液回流。
5、血液处于高凝状态的人群,应在医生的指导下,预防性应用抗凝药物。
6、对于家里有得血栓的高危人群来说,每年做一次血管的超声检查也是必不可少的。
益阳市第三人民医院血管外科何全斌副主任提醒:如发现下肢肿胀、行走疼痛等症状,请及时到医院就诊,以免血栓脱落,导致猝死。
湖南医聊特约作者:益阳市第三人民医院 何全斌
(编辑YT)





