#株洲头条##湖南省直中医医院#
您知道上腹部都有哪些重要器官吗?它们就像是身体里的“内脏宇宙”,对我们的生活影响巨大。“肝脏”就是这个“宇宙”的老大哥,我国是肝病大国,慢性肝病患者人数众多,病毒性肝炎中患者约占人口总数10%,其中乙肝病人基数最大,传播最广泛。
慢性乙肝长期发展可导致肝硬化,甚至肝癌。一些乙肝患者不重视病情的发展,等到发现肝癌时往往是晚期,失去了有效治疗的机会。
而在超声上没发现肿瘤时,或者超声上难以判断及难以确定肿瘤数目时,需要进一步的 “利器”去解决我们的问题。这个“利器”就是我们着重介绍的上腹部磁共振(MRI),是目前诊断肝癌最可靠的影像检查技术之一。
什么是上腹部磁共振检查?
通过平扫和(或)增强磁共振扫描腹部,影像诊断医生根据扫描图像,对肝脏、胆囊、胆管、胰腺、脾脏、肾脏,及胃部、肠腔等病变,进行定位、定性分析,从而得出病变大致的诊断结果。
相对于超声和CT而言,上腹部MR具有无创,无辐射,多方位多参数,多序列成像的优点,组织分辨率高,比超声和CT提供更多信息;可以大幅度提高肝、胆、胰腺等重要脏器早期肿瘤及非肿瘤性病变的检出率。

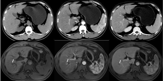
(▲腹部增强MRI上T2WI和DWI序列提供诊断肝癌更多的图像信息)
(▲腹部增强MRI清楚显示肝癌的影像特征,但增强CT对病灶显示不清)
随着生活质量的提升和日益加重的工作压力,酗酒、肥胖、暴饮暴食、生活不规律、滥用药物等不良习惯,很多人都有在体检中都被告知有脂肪肝的经历。脂肪肝是一种常见的肝脏病理性改变,是由于各种原因导致的肝细胞内脂肪堆积过多。
据统计全球成年人脂肪肝患者高达20%-30%,在肥胖人群中高达60%-90%,脂肪肝人群趋于年轻化。
上腹部磁共振能对肝脏内脂肪程度进行定量分析,精准量化,客观认识自身健康,提高健康意识,还能根据脂肪肝分级标准:轻(5%-10%)中(10%-25%)重(>25%)度脂肪肝作为脂肪肝含量参考,结合临床症状及实验室检查,确定治疗方案,适用于消化内科、内分泌科、中医科等,与脂肪肝发病率高的相关科室。
对于怀疑有胆系梗阻(结石、肿瘤、炎症)的患者,医生想通过MRCP证实有无梗阻、梗阻的水平(肝内、肝外、高位及低位)及程度。
外科医生更想了解胆管狭窄长度、近端胆管情况,有无胆囊管解剖发育变异等,对制定手术方案、避免术中胆管损伤有很大帮助。内科医生试图通过MRCP找到内科性黄疸的原因,如原发或IgG4相关硬化性胆管炎、化脓性胆管炎等。
(▲MRCP成像只是显示病变造成的管腔改变,对引起管腔改变的周围组织病变的定性诊断还是要靠常规MRI检查)
湖南省直中医医院专家表示,上腹部磁共振检查就像是守护我们“内脏宇宙”的超级武器,既安全又有效。通过它,我们可以及时了解身体的状况,发现潜在的问题。所以,定期做上腹部磁共振检查是守护健康的有效途径。
湖南医聊特约作者:湖南省直中医医院 医学影像科 彭博涵
关注@湖南医聊,获取更多健康科普资讯!
(编辑YT)







