两个月前刘女士(化名)体检发现有卵巢囊肿,今日来湖南省直中医医院复查,超声医生告诉她囊肿消失了,刘女士不可思议的问医生:“我没有吃药也没打针,囊肿就这样消失了吗?”超声医生告诉她这种是生理性囊肿,的确是会自己消失的。很多育龄期女性在超声检查时偶然发现卵巢囊肿,月经干净后复查又消失了,这是为什么呢?
一、什么是生理性囊肿?
所谓生理性囊肿,顾名思义就是在月经周期的生理过程中发现的卵巢囊肿。主要为滤泡囊肿、卵泡囊肿和黄体囊肿,是育龄期妇女最常见的卵巢囊肿。
它们是由于卵泡发育和排卵后黄体吸收过程中形成的。这种卵巢囊肿直径大多小于5厘米,一般情况下可以自然吸收,无需进一步处理。
1、滤泡囊肿
我们知道月经来潮是由于卵巢中有一波卵泡发育,而最终只有优势卵泡排卵,其余的卵泡会在不同发育阶段走向凋亡,当卵泡和其内的卵母细胞发生凋亡,而卵泡液还未被吸收,就可以引起滤泡囊肿,当卵泡液吸收完全,囊肿即可消失。
2、卵泡囊肿
少部分卵泡长大,但没有如期排出,则形成卵泡囊肿。
3、黄体囊肿
优势卵泡发育至排卵,卵子排出,卵泡塌陷形成黄体,当其内积聚较多的液体或者卵泡壁破裂引起较多出血滞留于黄体囊腔内,就可以形成黄体囊肿。
二、生理性卵巢囊肿超声表现是什么?
1、滤泡囊肿及卵泡囊肿:
①子宫一侧可见单纯性、无回声囊肿,内壁光滑,一般<2.0cm,最大可达10.0cm,动态观察囊肿变小或消失。
②包膜完整,壁薄,呈类圆形,伴后方回声增强。
③囊肿周边有时可见正常卵巢组织。
④囊肿周边可测到血流信号。
⑤一般经过1-3个月经周期后,最长者数月后囊肿自然消失。

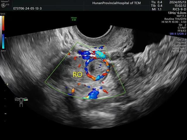
2、黄体囊肿:
①多样性:大多数可归纳为囊性、囊实性、实性3种类型。
② 多变性:同一黄体囊肿在不同的时期其超声表现有很大的变化。
③ 黄体囊肿为功能性囊肿,除非破裂否则无手术指征。
④CDFI:部分囊肿的周边可见典型的环状或半环状血流,黄体血流一般在排卵后1-2天出现,一周左右达高峰,频谱显示为低阻血流。
三、超声提示有卵巢囊肿怎么办?
如果检查发现卵巢囊肿,没有明显不适,不要过于紧张,毕竟生理性的卵巢囊肿并不少见。生理性囊肿多与月经周期密切相关,一般观察1-3个月,可自行缩小、消失,无需药物或者手术治疗。若观察后不消失,或者怀疑病理性囊肿,就要听从专科医生的指导了。
小贴士:
虽然卵巢生理性囊肿无需特殊治疗,但也要警惕并发症的发生。常见的并发症为卵巢囊肿蒂扭转和黄体囊肿破裂。如遇急性腹痛需立即来院检查哦!
湖南医聊特约作者:湖南省直中医医院 超声医学科 黄亚芳
(编辑YT)



