#湖南省第二人民医院##长沙头条#
患者刘女士的同事近日因一侧后牙反复食物嵌塞,导致牙龈反复肿胀在湖南省第二人民医院(湖南省脑科医院)口腔科就诊后诊断为“右下智齿近中水平阻生”,接受了右下智齿微创拔牙术。
刘女士自觉曾有与该同事类似症状,故来到湖南省第二人民医院(湖南省脑科医院)口腔科就诊并要求拔牙。但是,所有的“智齿”都必须拔除吗?
今天湖南省第二人民医院(湖南省脑科医院)口腔科专家从以下七个方面和大家一起来聊聊关于“智齿”的那些事!
一、智齿的来由
智齿是指人类口腔内上下颌牙槽骨上最里面的第三磨牙,由于萌出时间较晚,此时人们的生理、心理发育接近成熟,有“智慧到来”的象征,因此被俗称为“智齿”。
二、智齿的特性
“智齿”因人而异,一般在16岁-35岁之间萌出,有人40岁、50岁才萌出或者终生不长,这都是属于正常现象。它不是必然长出,数量一般在1-4颗之间,且有些智齿萌出一半就不再萌出,这就是医生经常提到的“阻生齿”。
三、“智齿”的危害
1、因“智齿”是最后萌出的牙齿,常因空间不足出现无法完全萌出的现象导致牙列不齐,不易清洁,容易“蛀牙”;
2、常因萌出不全或没有对牙合牙而影响咬合关系;
3、常常因无法完全萌出,牙冠的一部分被牙龈包绕,形成盲袋,食物残渣易进难出,导致牙龈红肿、盲袋溢脓,患者会有疼痛、开口困难,甚至出现发热等全身症状,这就叫“智齿冠周炎”,且容易反复发作,严重时会导致颌面部多间隙感染;

(▲智齿冠周炎)
四、“智齿”一定需要拔除吗?
智齿是否需要拔掉,首先需到专业的口腔科进行口腔检查并配合医生完成口腔X线片的检查,根据智齿的生长方向以及与周围组织的位置关系来决定。
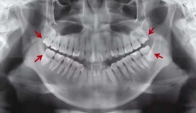
1. 如果智齿垂直向完全萌出,且与前面牙齿邻接关系良好,对牙合的智齿也已经萌出,上下颌的咬合关系比较正常,牙周组织健康,一般不用拔掉。
(▲上下颌智齿正位萌出)
2.如果智齿没有完全萌出,牙龈覆盖较多,导致患者经常红肿化脓,则需要拔掉。
3.如果智齿倾斜,牙冠直接抵到前面牙齿的牙根或牙颈部部位,也需要拔掉。
如果不拔掉会产生食物残渣的积聚,不易清洁导致冠周炎,引起相邻牙齿的龋坏,形成比较深的龋洞,造成牙髓炎、牙体组织的缺损。
4、当有正畸需求时,正位萌出且与对牙合牙咬合关系正常时,有时也需要拔除。
五、“智齿”拔除前的注意事项
在拔牙前,医生会全面评估患者的全身情况,如:女性患者月经期不能接受拔牙;全身有基础疾病未得到有效控制的(如高血压、糖尿病、心脑血管疾病、免疫系统疾病、服用特殊药物、肿瘤患者接受过头面部放疗后等),也不能接受拔牙。
六、“智齿”拔除的手术方式
目前、湖南省第二人民医院口腔科为患者提供两种智齿拔除的手术方式:
1、在局麻下利用仰角高速手机分牙,尽可能的避免大翻瓣,大量去骨等操作,配合专业的微创拔牙器械,将牙齿分成几块后从牙槽骨内取出,术后疼痛、肿胀、出血反应较小,恢复较快。
2、针对手术难度高;患者存在恐惧心理、对疼痛敏感度高;患者无自主行为能力、配合度低的可以采取多学科联合诊治在全麻下进行微创拔牙术。
七、“智齿”拔除术后的注意事项
1、咬住压在伤口上的棉球约30-45分钟后自行吐掉;
2、24-48小时内口水中带有少量血丝属正常现象,出血严重时请及时复诊;
3、拔牙后24小时内禁止刷牙、漱口;防止血凝块脱落,减少干槽症的发生;
4、拔牙当日进温凉或冰的食物和水,勿用患侧咀嚼,勿吃刺激性食物;
5、戒烟酒,避免剧烈运动;
6、如有缝针,请于拔牙后7-10天复诊拆线。
湖南省第二人民医院(湖南省脑科医院)口腔科温馨提示:
1、坚持早晚刷牙,饭后漱口,正确使用牙线、冲牙器等;
2、少吃高糖食物及过热刺激性食物,戒烟酒,不嚼槟榔;
3、定期到专业的口腔科进行口腔检查做到早预防、早发现、早治疗是保持口腔健康的正确方式。
湖南医聊特约作者:湖南省第二人民医院(湖南省脑科医院)口腔科 杨娜
关注@湖南医聊,获取更多健康科普资讯!
(编辑ZS。图片来源网络,侵删)



