长沙市第四医院心血管病科是长沙市优势重点学科,是省级湖南省临床重点专科建设项目,开设全天专科、专家、专病门诊,目前有冠心病门诊、房颤门诊、高血压门诊、心衰门诊、胸痛门诊、心脏康复门诊六个专病门诊。今天医聊君为大家介绍的是冠心病门诊:
“冠状动脉粥样硬化性心脏病”简称“冠心病”,是由于冠状动脉血管发生动脉粥样硬化病变,引起血管腔狭窄或阻塞,造成心肌缺血、缺氧或坏死而导致的心脏病。
为了帮助更多冠心病患者获得专业、系统的治疗,长沙市第四医院特设了冠心病专病门诊,用专业为患者提供全方位、个性化的诊疗服务。

46岁的文先生近日来到长沙市第四医院冠心病专病门诊就诊。吉绍葵副主任医师接诊后,测血压89/56mmHg。
仔细询问病史得知,文先生平日活动正常,但在就诊前一天出现了胸闷不适的症状,之后感到全身乏力。
源于冠心病专病门诊医生的敏锐性,吉绍葵副主任医师为文先生急查了血生化及心电图,结合检查结果和患者症状,确定了其疾病诊断:急性非ST段抬高型心肌梗死、心源性休克。情况十分危急!
何文华主任医师立即组织团队讨论,征得家属同意后,决定为文先生行急诊冠脉介入手术。
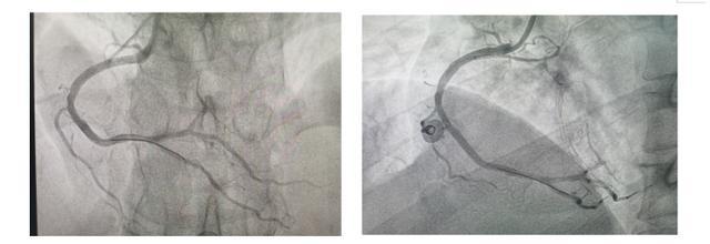
急诊冠脉造影提示前降支近段闭塞,远端见自身桥侧枝供血,回旋支中段闭塞,右冠近段闭塞伴血栓影。
心脏供血的三大血管都闭塞了!文先生的情况危险至极!必须要争分夺秒血运重建开通血管!但患者合并心源性休克,需使用大剂量升压药物维持血压,手术风险极高,如果没有有效的循环支持保障,文先生可能随时循环崩溃而死亡!
何文华主任医师决定启用主动脉球囊反搏(IABP)辅助维持循环,为急诊手术保驾护航。
在介入导管室的配合下,何文华主任医师带领介入团队成功植入IABP,之后针对粗大的右冠脉进行血栓抽吸、冠脉内溶栓、球囊扩张、硝普钠预防无复流、慢血流、植入支架等一系列操作,成功开通了右冠脉并恢复了三级血流。
术后,经过重症医学科和心血管内科四病区的专科治疗,文先生心功能恢复良好,顺利出院。
(▲术前)
(▲术后)
何文华主任医师说,心脏内营养心肌的血管共有三根,分别是前降支动脉、回旋支动脉以及右冠状动脉三根血管。如果三根血管都出现闭塞,不及时打通将有生命危险。
文先生的心梗症状不典型,所幸冠心病专科门诊敏锐识别,专病专治,精准施策,争分夺秒抢回了生命。
湖南医聊特约作者:长沙市第四医院 罗剑 宋黎霞
(编辑ZS 。部分图片来源网络,侵删)




