


免疫性心肌炎

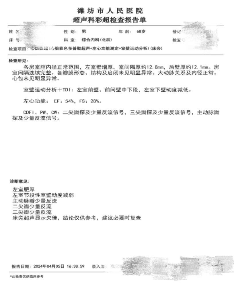
李蒙护士说的吴大爷(化名),今年68岁,因胸痛1天来诊,患者无明显诱因出现胸痛,位于剑突下,呈持续性,于4月2日入我院北辰院区。既往高血压病史,曾因肺腺癌行免疫治疗,颈动脉狭窄。入院心电图和心脏彩超检查结果:


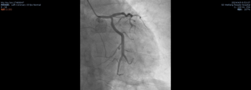
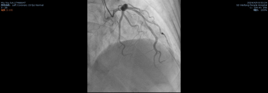
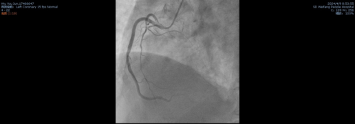
患者的一系列结果与症状都指向急性心肌梗死,立即在北辰院区行冠状动脉造影术,冠脉造影结果:




经药物治疗后患者症状有所缓解,仍间断发作胸闷不适、室性心动过速、多源室性早搏,心电图ST段持续抬高,TNI仍明显升高。
患者到底是什么原因引起了如此严重的心肌炎,面临一系列的难题与疑问,心律失常科所有医生进行了病例讨论,势必找出幕后真凶。

经过科室缜密分析讨论,拨开层层迷雾,终于水落石出:
患者曾因肺部肿瘤应用特殊药物,与肿瘤内科医师交流后,考虑诊断为免疫性心肌炎,建议应用大剂量激素冲击治疗,联合应用免疫球蛋白。

最终,大剂量激素联合免疫球蛋白治疗后,4月14日复查心肌酶示TNI 2292.7 pg/ml,提示药物治疗有效。
目前,吴大爷已康复。
Q:什么是免疫性心肌炎?
A: 免疫性心肌炎是免疫抑制剂的不良反应。
Q:免疫性心肌炎的临床表现?
A: 初期症状:乏力、心悸、气短,表现为端坐呼吸、下肢浮肿、猝死。
典型心肌炎临床综合征:心悸、胸痛、急慢性心力衰竭、心包炎、心包积液,也可能以惰性方式出现,并伴有轻度心功能不全。
Q:免疫系统如何攻击心脏?
A: 人体的免疫细胞以区分自我和非我。但有时也会出现一些问题,如果我们的免疫细胞错把正常的细胞当敌人,就会发起攻击,就是我们所说的自身免疫性疾病,如系统性红斑狼疮、类风湿关节炎,原因就是免疫刹车系统的失灵。
正常细胞也会利用这个免疫刹车系统,来避免免疫细胞的攻击,当患者使用了免疫检查点抑制剂之后,免疫系统也会对正常细胞发起攻击,这就是免疫相关的不良反应,会导致重要器官的免疫性炎症,如免疫性肠炎、免疫性心肌炎、免疫性肾炎、免疫性肌炎等。这里面大多的免疫性炎症,都比较好控制,但免疫性心肌炎除外,致死率接近50%。

供稿 │ 心律失常科 曹亚馨 刘克森