原本只是一场普通的小感冒,数月后却演变成致命“大咯血”。近日,湖南省人民医院胸外科专家团队成功为一名左下肺动脉假性动脉瘤伴咯血患者实施左全肺切除术,挽救了患者生命。
2024年4月,湖南怀化70岁的杨大爷出现咳嗽、咳白痰,在当地医院进行抗感染治疗后没有明显好转。想着就是个普通的小感冒,在家休养一段时间就行了,便没有进一步检查。

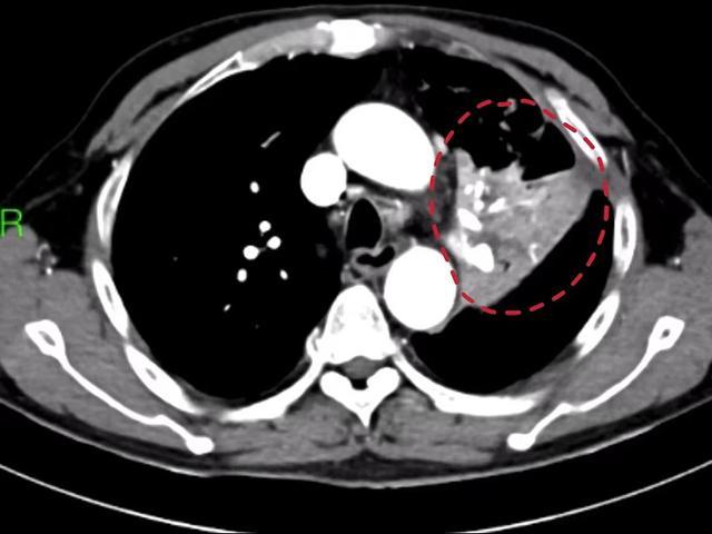
▲术前胸部CT显示患者出现左上肺脓肿(红圈内)
6月17日,杨大爷突然出现大咯血,一次咯血量高达200毫升。到湖南省人民医院检查发现,之前感冒导致的肺炎因为没有得到有效治疗,进一步进展成左上肺脓肿,还合并左下肺动脉假性动脉瘤,从而引发此次致命性大咯血。
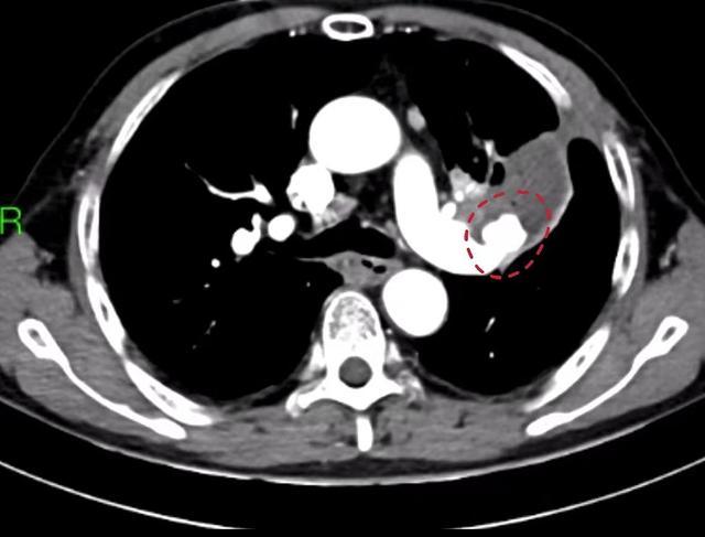
▲术前胸部CT显示患者出现左下肺动脉假性动脉瘤(红圈内)
由于患者病情危急,瘤体随时可能破裂再次发生大咯血。湖南省人民医院胸外科学科主任佘科霖立即组织团队详细评估患者病情,通过反复讨论后决定为患者实施急诊手术。
▲胸外科手术团队为患者实施急诊手术
6月18日晚,佘科霖主任、颜建华副主任医师团队为患者实施手术。术中发现患者左下肺动脉壁结构不清,被囊性组织包裹,存在假性动脉瘤,而且左上肺脓肿范围广,给手术带来极大挑战。经过团队的精准评估和慎重考虑,决定采取左全肺切除术。手术历时3小时顺利完成。术后,患者恢复良好,于6月24日康复出院。
▲患者康复出院
佘科霖主任提醒,肺动脉假性动脉瘤好发于肺内病变空洞内,如结核空洞、肺脓肿空洞、霉菌空洞等。此瘤虽非肿瘤,但如同一颗“定时炸弹”,随时会被咳嗽、血压波动“引爆”,导致大咯血,甚至危及生命。
因此,对于反复发作的肺部炎症,应及时处理。一旦发现肺动脉假性动脉瘤的形成,应立即就医接受专业治疗,以免延误病情。
湖南医聊特约作者:湖南省人民医院 胸外一病区 姜振林 易磊
(编辑YH)





