
“没想到做了手术后感觉这么轻松,真是太感谢你们了!”102岁的陈大爷(化名)受前列腺增生困扰多年,近日,经深圳大学附属华南医院泌尿外科临床首席专家刘春晓教授及其团队为老人进行独创的“经尿道前列腺剜除术”后,陈大爷恢复良好,日前已顺利出院。
前列腺增大明显,挤压尿道导致排尿困难
对于百岁老人来说,102岁的陈大爷身体还算不错,能吃能睡,还能出门遛弯。但最近几年来,尿频尿急的现象时有发生,且有愈演愈烈的趋势,从每晚起夜一两次,到后来的四五次,觉睡不好,白天坐久了也会控制不住地想往厕所跑,到当地医院一检查,发现原来是前列腺“年久失修”了。对于百岁老人来说,如何修复是个难题,因此,当地医院建议:保守治疗。
直到最近两个月,陈大爷排尿困难的症状不断加重,经常出现尿潴留现象,憋得肚子疼,只能弯着腰走路,小便中还带有血丝,家人这才开始慌了。陈大爷多次在当地医院进行导尿治疗,由于要挂着尿袋,严重影响生活质量。家人几经打听,得知国内知名的泌尿外科专家刘春晓教授在深圳大学附属附属华南医院出诊,立刻开车跨越几百公里将陈大爷从粤西地区接来华南医院泌尿外科就诊。
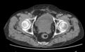
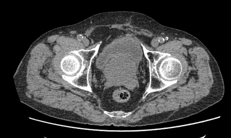
刘春晓教授接诊后,为陈大爷完善盆腔CT血管造影检查,发现他的前列腺体积已达到67×55×58毫米。据了解,正常年轻男性的前列腺大概就板栗大小,从40岁以后前列腺会逐渐增大。由于陈大爷已过百岁,他的前列腺也增大明显,已经达到了鹅蛋的大小,增生的前列腺挤压尿道,导致陈大爷排尿困难,膀胱内残余尿量增多,还有双肾积水等问题,需要尽快进行手术治疗。


“太痛苦了,最开始只是排尿速度变慢、排尿时间长,后来断断续续,总感觉尿不尽,到最后只能以滴来计算尿量,真是活受罪呀!”即便已是百岁老人,但陈大爷仍迫切希望能接受手术治疗,改善生活质量。
微创手术挑战手术“禁区”,减少创伤、缩短手术时间
对于普通患者来说,这个手术也具有一定风险,何况陈大爷还是一位102岁的超高龄老人。他本身患有冠心病,身体的心脏功能、肺脏功能等都在衰竭状态,所以如果要实行这样的手术,风险相当大。但如果不及时治疗,陈大爷的病情会更加加重,可能会导致肾功能损害等严重后果。
为了保证手术安全,刘春晓教授团队决定,采用刘春晓独创设计的“经尿道前列腺剜除术”,利用一条普通的电切镜,通过娴熟的技巧,运镜如指,像剥橘子一样把增生的腺体完全剥离出来,再加以切除,留下完整的橘子皮(前列腺外科包膜)。这项技术不仅显著降低了复发率,还有效减少了术中创伤和出血量,缩短手术时间。

在麻醉手术中心团队的全力配合下,手术过程非常顺利,仅仅1小时40分钟,陈大爷就摆脱了排尿困难的痛苦。术后一周,陈大爷顺利康复,已经可以下地行走了。术后陈大爷顺利抛弃了尿管,可以自主到厕所排尿。
陈大爷高兴地说:“本来以为这么大年纪了,做手术会很危险,没想到那么顺利完成,而且之前一个晚上要起来最少四五次,现在只要起来1次,再也不用插尿管导尿了。感谢华南医院泌尿外科专家和护士团队,让我重新获得了健康!”
深圳大学附属华南医院泌尿外科执行主任侯腾介绍,作为中老年男性的常见病之一,前列腺增生随年龄增长,发病率逐渐增高。流行病学调查显示,男性在45岁以后前列腺可出现不同程度的增生,多在50岁以后出现临床症状。目前中国60岁以上的男性80%患有不同程度的前列腺增生,70岁以上发病率高达90%,80岁以上则100%。随着我国老龄化进程加快,预测到2025年,全国60岁以上的老年人口将达到4亿,粗略计算其中有2亿的男性,其中20%的前列腺增生患者需要手术治疗,人群将超过4000万人。
前列腺增生轻者表现为夜尿增多,稍重者则表现为排尿费力、尿液滴沥、排尿不尽等,再严重一些还可诱发膀胱结石、损害膀胱功能,甚至肾功能。所以,中老年男性出现排尿异常时,应及时到正规医院就诊及评估病情,以免贻误治疗。
(来源:华南深医)