近日,醴陵市中医院心血管病一科黄建国主任带领的介入团队成功开展了又一例经导管主动脉瓣置换术(TAVR)。

77岁的何爷爷间发胸闷2年,加重1天入院。完善心脏彩超、主动脉CTA、冠脉造影等术前检查,诊断“主动脉瓣重度狭窄并关闭不全”,合并有“冠心病”、“高血压病2级 很高危组”、“右肺中叶综合征 支气管扩张并感染”、“中度贫血”。经全院相关科室专家大会诊评估后,建议行经导管主动脉瓣置换术。
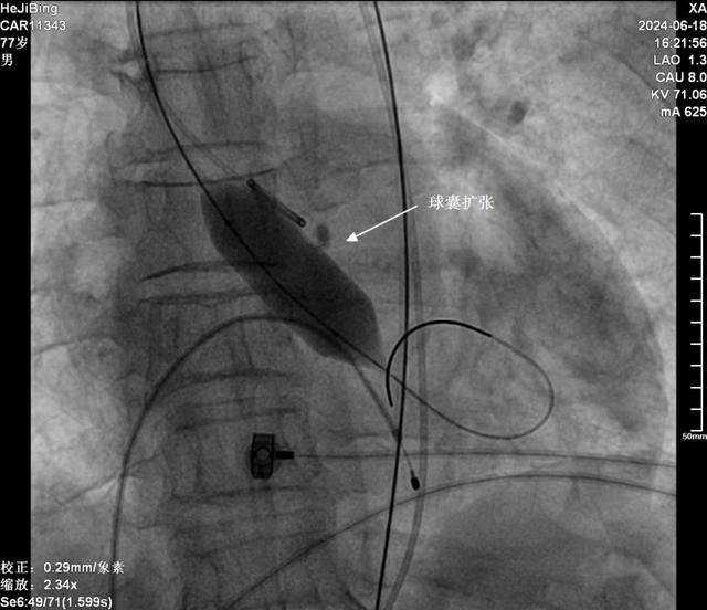
该手术经股动脉穿刺,球囊扩张狭窄的主动脉瓣后,经导管植入主动脉瓣膜支架,相比外科开胸手术,创伤小,感染风险小,恢复快,特别适合高龄、有基础疾病患者,且疗效确切。
主动脉瓣是人体心脏的一扇大门,主动脉瓣狭窄,可致心肌肥厚、射血受阻,出现胸痛、呼吸急促、运动能力下降;狭窄严重时可致心衰、低血压、脑及全身器官组织缺血缺氧,头晕、晕厥,严重情况出现猝死,危及生命。75岁以上老人患病率达2.8%。
主动脉瓣狭窄该如何治疗?
目前主动脉瓣狭窄主要有三种治疗方法:药物治疗、 外科开胸手术瓣膜置换及经导管主动脉瓣置入术。今天主要介绍的是近些年兴起的新的治疗方案——经导管主动脉瓣置换术(TAVR)。
这是一种微创介入导管技术。手术医生将带有人工瓣膜的导管通过血管(通常是腹股沟处的股动脉),推进到主动脉瓣的区域,在处于适当位置时导管缓慢释放,此时人工瓣膜被打开并开始起作用。
与传统开胸置换瓣膜手术相比,TAVR术无需开胸,创口小,手术时间短,术后感染风险更低,康复快,避免了心脏停跳和体外循环(体外循环血液灌注引起的各器官损伤不可避免),且由于TAVR的特点,手术在局部麻醉下即可完成,为无法接受传统开胸手术患者提供了一种新的治疗手段。
该患者在醴陵市中医院行经导管主动脉瓣置换术,恢复顺利,重获“心”生!免除了去省城或更高级别医院的来回奔波,还节省了约10万元的医疗费用。
(编辑YH)




