各位姐妹,湖南光琇医院超声知识小课堂开讲啦!
如果您做过妇科检查,或了解过相关医学知识,应该对“宫腔粘连”已不再陌生,它带来的月经不调、痛经、反复流产不孕……等等问题,困扰着大批女性。
超声检查,是目前临床上常规的子宫内膜评估方式,并且是无创的,将为宫腔粘连的诊断和治疗提供帮助。
一分钟了解“宫腔粘连”
宫腔粘连是指子宫内膜基底层损伤,子宫壁相互粘连,使宫颈管、子宫腔部分或全部闭塞,出现经量减少、闭经或痛经,严重破坏生育功能,引起不孕、流产、胚胎停育及死胎等,严重危害女性生理、生育健康。

▲图为宫腔镜下的宫腔粘连
宫腔粘连的原因和常见症状
常见病因包括诊断性刮宫、选择性人工流产、药物流产不全的清宫术、子宫内膜结核等等。
在我国,人工流产是引起宫腔操作最常见的原因。
如果有姐妹出现月经周期的改变,比如月经血引流不畅、淋漓不尽,月经过少、闭经,继发性痛经;或者反复流产、不孕等,可能就需要及时做个相关检查了。
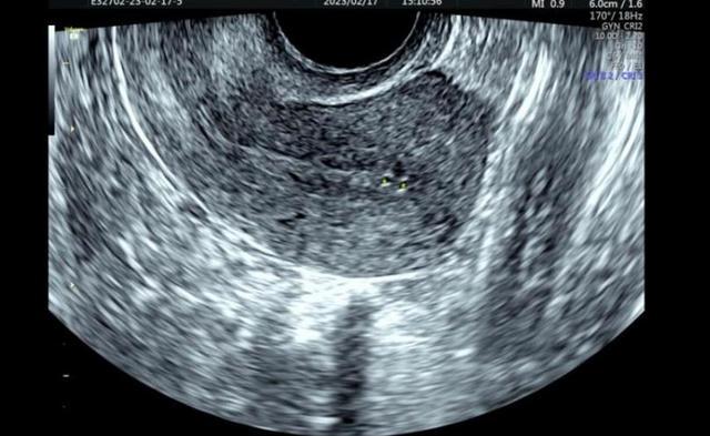
来看看超声下宫腔粘连的表现
二维超声:内膜中上段回声中断,厚薄不均。
二维超声:子宫内膜菲薄,并可见多处少量局限性积液。
以上是二维超声的图像,而三维成像下的宫腔粘连更加直观。
下图是正常宫腔,呈倒置三角形态。
而在下面这张图我们可以看到:宫腔失去了正常倒三角的形态,下段宫腔因为粘连导致缩窄呈窄桶状。
下图宫腔形态正常,但宫腔内有多处片状内膜缺失。
当宫腔形态失常时,我们可以看到中段内聚、缩窄,宫腔内凹凸不平。
下图的左侧宫角处大面积宫腔粘连,仅见右侧宫腔呈一片树叶状。
超声检查是目前常规的无创子宫内膜评估方式。三维超声具有术前评估的优势,为临床提供了较大的指导意义。
女性朋友特别要注意的是,经阴道超声一般在月经周期的分泌期(以月经周期28天为例,检查时间为月经的第16~24天)进行检查。
宫腔粘连能治好吗?
宫腔粘连是可以治好的。一般情况下对于宫腔粘连程度不同可以采用药物、物理治疗、宫腔镜手术、干细胞等治疗方法。
预防宫腔粘连的方法
湖南光琇医院超声科提醒姐妹们:性行为时一定要做好安全措施,避免意外怀孕,减少刮宫。此外还要注意卫生,经期避免性生活,减少生殖系感染。
宫腔镜术后预防再次粘连的措施也是至关重要的。手术可以将子宫内膜的粘连带去除,或者将瘢痕切除,恢复正常的宫腔形态,如果术后未采取任何预防再次粘连的措施,宫腔很快就会发生再次粘连。
参考文献:宫腔粘连临床诊疗中国专家共识
湖南医聊特约作者:湖南光琇医院 超声科 王琳
关注@湖南医聊,获取更多健康科普资讯!
(编辑YT)









