关节痛、手脚麻木、疼痛、无力,体表包块,肌肉疼痛、关节积液等等。您是否第一时间想到的就是拍X线或者CT,看看骨头有没有事,排除了骨头的问题,您是否又开始纠结总做核磁、CT、X线会不会有辐射?怎么办呢?
那有没有两全其美的办法呢?
今天带您一起走进汉寿县人民医院超声科,了解不一样的超声检查——肌骨超声。
1、什么是肌骨超声?
肌骨超声是利用超声波来观察人体肌肉、骨骼、关节等组织结构的医学影像技术,它借助高频探头能清晰的显示肌肉、肌腱、韧带、滑膜、滑囊、软骨及骨皮质表面、周围神经等浅表软组织结构,让医生能够清晰地看到肌肉、骨骼等组织的细微结构,从而帮助诊断疾病。现已成为临床不可或缺的新的影像学检查工具。
2、肌骨超声检查的适应症
肌骨超声的应用范围非常广泛,包括肌肉、骨骼、关节等各个领域的疾病。
肩关节:如肩袖损伤、粘连性肩关节炎(也称冻结肩、肩周炎)、筋膜炎(也称肌肉劳损)、四边孔综合征、钙化性肌腱炎、肌腱脱位等。
肘关节:如肱骨外上髁炎(网球肘)、肱骨内上髁炎(高尔夫球肘)、尺神经卡压等。
腕关节:如桡骨茎突炎(妈妈手)、腕管综合征、类风湿性关节炎、狭窄性腱鞘炎等。
髋关节:如一过性小儿髋关节积液、坐骨结节滑囊炎、脓肿等。
膝关节:如膝关节骨性关节炎、半月板膨出、腘窝囊肿等。
踝关节:如跟腱断裂、韧带损伤、足底腱膜炎、腱周炎。
神经检查:如正中神经、尺神经、桡神经、坐骨神经、腓总神经、胫神经等。
肌骨超声还可以用于监测运动员等特定人群的运动损伤情况,为他们的康复训练提供有力支持。
3、肌骨超声有哪些优势?
花钱少、检查范围广:检查价格低廉,可一次对多个关节进行检查。
无创、无辐射:超声是一种高频率的声波,没有放射性,非常安全,儿童和孕妇都可进行。
等待时间短:超声检查完后,等待3-5分钟就可以看到结果。
高分辨率和实时性:能够实时观察肌肉、骨骼等组织的动态变化,为医生提供更加准确的诊断依据。
4、肌骨超声的局限性
超声图像的质量受到多种因素的影响,如设备的性能、探头的选择以及患者的体位等。
对于一些特殊的病变,如骨髓炎、骨肿瘤等,超声的诊断效果可能不如X线、CT或MRI等影像学检查。
肌骨超声对于动态观察的效果有限。
肌骨超声对于肌肉和骨骼的细微结构变化也可能不够敏感,无法及时发现一些早期病变。
肌骨超声示例
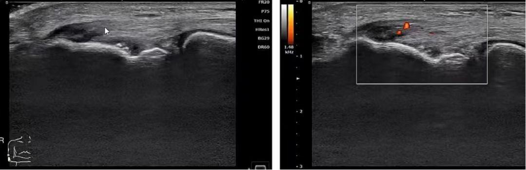
病例1 妈妈肘(网球肘)
妈妈肘,也叫网球肘,又称作肱骨外上髁炎,许多妈妈由于抱小孩或者做家务时,出现急性扭伤或慢性劳损,引起附着于肱骨外上髁处的一些纤维的不全撕裂及骨膜炎性反应,从而出现了这种病症。

▲伸肌总腱肿胀增厚,回声减低。CDFI:急性期可见丰富血流信号,呈“火海征”;慢性期可见少量血流信号
病例2 痛风--软骨损害
▲滑膜增厚、“结晶”形成、关节软骨“双轨征”
病例3 痛风石形成
▲软组织内可见高、低混杂回声、密度不均的团块影,CDFI:其周边可见点条状血流信号
温馨提示:虽然肌骨超声具有诸多优点,但也需要专业的医生进行操作和解读。因此,在选择肌骨超声检查时,应该选择正规的医疗机构和专业的医生进行检查,以确保检查结果的准确性和可靠性。
湖南医聊特约作者:汉寿县人民医院 邱一帆
(编辑YH)




