#长沙头条##湖南省人民医院#
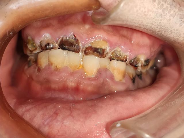
35岁的陈先生对可乐等碳酸饮料十分钟爱,几乎每天都要喝两瓶,加上不爱刷牙,口腔卫生习惯不好,近两个月后,他的牙齿变得十分敏感,酸痛、冷热刺激疼痛,牙齿还变短变薄了,有凹陷样的黑洞。

陈先生急忙到湖南省人民医院口腔二病区就诊,熊瑛副主任医师接诊后告诉他,这是牙酸蚀症,是因为碳酸饮料腐蚀以钙为主要成份的牙齿,从而造成了牙齿组织的缺损。随后为其进行了根管治疗、桩核冠修复。
▲医生为陈先生进行治疗
熊瑛副主任医师介绍,牙酸蚀症又称牙侵蚀症,是牙齿受酸被腐蚀,导致牙组织脱矿。早期牙齿表面出现白垩色,容易继发龋坏,加速变褐、变黑。
酸蚀症可能导致牙齿表面缺损着色、牙齿敏感、甚至牙髓炎、牙齿折断、咬合错位等,对咀嚼、美观及心理健康方面都会产生不良影响。
熊瑛副主任医师提醒大家,如果非常酸的物质长期存在于唾液中,超了过唾液的缓冲能力,就会导致口内唾液的PH<5.5。当牙齿长期处于酸性环境中时,就会导致牙齿表面脱矿。
诱因包括外源性酸,饮食中的碳酸饮料、醋、水果等,在游泳池工作等,内源性酸则包括胃食管返流病所致的胃酸反流等。
熊瑛副主任医师提醒,预防牙酸蚀症要做到:
1、减少酸性物质的接触,避免频繁地接触酸性物质,如碳酸饮料等;
2、减少接触时间,及时漱口;
3、使用吸管,避免与牙齿接触;
4、正确刷牙,饮食后半小时左右刷牙为宜;
5、关注全身疾病,口腔也是全身的一部分,如果有胃液反流等问题一定要尽早就诊。
湖南医聊特约作者:湖南省人民医院 口腔二病区 黄娟
关注@湖南医聊,获取更多健康科普资讯!
(编辑YT)



