“我母亲今年86岁了,因为年龄大,平常膝关节炎严重,在家不小心摔倒,紧急就诊于家附近医院,医生考虑我母亲年龄大,合并糖尿病、高血压,建议行牵引保守治疗。但是老人在家比较痛苦,护理也很不方便,大小便都很困难,多方打听后求诊于新宁县中医医院骨伤二科,徐波主任介绍可以应用微创的办法解决这个骨折问题,并且做完手术后很快就可以在床上坐起来,等骨折愈合后很快可以下地活动,能够避免很多并发症。”在新宁县中医医院骨伤二科病房,老人儿子赵先生说道。
陈奶奶今年86岁,由于腿脚不便不慎摔倒,伤及右髋部,伤后感疼痛,活动受限,无法站立,检查显示:右侧股骨粗隆间骨折;高血压病(3级/高危);2型糖尿病;双膝骨性关节炎;右大腿压疮。
陈奶奶相对高龄,合并糖尿病、高血压,手术风险高,治疗难度大,治疗过程中发生心脑肺意外可能性大。
新宁县中医医院骨伤二科科主任徐波带领团队人员:罗伟田副主任医师、陈荣主治医师、曹梦媛医师、李梦颖医师,通过仔细分析病情,充分了解骨折情况,制定手术方案。患者陈奶奶及家属同意并积极支持手术。
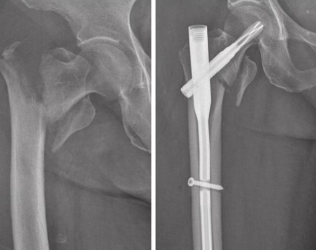
术前,对陈奶奶进行全面评估、完善检查,排除手术禁忌,以保证手术前陈奶奶的身体状况符合手术要求,手术耗时约35分钟,给予骨折完美复位,坚强固定。

术前、术后
术后给予陈奶奶复查拍片良好,通过麻醉科、重症科等共同努力,给予进行指导康复,陈奶奶进行积极功能康复,待骨折愈合以后会有一个良好的功能。
罗伟田副主任医师建议:股骨粗隆间骨折在临床中非常常见,通常发生于老年患者,老年患者通常合并高血压、糖尿病、脑梗等多种内科疾病,保守治疗经常引起长期卧床并发症,如坠积性肺炎,压疮,泌尿系感染,下肢深静脉血栓等,大多数患者在半年内失去生命,所以如果患者身体条件允许,建议尽量行手术,现在普遍采用闭合复位髓内针微创治疗,手术后患者能尽快恢复活动,避免长期卧床的一系列并发症,通常需要高超的显微技术和丰富的临床经验,通过各个科室配合,尽快的进行和完成手术,越早进行手术效果越好,术后控制感染,通过后期积极康复,取得一个较好的临床效果,希望大家以后注意安全,一旦发生类似情况,请及时就医。
湖南医聊特约作者:新宁县中医医院 徐波 图/徐媛媛
(编辑ZS)



