胶原蛋白因为具有延缓衰老和组织再生修复功能,被广泛应用于皮肤美容和整形手术。用胶原蛋白给软骨“做美容”,您听说过吗?
近日,湖南省人民医院骨关节与运动医学科王靖教授团队成功为一名年轻女性完成蛋白支架软骨修复手术,给她的踝关节做了一次“美容”,让受损的软骨“返老还童”,这也标志着医院在软骨损伤及关节炎的阶梯化治疗上迈上新台阶。
胶原蛋白因为具有延缓衰老和组织再生修复功能,被广泛应用于皮肤美容和整形手术。用胶原蛋白给软骨“做美容”,您听说过吗?
近日,湖南省人民医院骨关节与运动医学科王靖教授团队成功为一名年轻女性完成蛋白支架软骨修复手术,给她的踝关节做了一次“美容”,让受损的软骨“返老还童”,这也标志着医院在软骨损伤及关节炎的阶梯化治疗上迈上新台阶。
▲胶原蛋白软骨支架植入手术一年后,小文恢复正常的运动锻炼
18岁的小文(化名)是一名来自湖南邵阳的大学生,也是一名长跑运动爱好者,每天跑10公里,已经坚持了6年。2022年5月,她在一次晨跑后出现踝关节剧痛、水肿,吃止疼药、针灸、推拿治疗了一年多时间,疼痛都没有改善,反而越发严重。
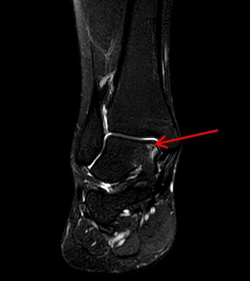
2023年8月6日,她经人介绍来到湖南省人民医院骨关节与运动医学科王靖主任医师处就诊,核磁共振检查显示:右侧踝关节内侧距骨软骨损伤,随即因“右踝距骨剥脱性骨软骨炎”将她收入关节与运动医学科病房。

▲术前MRI可见:距骨软骨损伤,软骨下骨碎片分离
由于小文距骨软骨损伤部位被骨性结构阻挡,无法进行常规的关节镜下软骨蛋白支架修复手术。与患者及家属充分沟通后,王靖主任团队为小文制定了“两步走”的手术方案。
▲湖南省人民医院骨关节与运动医学科王靖主任术团队为小文实施手术
第一次手术于2023年8月29日进行,王靖带领团队为小文实施踝关节切开、内踝截骨、距骨软骨面微骨折、胶原蛋白支架植入、内踝螺钉内固定术。术中可以看到:软骨剥脱,软骨下骨掀起,软骨缺损面积达到3cm2。
▲术后,王靖主任第一时间查看小文伤口情况
医生先对损伤软骨进行清创处理,去除变性坏死的软骨组织后,将制备好的胶原蛋白软骨支架注入软骨缺损处。数分钟后,胶原蛋白软骨支架就由液态变为稳定的固态凝胶,牢牢粘贴在损伤病灶处,诱导自体软骨再生。
一年后复查显示:小文的踝关节功能及软骨损伤部位修复良好,距骨软骨缺损部位被新生的透明软骨填充。2024年9月1日,医生为她进行第二次手术,取出踝关节内固定物,让女孩可以重新运动、奔跑。
▲术后一年复查MRI显示:右踝内侧距骨软骨缺损部位完全修复
“软骨损伤是一种常见的运动损伤,常见于膝关节、髋关节、踝关节等,在我们科的膝关节镜手术中,不同程度的软骨损伤占比高达63%”,王靖主任表示,由于软骨无血管和神经,一旦受损难以再生和修复;关节软骨损伤最终可以导致骨关节炎或创伤性关节炎,严重情况下甚至会造成残疾。
王靖介绍,软骨损伤的传统治疗方法,如微骨折、骨软骨移植、软骨细胞移植等均有不同程度的缺陷,有些方法是纤维软骨修复,不是正常的透明软骨,效果不理想。
而最新问世的胶原蛋白软骨修复支架是一种组织工程支架,产品呈水凝胶状,可用于修复关节软骨损伤,诱导生成原生软骨同样的透明软骨。
▲已制备好的胶原蛋白软骨支架
它主要由可被机体降解吸收的成I型胶原蛋白组成,手术方式可选择微创或切开下进行,手术简单、创伤小、时间短、效果显著,适用于患有局灶性软骨损伤、剥脱性骨软骨炎的人群。
(编辑YH)
“特别声明:以上作品内容(包括在内的视频、图片或音频)为凤凰网旗下自媒体平台“大风号”用户上传并发布,本平台仅提供信息存储空间服务。
Notice: The content above (including the videos, pictures and audios if any) is uploaded and posted by the user of Dafeng Hao, which is a social media platform and merely provides information storage space services.”