患者曾先生,56岁,于2024年9月10日因“胸腹部疼痛1年,再发10天”入住汉寿县人民医院心血管内科一病区治疗,入院后冠脉造影检查示:冠状动脉严重狭窄病变,其中前降支最严重处狭窄达90%。经朱济文副主任医师率领的心血管内科团队研究讨论,认为患者有冠脉内支架植入术指征。

(冠脉介入治疗前)
以往医院对于冠心病病人行冠脉造影后是否需植入支架仅能凭术者目测评估及电脑预估测量血管病变严重程度及选择支架直径,故难免会存在一定误差。
为了深入评估曾先生的血管病变情况同时让支架精准定位,在征得患者家属同意后于2024年9月13日为患者实施了冠脉内超声检查+冠脉内支架植入术。
术中IVUS超声提示前降支近段斑块负荷84%,最狭窄处管腔面积1.61mm2,在IVUS指导下完美扩张了病变,成功植入支架后复查,IVUS提示支架膨胀、贴壁良好,无夹层,原最狭窄处管腔有效面积5.75mm2。
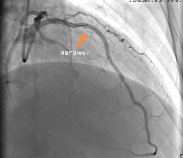
(冠脉介入治疗后)
术后患者胸腹疼痛症状缓解,复查肾功能无异常,食欲好,活动好,睡眠好,精神状态好。
(术前IVUS与术后IVUS)
心血管内科团队成功自主完成此例手术,标志着该院在心血管疾病介入诊疗方面,依托IVUS新技术,对冠脉病变将实现精准化诊断和个体化的介入治疗,为冠心病患者带来良好预后。
1、什么是冠状动脉血管内超声(IVUS)检查?
血管内超声(IVUS)通过导管技术将微型超声探头送入血管腔内,通过声波扫描和反射,提供人体血管腔内影像,清晰显示管壁结构的厚度、管腔大小和形状等,精确地测量血管腔径及截面积,甚至可以辨认钙化、纤维化和脂质池等病变。
2、冠状动脉血管内超声(IVUS)检查与冠状动脉造影检查
冠状动脉造影曾被认为是冠心病诊断的“金标准”,但是这种纯粹的拍摄X光片仅仅只是二维影像,狭窄程度往往都是直观目测,虽然手术医生可以通过多个体位角度去造影判断血管的狭窄程度,但仍无法全面判断血管壁的结构和斑块的性质。
IVUS能够全方位显示血管管壁情况、精确测定管腔、血管直径以及判断病变严重程度及性质,基于这些信息,医生可以更准确地选择冠脉植入支架的尺寸、类型以及确定最佳植入位置,大大降低手术风险。
3、什么情况下需要做冠脉血管内超声(IVUS)检查
4、血管内超声(IVUS)的临床意义
明确冠心病的诊断
可明确冠状动脉造影不能确定的狭窄;
协助诊断心脏移植术后的冠状动脉病变;
观测冠状动脉粥样硬化的进展和消退;
评价血管壁的张力和顺应性。
冠状动脉粥样硬化性心脏病的介入治疗
指导确立最合适的治疗方案;
正确选择支架直径的大小;
确定介入治疗的终点;
确定网状支架的位置及扩张效果;
预测术后再狭窄的发生。
IVUS是一种更加精确、更为直观的影像学补充,它更似幽深隧道里的一盏探照灯,帮助我们看清血管内部的结构,更能全面了解冠脉病变情况,提高病变诊断的准确性,对冠脉介入治疗的策略、支架选择和效果评价有着重要的指导意义。
汉寿县人民医院心血管内科将不断提升技术水平,用优质、安全的介入诊疗技术造福更多患者。
(编辑YH)








