经常有患者问医生,既然超声检查出来了子宫肌瘤,为什么还要做磁共振呢?湖南省直中医医院医学影像科的专家就来为您介绍原因。
确实,过去我们检查子宫肌瘤,都选择价格便宜且快捷的超声检查,在确诊子宫肌瘤这方面占据了不可或缺的地位,对于一般没有症状的子宫肌瘤患者,超声检查仍然是首选的手段。但是对于有症状的子宫肌瘤患者,核磁共振才是更具诊断价值的检查项目。
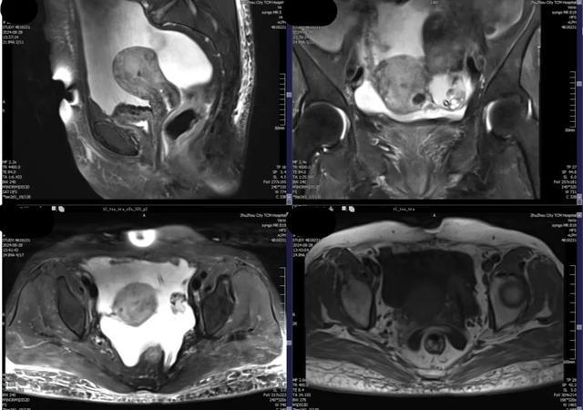
磁共振检查获取的是整个盆腔的数字信息,可以多方位、多参数的了解子宫及子宫肌瘤的情况,对于子宫肌瘤的生长发育情况以及是否影响后续生育更是有独到的见解,对于年轻的患者来说更是不可或缺的。

优势一
磁共振检查具有超高软组织分辨率,更是能够进行多方位、多参数的检查来评估病灶,给出更加精准的诊断意见,有利于盆腔肿块的发现、病变定性和肿瘤分期。
优势二
常规超声检查报告仅由检查描述、报告配图、结论构成,但是超声检查是一个动态获取过程,单靠文字以及配图无法完整复现检查中获取的信息量。与常规超声检查相比,磁共振检查一次检查能够获得整个盆腔的数字资料,更加客观准确的判断子宫肌瘤大小数目以及位置形态。
优势三
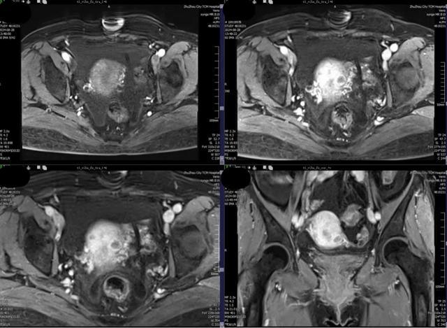
磁共振检查能够辅助判断一个病灶是良性还是恶性子宫肌瘤,通过磁共振增强检查可以使有血供的部位增强显影,一方面鉴别了肌瘤和肉瘤,一方面也能给临床医生更好的术前评估设计子宫切口,以合适的切口进行子宫肌瘤的剔除。
优势四
相较于传统CT检查,MRI检查利用的是强大的磁场以及人体内的氢原子核产生图像,并无电离辐射,因此不必担心辐射风险。
但是,对于各位盆腔MRI检查患者,我们有严格的禁忌症需要遵守:
1.装有心脏起搏器者;
2.带有金属节育环者;
3.使用带金属抢救器具而不能去除者;
4.术后体内留有金属夹子者;
5.检查部位邻近体内有不能去除的金属植入者;
6.早期妊娠(三个月内)的妇女应避免磁共振扫描。
湖南医聊特约作者:湖南省直中医医院 医学影像科 龙敏峰
(编辑YH)



