


气道内超声(EBUS)于2002年3月成功研发,能够实施实时超声支气管镜引导下针吸活检术(EBUS-TBNA)和超声支气管镜引导下支气管肺活检术(EBUS-GS-TBLB)。
EBUS-TBNA,是指支气管内超声引导下经支气管壁透壁针吸活检。
病例.1


陈阿姨(化名):
62岁的陈阿姨,因持续一个月的胸闷和呼吸困难入院。胸部CT扫描显示,她的右侧锁骨区、纵隔和双肺门有多发性肿大的淋巴结,这可能是淋巴瘤或结节病的迹象。
诊断结果:肺结节病
通过EBUS技术,医生能够在实时超声引导下,精确定位淋巴结并进行穿刺活检。通过这种方法的优势在于EBUS-TBNA的阳性率超过90%,能够有效区分良性和恶性病变。同时减少了对患者的创伤,避免了传统外科手术的风险。实时超声能够即时评估样本质量,确保获取足够的组织进行病理分析。
病例.2



王大爷(化名):
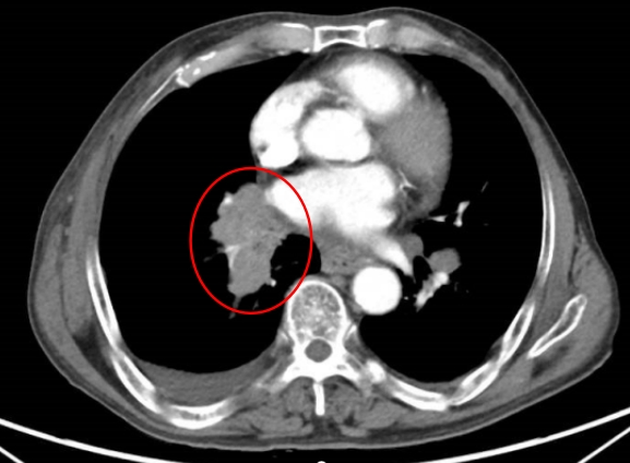
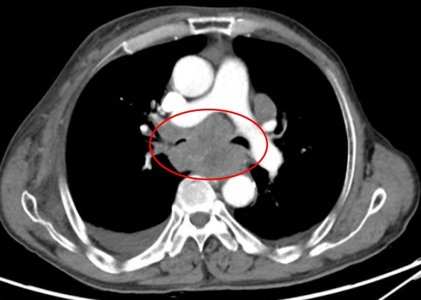
在73岁的王大爷身上,EBUS-TBNA同样发挥了重要作用。患者因胸闷入院,胸部CT显示右肺占位并伴有淋巴结肿大。
诊断结果:小细胞癌
通过对纵隔和肺门淋巴结的活检,EBUS-TBNA能够帮助医生明确癌症的分期,从而指导后续的治疗决策。在活检过程中,医生能够实时观察穿刺针的位置,确保准确性,减少误穿血管的风险。通过获取淋巴结样本,医生能够在不进行侵入性手术的情况下,确认癌症的存在和类型。
想象一下,EBUS-TBNA就像是一支训练有素的特种部队,专门针对纵隔和肺门的病变进行精确打击。这支部队装备了最先进的实时超声成像技术,能在不开刀的情况下识别并锁定目标。他们的动作迅速而精准,确保了每一次行动的成功率都超过90%,而且几乎不会误伤周围正常组织。
而EBUS-GS-TBLB则如同一位身怀绝技的侦探,携带着小巧的声纳设备,能够潜入肺周围的细小支气管,寻找并追踪那些隐藏更深的局灶性病变。这位侦探的侦查准确率高达80%左右,他的工作方式不仅提高了破案的效率,也大大降低了对城市基础设施的破坏。
这两种技术,就像是医疗领域的超级英雄,他们装备精良,训练有素,能够在不开刀、不进行大范围破坏的情况下,精确诊断出肺癌的分期,为患者提供最佳的治疗方案。
适应症:
①获取在气道腔外但紧贴气管、支气管壁的淋巴结标本,用于纵隔淋巴结病变的诊断和明确肺癌分期。
②获取紧邻气管、支气管管腔外的实性病变标本,明确病变性质。
③获取纵隔血管内病变标本,如肺动脉内血栓、癌栓的诊断等。
④对纵隔囊肿或脓肿进行经气管、支气管穿刺引流。
供稿 │ 呼吸内科医学中心 李娟 谭薇