一个再平常不过的工作日,湖南省第二人民医院(省脑科医院)神经外科三病区的住院病房里,医生、护士正有条不紊地忙碌着。一位约70岁的老奶奶在家人陪同下蹒跚着走进病区,手里拿着科室主任匡卫平主任医师开具的住院证。
令人奇怪的是,老奶奶低着头,脸上包得严严实实,生怕被人看到。接待的护士再次看了一眼住院证,大概知道了老奶奶的病情,鼓励老奶奶打开包在脸上的布料。
只见她的两眼之间,自鼻根开始,赫然长着一个巨大的肿块,高高凸起于面部,使得整个脸部失去了原有的形态。
“她已经将近1年没有出过家门了,家里来了客人也躲着不敢见人,生怕被人看到。”老奶奶的儿女心痛的说,“我们也走了很多家医院,要么说没有办法治疗,要么说风险很大,要么说花费巨大,把我们一家人都搞懵了,不知道如何才好。”
匡卫平主任医师带领医疗组认真分析影像资料,反复推演手术策略,制定各种预案,为保万无一失。组织了五官科、肿瘤科、神经外科与整形美容科等多学科会诊,进一步细化手术预案。

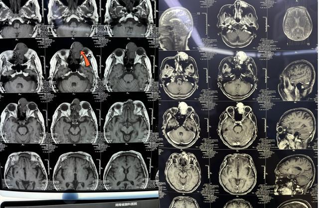
▲患者影像资料
经过充分的准备,手术如期进行。从医30余年的匡卫平主任医师亲自执刀,双手稳定而精确,尽管肿瘤血运丰富,仍在显微镜下顺利完成了肿瘤主体的剥离与切除。但是“敌人”并非愿意这么轻易束手就擒,它们包绕了泪小管,侵及了筛窦、上颌窦。
在显微剥离了泪小管周围的肿瘤后,匡卫平主任医师上神经内镜,利用不同角度的内镜,将躲藏在筛窦、上颌窦各个隐秘角度内的肿瘤逐一切除,然后逐一修补,并对伤口进行可美容缝合,手术圆满结束。
术后,老太太在医护人员的精心照料下逐渐康复。她的面容渐渐重拾了往昔的轮廓与光泽,昔日如鸡蛋般大小的肿块悄然消散,面容恢复了正常的状态,由于匡卫平主任医师的巧妙设计,不仔细看,都不知道切口在哪里。
▲患者术前术后对比
匡卫平主任医师解释,肿瘤是一类严重威胁人类健康的疾病。简单来说,肿瘤就是身体里的细胞因为各种原因,变得不受控制地生长和变化,形成了新的不正常的物质。它不仅会造成生理上的影响,更是心灵上的沉重负担。
究竟什么是鼻部血管瘤?
首先,我们要知道什么是鼻部血管瘤。这是一种在鼻腔里长的良性肿瘤,主要是血管壁上的细胞长多了才出现的。它可以长在鼻腔的任何一个地方,但最常见的是鼻中隔那里。
鼻部血管瘤的大小不一样,有的很小,有的可能会把整个鼻腔都占满。它就像是鼻腔里的一个“不速之客”,会给我们带来一些麻烦。
鼻部血管瘤的症状表现多样。有些人可能会经常无缘无故地鼻出血,而且出血的情况可能时轻时重。有时候只是少量出血,但有时候可能会出现比较大量且难以止住的出血,这会让人感到有些惊慌失措。
此外,随着血管瘤的生长,可能会在鼻部形成一个肿块,从而导致鼻塞等症状,影响呼吸的顺畅。
如何治疗鼻部血管瘤?
鼻部血管瘤的治疗得根据病情轻重、瘤子的大小、长的位置和与周围组织的关联来决定。
治疗方法有很多,包括手术、药物和激光等。其中,手术是最常用也是最有效的方法,大部分患者都能通过手术彻底治愈。
当然,如果不想手术,也可以用药物或激光来缓解症状,但这样可能无法根治,需要长期观察。
如何预防鼻部血管瘤?
虽然鼻部血管瘤的发病原因复杂,但我们可以通过以下几个方面来预防它:
1. 保持鼻腔卫生:定期清洁鼻腔,避免鼻腔内细菌滋生,减少慢性炎症的发生。
2. 避免鼻部外伤:注意保护鼻部,避免外伤导致的血管壁受损。
3. 定期体检:定期进行鼻部检查,及早发现鼻部血管瘤等潜在问题。
如何做好心理建设?
在面对鼻部血管瘤这样的疾病时,心理建设同样重要。
医生应耐心关怀患者,解释病情和治疗方案,提供情感支持。家属和朋友的支持也重要,可陪伴、鼓励患者,减轻其心理负担。患者自身也需积极调整心态,接受心理健康辅导,了解疾病知识,掌握情绪调节方法。
匡卫平主任医师表示,鼻部血管瘤虽然听起来有些可怕,但只要我们了解它、预防它、及时治疗它,并做好心理建设,它就不会成为我们生活的绊脚石。而对于那些已经遭受了鼻部血管瘤困扰的患者,更需要我们的关心和支持,帮助他们重拾生活的信心,勇敢面对疾病,迎接更加美好的未来。
湖南医聊特约作者:湖南省第二人民医院(省脑科医院)戴覃桃
(编辑YT)



