#长沙头条##湖南旺旺医院#
48岁女士因在小区摔倒刮伤左小腿,伤口呈“V形”撕脱,疼痛流血,当时未予重视,去就近诊所进行了简单包扎,家中静养3天后,女士感小腿红肿疼痛,来湖南旺旺医院急诊骨科就诊,看诊医师以“软组织感染、小腿开放性伤口”收住院进一步治疗。

(▲小腿受伤部位)
入院当天,管床医师考虑患者伤后静养休息,活动锻炼极少,为警惕深静脉血栓形成,予以下肢血管彩超检查:提示左下肢深静脉血栓形成。随即建议其卧床静养、血管介入科建议放置下腔静脉滤网,预防血栓脱落造成肺栓塞。
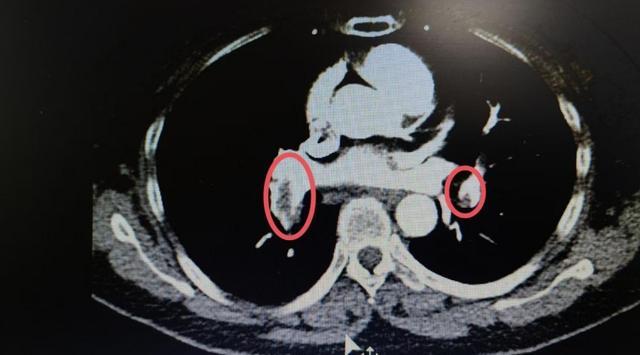
次日,患者未听劝导独自下床排便,突发一过性晕厥,口唇发绀,血压进行性下降,且诉胸部剧烈疼痛。医师予以紧急对症处理及完善相关检查,增强CT考虑是双下肺动脉主干及分支栓塞,立即转入重症医学科治疗。综合各专科专家意见,暂无需放置下腔静脉滤网,予以严密监护下溶栓治疗,未出现并发症,生命体征逐渐平稳。
(▲双下肺动脉主干及分支栓塞)
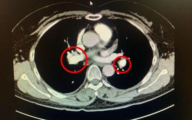
2天后,复查CT,提示肺动脉供血恢复,病情稳定后转普通病房,创口感染控制即行二期清创缝合,同时继续预防血栓再次形成。
2周后,复查肺动脉血栓消失,下肢深静脉血栓情况稳定,创口痊愈出院。
(▲肺动脉增强剂充盈良好,未见缺损)
女士所发生的双下肺动脉主干及分支栓塞,为下肢深静脉血栓脱落引起的肺动脉栓塞症,简称VTE。静脉血栓栓塞症被称为沉默的杀手,在全球范围内具有较高的发病率和极高致死率,救治极为困难,严重威胁人类的健康,每年的10月13日,为“世界血栓日”。
科普知识:
一、什么是静脉血栓栓塞症(VTE)?
静脉血栓栓塞症(VTE)是一种由于静脉内血栓形成引起静脉阻塞性回流障碍的潜在致死性疾病,包括深静脉血栓形成(DVT)和肺血栓栓塞症(PTE)。
深静脉血栓形成一旦发生,深静脉内的血栓脱落后可随血液循环到达肺动脉,严重者可在1-2h内死亡。
二、日常哪些情况容易患病?
1、年纪越大,风险越高,特别是合并高脂血症、高血糖、肥胖等危险人数。
2、长期卧床,制动的人群:如坐飞机超过2小时,未起来活动等。
3、妊娠或产后人群。
4、恶性肿瘤人群。
5、创伤或外科手术的人群。
6、口服避孕药和激素治疗。
7、某些血液高凝状态的人群。
三、静脉血栓栓塞症的常见症状及表现?
1、肢体肿胀:大多数患者表现为单侧下肢肿胀,尤其是左下肢。
2、下肢疼痛:多出现在小腿腓肠肌、大腿或腹股沟等区域,活动后加剧,休息或抬高下肢后可缓解。
3、浅静脉曲张。
4、全身反应:如体温轻度升高,白细胞计数增多等。
5、如下肢DVT患者血栓脱落可引起肺血栓栓塞症(PTE),较小的栓子可能无任何临床症状。较大的栓子可引起呼吸困难、胸痛、晕厥、发绀、猝死等。
四、普通人如何预防静脉血栓栓塞症的发生?
1、避免久站久坐,久坐久卧后尽早活动。
2、选择低盐低脂、高维生素的饮食。
3、保持大便通畅。
4、戒烟限酒
5、高发人群可在医生指导下使用弹力袜或服用药物预防。
湖南旺旺医院骨科温馨提醒:请大家保持健康的生活习惯,提高对静脉血栓栓塞症防治的认知度、关注度,降低静脉血栓的发生率。
湖南医聊特约作者:湖南旺旺医院 骨科 王茜 谢毅凌
关注@湖南医聊,获取更多健康科普资讯!
(编辑ZS)




