在医学的浩瀚星空中,每一次技术革新都是对生命质量的深刻探索与提升。近日,长沙爱尔眼科医院再次以卓越的医疗技术和人文关怀,为一位遭遇三焦人工晶体脱位的患者点亮了希望之光,通过开创性的采用三焦晶体人工晶体悬吊术,开启了全新视界的大门。
32岁患有高度近视并发白内障的段先生,原本寄托于散光三焦人工晶体带来的清晰视界,却不料遭遇人工晶体脱位的不幸,视力骤然下降,日常生活陷入重重困难。面对这一突如其来的挑战,患者没有放弃对光明的渴望,而是将希望寄托在了长沙爱尔眼科医院的专业团队上。

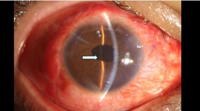
▲术前裂隙灯下右眼未发现人工晶体反光
▲绿框所示右眼玻璃体腔可见弧形强回声,其后伴“彗尾征”
了解到患者的迫切需求后,长沙爱尔眼科医院副院长、眼底病专科陈忠平教授及团队迅速行动起来,经过全面而细致的检查与讨论,决定采用原散光三焦晶体进行人工晶体悬吊术为患者进行治疗。
手术过程中,陈忠平教授凭借丰富的经验和精湛的技术,每一步操作都精准无误,确保了手术的成功实施。巧妙地将脱位的人工晶体通过巩膜层间隧道固定到术前标记的散光轴位处,且将缝线埋入巩膜层间,避免术后感染和术后严重散光的出现,为患者重建视力桥梁。
▲术后裂隙灯下右眼人工晶体位正
术后,经过精心护理与康复训练,患者的视力得到了显著改善,这一结果让患者及其家人激动不已,感慨地说:“感谢陈忠平教授及团队的医生们,是你们用精湛的技术和无私的爱心,让我重新看到了这个世界的美好。虽然现在视力还不能恢复到最佳状态,但这已经是我生命中最重要的转折点之一。”
长沙爱尔眼科医院此次成功实施人工晶体悬吊术,不仅为这位患者带来了视力的重生,也再次验证了长沙爱尔眼科医院眼底科在眼底学科领域的领先地位和创新能力。
湖南医聊特约作者:谭欢欢 杨娟燕
(编辑YT)




