#衡阳头条##南华大学附属第三医院#
近期南华大学附属第三医院泌尿外科徐兵院长助理与刘明副主任在该院麻醉科、手术室医护人员共同协助下,在输尿管镜碎石术基础上开展了一项新技术——输尿管软镜联合负压吸引碎石取石术。

该院已完成40多例此类手术,均取得满意效果。这项技术是通过负压吸引方式移除患者体内结石和(或)异物。
它既发挥了钬激光粉末化碎石的优势,同时有负压吸引的助力,保持术中视野清晰,减少重复无效碎石,让手术更加安全、快速,让患者更加舒适、放心。
案例介绍
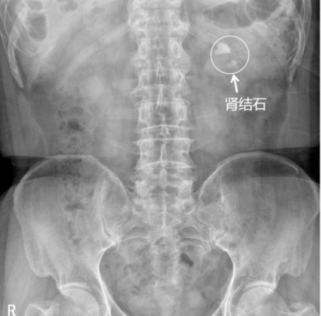
患者丁叔,诊断:左肾多发结石并左肾积水。
术式:输尿管软镜联合负压吸引碎石取石术。
▲手术前
▲手术后
▲术后取出的部分碎石
输尿管软镜联合负压吸引碎石取石术
该技术是利用柔软、纤细的输尿管软镜及头端可弯曲的软镜鞘,通过人体自然腔道进入泌尿系统,在直视下进行直观、高清的诊疗手段;同时软镜鞘连接负压吸引装置,可在钬激光击碎结石的同时通过负压吸引装置将碎石吸出体外。
新技术优点:
1.创伤性小
输尿管负压吸引鞘连接负压泵可于术中同步抽出肾集合系统内的冲洗液及结石粉末,有效保持肾内负压环境,防止冲洗液返流。
负压吸引还可以防止肾盂内压力过高,有效减轻肾脏负担及伤害,有利于肾功能的恢复。
2.结石清除率高
在负压环境下注水速度提高,视野清晰的同时被粉碎的结石能够快速吸出,从而缩短手术时间提高结石清除率。
边碎石边吸引,减少结石粉末掩盖较大结石而导致结石残留的可能,提高结石清除率的同时能够减少患者术后“石街”形成以及因排石导致肾绞痛可能,减少并发症,提高患者的生活质量。
3.节省经济成本
与传统取石术对比,在不增加医疗费用的前提下,很大程度上减少了套石的使用,减少了医疗花费。
4.适用范围广泛
输尿管软镜联合负压吸引鞘适用于各种类型的肾和输尿管上段结石,尤其适用于复杂性和多发性结石的治疗。
负压吸引装置利用水循环可带走激光碎石中产生的热量,减少热量对泌尿道黏膜的损伤,且持续有效吸引可让肾孟内压更低更稳定,减少术后感染风险。
湖南医聊特约作者:南华大学附属第三医院 彭雅琼 刘洁
关注@湖南医聊,获取更多健康科普资讯!
(编辑YT)





