我国眼底病患者超4000万,糖尿病黄斑水肿和新生血管性年龄相关性黄斑变性是主要的眼底疾病类型,眼底疾病引起的致盲和低视力已成为重大公共卫生问题。
近日,长沙湘江爱尔眼科医院一位患者秦阿姨,是一位与糖尿病抗争20多年的“老战士”。因黄斑区反复水肿,并发了双眼糖尿病性视网膜病变,给她的生活蒙上了一层阴影。
在过去的那些日子里,她接受了不同类型的抗VEGF药物治疗,然而,治疗效果还是不尽人意。在得知“法瑞西单抗”在治疗眼底病方面有着更大的优势时,她心中又燃起了新的希望。于是,经过详细的的检查后,医生为秦阿姨安排了右眼法瑞西单抗注射。

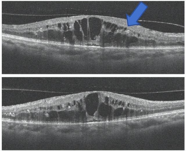
▲患者术前的黄斑区oct图
▲术后复查的黄斑oct扫描
秦阿姨表示:此前的几次治疗都未有效改善,也让自己快失去了治疗的信心,这次的治疗让视力也从开始的0.06提升到了0.12,真的非常感谢长沙湘江爱尔眼科医院医护团队的不懈努力!
长沙湘江爱尔眼科医院彭昕医生介绍道:黄斑是我们视网膜上负责中心视力的关键区域。黄斑水肿发病与年龄、脂质代谢、免疫机制等多因素相关,其中糖尿病引起的黄斑水肿最为常见。
而新生血管性年龄相关性黄斑变性则是一种随着年龄增长而可能发生的黄斑区疾病,尤其多见于50岁以上的老年人。这两种疾病是眼底疾病中十分常见的类型,严重影响患者的视力和生活质量。
同时,黄斑水肿的眼内注射是需要持续治疗的,既往的抗血管内皮生长因子(VEGF)治疗虽然对眼底疾病有一定疗效,但患者需要每月注射且坚持数月,但是,法瑞西单抗能在抑制新生血管生成的同时增强血管稳定性,患者注射间隔可延长至3到4个月,以更少的治疗次数,达到同样甚至更佳的治疗目标,提升长期视力获益,改善患者生活质量。
湖南医聊特约作者:长沙湘江爱尔眼科医院 刘旺香 张梦娜
(编辑YT)



